Мрт гипофиза: делать процедуру с контрастом или без
При назначении лечащим врачом МРТ гипофиза с контрастом или без пациенты начинают преждевременно подозревать самое худшее. Однако далеко не всегда нарушения говорят о появлении злокачественных образований.
Гипофиз — это железа, которая имеет совсем незначительный объем, но при этом отвечает за выработку гормона пролактина, играющего огромную роль в репродуктивной системе мужчин и женщин.
Врач направляет на томографию гипофиза, если обратившийся жалуется на:
- кратковременные судороги;
- регулярную головную боль;
- резкие гормональные изменения;
- давление в глазном яблоке;
- нарушение ориентации в пространстве;
- травмы головы;
- эпилептические припадки;
- снижение или, наоборот, повышение уровня пролактина;
- невозможность забеременеть.
Для эффективного МРТ гипофиза с контрастом или без нужно использовать мощное оборудование, позволяющее в мельчайших деталях обследовать область железы.
Мрт гипофиза с контрастом или без: как лучше?
В большинстве случаев изучение свойств гипофиза выполняется без применения контраста. В этой ситуации не требуется никакой специальной подготовки, за исключением полного отказа от еды за несколько часов до проведения анализа. Как будет проводиться МРТ гипофиза, с контрастом или без, решает медицинский сотрудник.
Перед началом исследования придется вытащить и снять все металлические предметы с одежды и тела, иначе в работе устройства возникнут неисправности. Также на правильность результата могут повлиять пломбы, брекеты, слуховые аппараты, импланты, поэтому об их наличии стоит сообщить заранее.
Никаких болей или неприятных ощущений при МРТ гипофиза с контрастом или без не наблюдается. Единственное неудобство, которое возникает — шум при работе устройства. Недостаток легко устраняется при помощи берушей.
Просмотр гипофиза без контраста позволяет увидеть наличие доброкачественного новообразования — аденомы или выявить соответствие размеров гипофиза.
Мрт гипофиза с контрастом (или без): процесс
В большинстве случаев больной не способен самостоятельно решать, делать ему МРТ гипофиза с контрастом или без. Это решение принимается только лечащим врачом на основании результатов предварительного анамнеза. Из-за того, что размеры гипофиза очень маленькие, врачи нередко назначают анализ именно с использованием контраста.
Контрастное вещество вводится пациенту внутривенно за 20–30 минут до начала погружения в аппарат. Контраст позволяет получить детальную информацию и определить, имеются ли злокачественные опухоли. Также МРТ гипофиза с контрастом дает возможность выявить микроаденомы гипофиза, объем которых обычно не превышают 4–5 мм и которые практически невозможно увидеть на томографии без контраста.
При назначении МРТ гипофиза с контрастом исследуемый должен исключить потребление любой пищи и жидкости за шесть часов до обследования или обойтись без продуктов немного дольше. Само исследование, включая введение контрастного вещества, занимает около часа, поэтому заранее стоит сходить в туалет, чтобы не испытывать неприятных ощущений внутри томографа.
Иногда при проведении МРТ пациенты заявляют о небольшом покалывании по всему телу и ощущении чувства тепла. При проведении МРТ без использования контраста подобных жалоб не поступало. Однако это никак не связано с деятельностью самого оборудования и может быть вызвано реакцией организма на введенное вещество.
МРТ гипофиза с контрастом противопоказана:
- беременным и кормящим женщинам;
- аллергикам.
С осторожностью МРТ с контрастом назначается астматикам, диабетикам и людям, страдающим от эпилептических припадков.
Эффективность МРТ гипофиза с контрастом или без него
Нередко при подозрении на новообразования в районе гипофиза доктор назначает рентгенографию или компьютерное обследование как первичный этап сбора данных. В дальнейшем, при магнитно-резонансном изучении, данные, полученные на рентгене или КТ, будут подтверждены либо опровергнуты.
https://youtube.com/watch?v=fw2I08uEpI0
Несмотря на высокую стоимость МРТ гипофиза с контрастом или без, именно эта процедура позволяет с высокой точностью определить развитие злокачественных клеток, их рост и локализацию. Это дает возможность выявить воздействие опухоли на соседние области и установить текущую степень их повреждения.
Задаваясь вопросом, какую выбрать процедуру МРТ гипофиза, стоит, в первую очередь, послушать своего врача. Медицинский специалист определяет, целесообразна ли томография с контрастом или можно обойтись без этого. Также на выбор способа анализа влияют наличие аллергических реакций у больного и другие особенности организма, о которых нужно сообщить предварительно.
Противопоказания и методика проведения МРТ гипофиза
Магнитно-резонансная томография (МРТ) – один из самых хороших и современных методов нейровизуализации. Процедура проводится в крупных медицинских центрах, позволяет выявить патологии мягких тканей.
Томография широко применяется для диагностики заболеваний гипофиза.
Пациентам важно знать, что собой представляет данная процедура, какие есть показания и противопоказания, а также как правильно подготовиться к МРТ гипофиза.
Что такое гипофиз
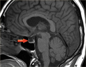
Гипофиз (второе название – питуитарная железа) – орган внутренней секреции, расположенный в головном мозге. Место локализации – турецкое седло. Гипофиз состоит из 3 долей, каждая из которых выполняет свои функции. В норме его размеры могут колебаться в пределах 5-13 мм, масса не достигает 1г (обычно она составляет 500-700 мг).
Гипофиз кровоснабжается ветвями внутренней сонной артерии (ВСА). Сама система кровотока достаточно обильная, с анастомозами с венами и соседними кровеносными сосудами.
Несмотря на небольшие размеры, гипофиз выполняет ряд важных функций в организме человека. Он относится к железам внутренней секреции, отвечает за продукцию гормонов гипоталамо-гипофизарной системы. Речь идет о половых гормонах, гормонах надпочечников и щитовидной железы. Если обобщить, то без гипофиза невозможно нормальное функционирование всего организма.
Патологии данной зоны мозга влияют на цвет кожи, рост тела, работу сердечно-сосудистой, выделительной и репродуктивной систем. У пациентов с гормональными заболеваниями часто происходят изменения психического состояния.
Для чего используется МРТ
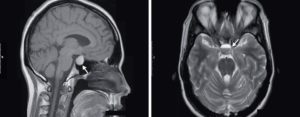
Томография относится к методу, суть которого заключается в использовании магнитного поля. В ответ на его воздействие происходит образование сигнала от атомов водорода, что формирует трехмерную послойную картину тканей исследуемой области – во фронтальной и сагиттальной плоскостях.
Методика позволяет хорошо проверить состояние не только мягких тканей, но и сосудов, в том числе в динамике. Это расширяет возможности диагностики многих заболеваний, среди которых патологии центральной нервной системы и желез внутренней секреции.
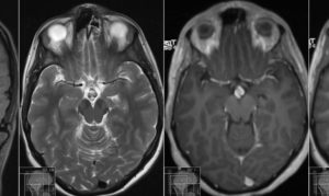
МРТ гипофиза проводится с контрастом (гадолинием) и без него. Процедура позволяет получить четкое и подробное изображение всех трех долей железы и ее сосудов. Помимо этого, происходит визуализация зрительного перекреста (хиазмы) и всего головного мозга.
Прежде чем понять, как делают МРТ гипофиза с контрастом, следует знать, для чего это нужно. Опухолевые клетки задерживают препарат, происходит визуализация патологического образования, четко определяется его расположение и размеры. Это дает врачу полную информацию о характере опухоли и позволяет определить тактику лечения.
Магнитное поле не фиксирует костную ткань и различные плотные отложения (например, кальцификаты), но в случае питуитарной железы это не имеет значения для выявления ее патологий.
При исследовании правильно использовать аппарат мощностью 1,5 Тесла. Только с помощью такого томографа возможно сделать качественную манипуляцию и получить объективный результат.
Показания
МРТ гипофиза необходима при высоком уровне пролактина, любом гормональном дисбалансе (значительное повышение или снижение показателей). Назначать исследование могут в следующих ситуациях:
- Подозрение на опухоль (чаще всего – аденома и микроаденома гипофиза).
- Синдром Кушинга.
- Различные головные боли при наличии очаговой неврологической симптоматики.
- Нарушения менструального цикла.
- Бесплодие, эректильная дисфункция.
- Тяжелые открытые и закрытые черепно-мозговые травмы.
- Апоплексия (некроз) гипофиза. Заболевание обычно диагностируется у женщин после родов.
- Еще одно показание — синдром пустого турецкого седла.
- Нарушения зрения (двоение, снижение остроты на одном глазу, появление черных точек и пятен перед глазами, бледность и застой диска зрительного нерва).
При определении показаний врач обращает внимание на внешний вид пациента – слишком большой или маленький рост, состояние кожи и волос, первичные половые признаки. МРТ также назначается для контроля состояния опухолей гипофиза, при инфильтративных заболеваниях (например, саркоидозе), высоком внутричерепном давлении.
Противопоказания
Проведение магнитно-резонансной томографии более безопасно, чем КТ (компьютерной томографии), поскольку при этом не применяется рентгеновское излучение. Несмотря на это, противопоказания к данной манипуляции также имеются. Они делятся на абсолютные и относительные.
https://youtube.com/watch?v=J7woMzpBp-s
Абсолютные противопоказания к процедуре – наличие магнитных и металлических имплантов (в том числе незафиксированных), а также кардиостимулятора, инсулиновых помп, электронных имплантированных слуховых аппаратов.
Среди относительных противопоказаний выделяют следующие: боязнь замкнутых пространств, психические заболевания, декомпенсация тяжелых хронических патологий (сердечно-сосудистой и дыхательной систем), наличие неметаллических имплантов, ожирение свыше 120 кг, первый триместр беременности, аллергия на контрастное вещество (зависит от степени и характера аллергической реакции).
При наличии татуировок следует определить, содержит краска металлические компоненты или нет. На сегодня такие красящие вещества не применяются, но задать уточняющий вопрос пациенту необходимо. Если в татуировке имеется металлический краситель, то это может негативно сказаться на интерпретации результата, поскольку неизбежно возникновение так называемых артефактов.
Что касается контрастирования, то осторожность следует соблюдать при наличии почечной недостаточности. При тяжелой форме болезни почек или ее декомпенсации от введения вещества нужно отказаться. Введение гадолиния запрещено беременным женщинам, поскольку препарат проникает через плаценту. Также контрастирование недопустимо при гемолитической анемии.
Подготовка к МРТ гипофиза не требует каких-либо специальных манипуляций. Если назначается МРТ гипофиза без контраста, то все, что требуется пациенту, — это вовремя прийти на исследование. При использовании контрастного вещества препарат вводится внутривенно за 30-60 минут до манипуляции. Рекомендовано отказаться от еды и питья за 5 часов до исследования.
При проведении МРТ головного мозга и гипофиза ребенку следует обратить внимание на его состояние. Если маленький пациент гиперактивный или слишком беспокойный, то лучше использовать анестезию. Ее применение допустимо и для взрослых больных.
Методика проведения
Специально готовиться к исследованию, как указывалось выше, не требуется (за исключением введения контраста).
В назначенную дату и время пациент доставляется или приходит самостоятельно в медицинское учреждение, его знакомят с порядком проведения томографии, получают его согласие.
О том, как подготавливаться к введению гадолиния, объясняют заранее (количество вещества – от 7,5 до 15 мл). Самые распространенные препараты, с помощью которых будет делаться контрастирование – Омнискан и Гадовист.
Затем необходимо снять металлические предметы (украшения, аксессуары, протезы). После этого пациент помещается в аппарат, его голова фиксируется, и он находится в лежачем положении в течение всей процедуры. Она длится от 15 до 30 минут. Больному важно сохранять неподвижность, поскольку это сказывается на качестве результата, что создает проблемы при расшифровке.
Интерпретация
Интерпретация проводится только врачом-рентгенологом, прошедшим соответствующую (дополнительную) подготовку. Результат записывается на твердый носитель (диск), просмотром которого занимается лечащий врач (онколог, эндокринолог, невролог).
При расшифровке специалист обращает внимание на размеры железы, ее расположение, структуру и однородность ткани, ее кровоснабжение, при наличии новообразования – степень инвазивности в окружающие ткани.
Что касается самого гипофиза, то для диагностики его опухоли обязателен контраст, позволяющий визуализировать образование размером более 3-4 мм.
Исследование без усиления в случае данной железы проводится нечасто.
Необходимо понять, что показывает МРТ гипофиза, какие патологии визуализируются при этой процедуре. Далеко не всегда опухоли бывают гормонопродуцирующими.
Сами новообразования во время томографии позволяют выявить так называемый “эффект массы” – смещение и деформацию рядом расположенных структур патологической тканью.
Клинически это проявляется проблемами со зрением и повышением внутричерепного давления. Само новообразование выявляется как повышенный сигнал на томограмме.
https://youtube.com/watch?v=yYy6783HIwk
Перечень опухолевых заболеваний гипофиза:
- Аденома – самая часто диагностируемая опухоль.
- Аденокарцинома – злокачественное новообразование гипофиза.
- По гормональной активности новообразования делятся на пролактиному, соматотропиному, кортикотропиному, гонадотропиному, тиреотропиному. Образования, не продуцирующие гормоны, выделяются в отдельную группу, которая так и называется, — гормонально неактивные опухоли.
Если формирование инфильтрирует окружающие ткани, то оно носит название инвазивного, если нет – неивазивного. По тому, сколько составляют размеры опухоли, они делятся на макро- и микроаденомы. Размеры первых более 10 мм, вторых – менее 10 мм. Разница иногда бывает незначительная. Окончательный диагноз выставляется на основе результатов биопсии, анализов на гормоны и клинической картины.
Указанные выше факторы влияют на то, какое лечение будет назначаться пациенту. В большинстве случаев требуется удаление новообразования (даже несмотря на то, что обычно они доброкачественные).
При опухолях, продуцирующих гормоны, также назначаются специфические препараты, которые подавляют их активность. Исключение составляют образования менее 1 мм. За ними проводится наблюдение в течение 5 лет.
Таким пациентам раз в год назначается МРТ и при отсутствии отрицательной динамики больной снимается с учета. Но при ухудшении клинических данных проводится хирургическое лечение.
Подытоживая, можно сказать, что МРТ гипофиза – главная диагностическая манипуляция, позволяющая выявить заболевания этой железы.
Сама процедура простая в подготовке, имеет отличные показатели специфичности и чувствительности, а также высокий уровень безопасности, что делает ее идеальным вариантом при подозрении на наличие патологий гипофиза.
Еще один важный аспект в применении томографии – это определение тактики терапии и контроль за дальнейшим состоянием пациента.
Когда назначают МРТ гипофиза
В структуре заболеваний гипофиза лидирующая роль принадлежит аденомам, они являются доброкачественными опухолями, способными к секреции гормонов. Для диагностики самый информативный метод – это магнитно-резонансная томография. Врач может направить больного на МРТ при таких жалобах:
- избыточный рост у детей или взрослых, деформации костей лицевого скелета;
- замедление роста, появление вторичных половых признаков;
- отсутствие менструаций;
- увеличение грудных желез у мужчин;
- выделения из сосков молокоподобной жидкости (галакторея);
- ожирение, луноподобное лицо, артериальная гипертензия, растяжки на коже, рост волос на лице;
- потеря веса, тахикардия, постоянная слабость, потливость, непереносимость жары;
- импотенция, снижение полового влечения у мужчин;
- нарушения менструального цикла, дисфункциональные кровотечения;
- обнаружение повышенного содержания гормона роста в крови, пролактина, тиреотропина, кортикотропина, гонадотропных гормонов.
Аденомы гипофиза и другие опухоли в области турецкого седла, где он находится, сопровождаются и признаками сдавления окружающих тканей.
Противопоказания:
- установленный кардиостимулятор или вживленные нейростимуляторы;
- металлические зажимы или каркасы в сосудах шеи и мозга;
- инсулиновая помпа или подобные устройства;
- любой металлический протез, имплант, в том числе и зубочелюстной области;
- армирование кожи лица золотыми нитями.
Относительное ограничение – клаустрофобия, ее можно преодолеть при помощи специальных аппаратов с открытым верхом. Не рекомендуется в первом триместре беременности при крайне тяжелом состоянии пациента, невозможности сохранять неподвижность.
МРТ не проводится при почечной недостаточности, психических расстройствах, в состоянии алкогольного опьянения или после наркотиков. Отказ бывает и при некоторых видах татуировок.
Особой подготовки к МРТ не требуется, важно полностью снять все украшения, металлические заколки, часы и съемные протезы, брекеты. Если необходимо контрастирование, то перед обследованием нельзя есть за три часа.
Крупные образования видны без контрастирования, а при микроаденомах их выявление повышается более чем на 15% при введении специальных препаратов. В большинстве случаев врачи используют Магневист или Гадовист.
При введении препаратов бывает головокружение, приливы жара, тошнота и рвота. Их развитие наиболее вероятно в первые 20 минут после введения. После того, как контраст попал в кровеносное русло, можно сразу перейти к сканированию.
https://youtube.com/watch?v=FVUM6kVsUbM
Сама процедура проходит в аппаратах, представляющих собой неподвижный магнит, в который въезжает кушетка с пациентом. При передвижении получают нужные послойные изображения, передаваемые на компьютер. В процессе сканирования больной слышит громкие звуки и щелчки, поэтому лучше закрыть уши берушами, детям они нужны в обязательном порядке. Вся томография занимает около часа.
Если сканировать гипофиз со стороны лица (фронтальная плоскость), то орган похож на прямоугольник. Его нижняя сторона соответствует дну турецкого седла, а верхняя бывает выпуклой, вогнутой или прямой.
От передней стенки гипофиза до задней и от правой до левой размер не меняется, поэтому об увеличении органа судят по его вертикальному размеру.
В норме он не больше 4-7 см, у подростков, в конце беременности и в раннем послеродовом периоде его возрастание до 12 см является вариантом нормы.
К отклонениям также не относится легкая асимметрия контура, незначительное смещение воронки, которая соединяет гипофиз и гипоталамус при отсутствии других изменений ткани.
Ткань передней доли однородная и имеет такую же плотность, как и белое вещество мозга. Непосредственно у ножки могут быть светлые пузырьки, которые являются скоплением коллоидного вещества.
Возможные отклонения:
- Пустое турецкое седло. По внутренней поверхности турецкого седла «распластан» гипофиз. Его покрытие (диафрагма) при этом провисает в полость. Гипофизарная ткань становится похожа на тонкий полумесяц толщиной 2 мм.
- Опухоли. Аденома является наиболее частой находкой МРТ. Ее размеры бывают до 10 мм, тогда ее называют микроаденомой. Если новообразование имеет диаметр от 1 см до 2,2см, но не распространяется за пределы турецкого седла, то ее относят к мезоаденомам. Макроаденомы имеют в поперечнике более 2,5 см. Если опухоль не обнаружена, но имеются косвенные признаки ее наличия, то устанавливают предварительный диагноз, который потом уточняют при операции. При обнаружении просветлений в ткани, имеющих размеры от 1 до 3 мм, их наличие, расценивается, как аденопатия. Под таким диагнозом понимают обратимые изменения, которые без лечения или на фоне гормональной терапии исчезают.
При применении контраста мелкие аденомы его накапливают медленнее, что приводит к стиранию разницы между ними и окружающим гипофизом. Поэтому иногда приходится уже во время проведения МРТ вводить дополнительное количество препарата для четкой визуализации.
Показания к проведению МРТ гипофиза
В структуре заболеваний гипофиза лидирующая роль принадлежит аденомам, они являются доброкачественными опухолями, способными к секреции гормонов.
В зависимости от того, какие из них поражены, возникают признаки эндокринных расстройств. Для диагностики самый информативный метод – это магнитно-резонансная томография.
Врач может направить больного на МРТ при таких жалобах:
- избыточный рост у детей или взрослых, деформации костей лицевого скелета;
- замедление роста, появление вторичных половых признаков;
- отсутствие менструаций;
- увеличение грудных желез у мужчин;
- выделения из сосков молокоподобной жидкости (галакторея);
- ожирение, луноподобное лицо, артериальная гипертензия, растяжки на коже, рост волос на лице;
- потеря веса, тахикардия, постоянная слабость, потливость, непереносимость жары;
- импотенция, снижение полового влечения у мужчин;
- нарушения менструального цикла, дисфункциональные кровотечения;
- обнаружение повышенного содержания гормона роста в крови, пролактина, тиреотропина, кортикотропина, гонадотропных гормонов.
Аденомы гипофиза и другие опухоли в области турецкого седла, где он находится, сопровождаются и признаками сдавления окружающих тканей:
- сужение полей зрения, ограничение подвижности глазных яблок;
- снижение четкости контуров окружающих предметов;
- атрофия глазных нервов с полной слепотой;
- головные боли;
- опущение верхнего века;
- двоение в глазах;
- судорожный синдром;
- повышение внутричерепного давления;
- постоянный насморк;
- изменение личности, утрата памяти;
- эпизоды потери сознания.
Рекомендуем прочитать статью о кровоизлиянии в гипофиз. Из нее вы узнаете о причинах кровоизлияния в гипофиз, основных симптомах кровоизлияния аденомы и микроаденомы, МРТ и других методах диагностики, а также о лечении и прогнозах для больного.
А здесь подробнее о том, что будет после удаления гипофиза.
Особой подготовки к МРТ не требуется, важно полностью снять все украшения, металлические заколки, часы и съемные протезы, брекеты.
Если были ранее проведены КТ, МРТ, УЗИ сосудов головы и шеи, то заключения рекомендуется взять с собой. Медикаменты не изменяют результатов обследования, поэтому ограничения терапии не потребуются.
Если необходимо контрастирование, то перед обследованием нельзя есть за три часа.
https://youtube.com/watch?v=L0_tkpwzL8Q
Как делают с контрастом и без
Крупные образования видны без контрастирования, а при микроаденомах их выявление повышается более, чем на 15% при введении специальных препаратов. В большинстве случаев врачи используют Магневист или Гадовист. Методика с контрастированием показана всем пациентам при выявленном ранее образовании или отягощенной наследственности по онкологии.
При введении препаратов бывает головокружение, приливы жара, тошнота и рвота. Их развитие наиболее вероятно в первые 20 минут после введения, поэтому за пациентом проводится наблюдение и при необходимости используют Церукал внутримышечно.
Для МРТ применяют растворы на основе гадолиния, он крайне редко дает аллергические реакции. После того, как контраст попал в кровеносное русло, можно сразу перейти к сканированию.
https://youtube.com/watch?v=FVUM6kVsUbM
Сама процедура проходит в аппаратах, представляющих собой неподвижный магнит, в который въезжает кушетка с пациентом. При передвижении получают нужные послойные изображения, передаваемые на компьютер. В процессе сканирования больной слышит громкие звуки и щелчки, поэтому лучше закрыть уши берушами, детям они нужны в обязательном порядке. Вся томография занимает около часа
Что показывает МРТ гипофиза
Этот метод обследования помогает обнаружить новообразование гипофиза, его размер, строение, расположение по отношению к другим структурам мозга, предположить доброкачественный или злокачественный его характер, определить границы опухоли.
Норма
Если сканировать гипофиз со стороны лица (фронтальная плоскость), то орган похож на прямоугольник.
Его нижняя сторона соответствует дну турецкого седла, а верхняя бывает выпуклой, вогнутой или прямой.
От передней стенки гипофиза до задней и от правой до левой размер не меняется, так как эти поверхности «зажаты» в турецком седле, поэтому об увеличении органа судят по его вертикальному размеру.
В норме он не больше 4-7 см, у подростков, в конце беременности и в раннем послеродовом периоде его возрастание до 12 см является вариантом нормы.
К отклонениям также не относится легкая асимметрия контура, незначительное смещение воронки, которая соединяет гипофиз и гипоталамус при отсутствии других изменений ткани.
Ткань передней доли однородная и имеет такую же плотность, как и белое вещество мозга. Непосредственно у ножки могут быть светлые пузырьки, которые являются скоплением коллоидного вещества.
Отклонения: опухоль и прочие
При заболеваниях могут возникать различные изменения, объединенные в МРТ-синдромы.
Пустое турецкое седло
По внутренней поверхности турецкого седла «распластан» гипофиз. Его покрытие (диафрагма) при этом провисает в полость. Гипофизарная ткань становится похожа на тонкий полумесяц толщиной 2 мм. Встречается после родов, абортов, лучевой терапии.
Опухоли
Аденома является наиболее частой находкой МРТ. Ее размеры бывают до 10 мм, тогда ее называют микроаденомой.
Если новообразование имеет диаметр от 1 см до 2,2 см, но не распространяется за пределы турецкого седла, то ее относят к мезоаденомам. Макроаденомы имеют в поперечнике более 2,5 см.
При выходе из полости турецкого седла аденома прорастает в соседние ткани, синусы и желудочки мозга, цистерну, носовые ходы.
Если опухоль не обнаружена, но имеются косвенные признаки ее наличия на фоне клинических проявлений и гормональных нарушений, то устанавливают предварительный диагноз, который потом уточняют при операции. К таким симптомам относятся:
- неоднородная структура, очаги повышенной или пониженной плотности;
- выраженная асимметрия и смещение воронки гипофиза;
- деформация костей турецкого седла, разрушение спинки, остеопороз.
При обнаружении просветлений в ткани, имеющих размеры от 1 до 3 мм их наличие, расценивается, как аденопатия. Под таким диагнозом понимают обратимые изменения, которые без лечения или на фоне гормональной терапии исчезают. Для того, чтобы не пропустить подобные нарушения важно проводить исследование на высокоточных томографах с толщиной среза 2-3 мм.
https://youtube.com/watch?v=LIsatmfa9i0
При применении контраста мелкие аденомы его накапливают медленнее, что приводит к стиранию разницы между ними и окружающим гипофизом. Поэтому иногда приходится уже во время проведения МРТ вводить дополнительное количество препарата для более четкой визуализации.
Рекомендуем прочитать статью о недостаточности гипофиза. Из нее вы узнаете о причинах недостаточности гипофиза, симптомах синдрома, осложнениях, диагностике и лечении недостаточности гипофиза.
А здесь подробнее о пролактиноме гипофиза.
МРТ гипофиза проводится при подозрении на аденому или другое опухолевое образование. Томография показана при нарушениях гормонального баланса, которые проявляются клинически и подтверждены анализами крови. Также важно пройти обследование при нарушении зрения и неврологической симптоматике.
Для лучшей визуализации вводится контрастное вещество. Полученные изменения описывают и используют для постановки диагноза, определения необходимости оперативного лечения.
Мрт гипофиза: что показывает томография с контрастом и без, как подготовиться к процедуре?
Гипофиз – это часть мозга, которая выглядит как образование округлой формы, находится в костном кармане и состоит из двух долей – передней и задней.
Передняя доля гипофиза отвечает за рост и развитие человека, за размножение, а затем участвует в процессе лактации.
Задняя доля синтезирует два важнейших гормона: окситоцин и вазопрессин, которые отвечают за поддержание водного баланса в организме, упругость и тонус мышц, память и так далее. Именно в задней доле гипофиза чаще всего возникают опухолевые процессы.
Цель процедуры МРТ для гипофиза головного мозга
Основная роль гипофиза головного мозга в организме – регулировать работу репродуктивной системы мужского и женского организма. Недостаток гормонов, вырабатываемых этим органом, может привести к остановке роста и карликовости. Помимо этого, существует еще ряд заболеваний, которые возникают при нарушении работы гипофиза.
Цель любой диагностической процедуры (будь то МРТ или КТ органа) — обследовать его состояние.
Так, с помощью КТ гипофиза можно получить сведения о структуре его ткани, окружающих сосудах, увидеть опухоль даже на стадии ее зарождения, а также другие патологические изменения.
Результатом исследования станет детальный снимок гипофиза в нескольких срезах, количество которых зависит от решения специалиста в каждом индивидуальном случае.
Показания и противопоказания для проведения МРТ
Симптомов нарушения работы органа множество, поэтому далеко не все внешние проявления могут стать для пациента основанием для направления на МРТ. Очевидно, что при повышенном пролактине пройти процедуру придется обязательно, а вот головные боли вряд ли вызовут у врача подозрения на неполадку с гипофизом.
Итак, МРТ гипофиза необходима, если:
- произошел резкий скачок веса (быстрое ожирение);
- у женщины есть нарушения менструального цикла;
- есть сбой в работе эндокринной системы, для которой гипофиз является контролирующим и координирующим органом;
- имеются проблемы со зрением, а окулист не может вынести заключение об их причине;
- отмечаются регулярные головные боли.
У обследования при помощи магнитного томографа имеются свои противопоказания. Они делятся на относительные и абсолютные. К относительным относятся:
- беременность — ранние сроки (до 14 недель);
- боязнь замкнутых пространств;
- лишний вес, когда пациента невозможно поместить внутрь аппарата;
- эпилепсия и другие расстройства нервной системы;
- татуировки, в состав краски которых входят металлы.
Абсолютных показаний меньше:
- наличие в теле пациента инородных тел, например, штифтов, протезов, помп;
- вживленный кардиостимулятор.
Как проводят МРТ головного мозга?
Если вам впервые предстоит столкнуться с процедурой МРТ или КТ, наверняка у вас назрело множество вопросов: как подготовиться к исследованию, что следует знать о нем перед началом, что необходимо сделать накануне, а от чего стоит воздержаться. Спешим вас успокоить, особой подготовки не потребуется.
Проведение процедуры
Тем, кто никогда не сталкивался с процедурой МРТ, этот аппарат может быть знаком по фильмам, он выглядит как тоннель, внутри которого располагаются магниты. Он оснащен подвижной кушеткой, на которую укладывают пациента, а затем фиксируют положение его тела при помощи ремней и зажимов, чтобы исключить случайные движения головой.
Конечно, нахождение в замкнутом пространстве при громком звуке негативно сказывается на психическом состоянии пациента. Следует обязательно предупредить врача о боязни тесных помещений, чтобы он своевременно предложил вам успокоительные препараты.
https://youtube.com/watch?v=GDX0mxl2ou0
Лежащему на кушетке пациенту в вену вводят контрастное вещество, если было принято решение о более полном исследовании, а затем помещают его внутрь аппарата. Сама процедура длится от 10 до 50 минут.
Специалист следит за процессом из соседней комнаты, где находится пульт управления томографом, определяет количество срезов, которые должен произвести аппарат.
После завершения процедуры специалист напишет заключение и выдаст его на руки пациенту вместе со снимками.
Различия обследования с контрастом и без
Вариантов указанного исследования гипофиза всего два – с контрастированием или без его применения, одно отличается от другого введением в первом случае дополнительного препарата. Парамагнитное контрастное вещество вводят в вену исследуемого непосредственного перед процедурой, а его количество рассчитывает специалист индивидуально для каждого, в зависимости от массы тела человека.
Специалист на подготовительном этапе сам решает, какой именно вид исследования выбрать – с контрастированием или без него, однако разница в исследованиях весьма значительна, поэтому гораздо чаще контраст все-таки применяют.
Это позволяет лучше визуализировать опухоль на снимке, определить ее размеры и контуры, структуру и взаимодействие с расположенными рядом здоровыми тканями.
Без контрастного вещества проблематично выявить микроаденому, то есть распознать заболевание на ранней стадии.
Сканирование при повышенном пролактине
Одним из гормонов, который синтезирует гипофиз, является пролактин. Он вырабатывается в передней доле головного мозга и напрямую поступает в кровь.
Этот гормон ответственен за множество процессов, происходящих в организме, в том числе стимулирует рост тканей.
Множество заболеваний может быть спровоцировано повышенным содержанием пролактина, так как при его избытке работа внутренних органов может давать сбой.
При высоком пролактине назначается обследование МРТ, так как только оно способно выявить или опровергнуть наличие аденомы гипофиза – заболевания, вызванного избытком пролактина.
Обычно используется метод исследования с введением контрастного вещества — оно в разы увеличивает достоверность результатов. Это связано с тем, что контрастное вещество накапливается в местах повышенного кровоснабжения и позволяет выявить проблемные участки.
Снимки делают с разных сторон, а затем послойно совмещают изображения, создавая из них цельную картину.
Одними из пациентов, которым назначают обследование гипофиза при повышенном пролактине, являются женщины с проблемой бесплодия. В этом случае процедура также показывает наличие аденомы, мешающей зачатию. При подтверждении диагноза с помощью МРТ можно следить за опухолью, исключив хирургическое вмешательство, и наблюдать протекающие в ней процессы.
Результаты обследования
Результаты исследования пациент клиники получит на руки сразу после завершения процедуры. Снимки результатов МРТ похожи на рентгеновские, только их несколько больше. Некоторые клиники предоставляют услугу записи обследования на диск.
Оно будет включать в себя не только снимки, но и письменное заключение специалиста. Врач, проводивший исследование, может дать рекомендации для дальнейших действий пациенту, например, порекомендовать, к какому специалисту обратиться со снимками.
В чем разница между мрт с контрастом и без него
В арсенале современной медицинской отрасли имеется множество способов исследования человеческого организма.
На сегодняшний день наиболее часто применяемым методом считается МРТ, основанный на использовании магнитного резонанса атомного ядра.
По сравнению с рентгеном или компьютерной томографией, этот метод отличается отсутствием вреда для человека – при его проведении не используется опасное ионизирующее излучение.
Итоговые данные МРТ поступают непосредственно в компьютер врача и там, благодаря специально разработанным программам, обрабатываются.
Снимок исследуемого органа представлен трехмерным изображением, благодаря которому можно провести точную дифференциацию тканей.
Данная диагностическая методика стала незаменимой в ряде случаев – при подготовке к хирургическому вмешательству, контроле состояния пациента после операции и выявлении ранних стадий большинства патологических процессов.
Магнитно-резонансную томографию используют как неинвазивный метод визуализации спинного и головного мозга, диагностирования последствий травм, злокачественных новообразований, ишемии, различных аномалий развития.
Практикующие радиологи разработали множество способов, позволяющих повысить точность итоговых данных исследования, основными из них считаются методики с применением контрастного (особого красящего ткани) вещества или без него.
Пациент, получивший направление на такое обследование, интересуется – в чем разница МРТ с контрастом и без него? Именно поэтому в нашей статье мы хотим рассказать о преимуществах данного метода, в каких случаях врач принимает решение использовать контрастное вещество и в чем главное отличие диагностики.
Общие сведения об МРТ
Данная методика представляет собой неинвазивный, безопасный и безболезненный способ детального изучения внутренних тканей и органов.
Специальное медицинское оборудование создает мощное магнитное поле постоянной частоты, которое позволяет получить послойные снимки объекта исследования.
Толщина его среза – несколько микрон, полученное изображение преобразовывается в трехмерную модель, позволяющую врачу детально оценить состояние органа.
https://youtube.com/watch?v=ddkjqscCObU
Благодаря использованию мощного томографа и высокоточной компьютерной техники можно обнаружить многие патологические изменения в человеческом организме, которые трудно диагностировать на другом оборудовании:
- небольшие опухолевидные образования;
- изменения сосудов;
- инфекционно-воспалительные процессы;
- травматические повреждения;
- метастазы.
Однако в некоторых ситуациях обследования обычным магнитно-резонансным способом недостаточно. Особенно часто это случается при поражениях головного мозга. Для улучшения качества изображения столь важного для человека органа дополнительно вводят контрастные вещества, основанные на солях гадолиния – Дотарем, Гадовист, Омнискан, Примовист.
В каких случаях проводят мрт головного мозга с контрастом?
Контрастный раствор вводят пациенту внутривенно перед началом диагностического обследования для получения более объемного и четкого изображения органа. Данное вещество выполняет роль индикатора изменений, происходящих в головном мозге – оно активно накапливается в зоне очага патологического процесса.
Использование контраста абсолютно безболезненно и безвредно для пациента, единственное противопоказание – индивидуальная непереносимость препарата
Особое значение использование диагностики с контрастированием имеет:
- при доброкачественных и злокачественных новообразованиях;
- генетических патологиях;
- травматических повреждениях головного мозга;
- кистах;
- менингиоме;
- метастазах;
- инфекционных болезнях;
- нейродегенеративных расстройствах центральной нервной системы;
- болезни Альцгеймера.
Также практикующие специалисты используют МРТ с контрастом для оценивания состояния гипофиза – мозгового придатка, который секретирует биологически активные вещества, влияющие на гормональный фон человека. Данное обследование назначается при любых подозрениях на нарушение его функциональной деятельности:
- в излишней активизации некоторых групп гормонов;
- изменении функции эндокринной системы;
- часто возникающих у пациента головных болей;
- при формирования пролактиомы;
- беспричинном снижении остроты зрения;
- нерегулярном менструальном цикле;
- эректильной дисфункции;
- резком изменении массы тела;
- наличия отклонений роста – явной карликовости или гигантизма.
При внутривенном введении контрастного вещества, оно с циркулирующей кровью распространяется по сосудам и достигает головного мозга.
Магнитный резонанс с красящим веществом считается более эффективной методикой, нежели без него – врач может не только определить место развития патологического изменения, но и его характер.
Для проведения исследования используют хелатный комплекс, который содержит ионы гадолиния.
Эти вещества нетоксичны, не вызывают аллергию и какие-либо побочные эффекты, не накапливаются в организме, а быстро выводятся из него.
Контраст обладает способностью «подсвечивать» ткани, это явление фиксирует чувствительное медицинское оборудование. Магнитное поле, воздействующее на красящий препарат, позволяет получить более четкую визуализацию исследуемой области человеческого тела. Скорость распространения вещества по сосудистой системе находится в зависимости от интенсивности кровообращения в месте обследования.
Под воздействием контрастного вещества пораженные ткани головного мозга изменяют цвет, что позволяет врачу точно определить структуру, размер и контуры патологического процесса
Какие нюансы учитывают при проведении диагностики с контрастом?
Красящие средства, используемые в современной медицине, очень редко вызывают у пациента аллергическую реакцию. Однако при наличии индивидуальной непереносимости для подтверждения диагноза заболевания врач выбирает другой метод.
При беременности МРТ не рекомендуют проводить на любом сроке этого периода. При острой необходимости проводят обычную диагностику – без введения контраста, так как его влияние на развивающегося младенца до конца не изучено.
Выраженное нарушение почечной функции является противопоказанием не только для применения контрастного вещества при МРТ-исследовании, но и для использования любого контрастирования. Особую осторожность при проведении процедуры необходимо соблюдать при имеющихся у пациента трансплантированных органов (в частности, почек и печени) – возможно негативное воздействие вещества на их функцию.
Дополнительную консультацию специалистов требует проведение процедуры с контрастом у пациентов с сердечно-сосудистыми патологиями, бронхиальной астмой, анемией, гемобластозом.
При наличии в человеческом организме имплантантов или металлических предметов проводить диагностическую процедуру с использованием магнитного поля запрещено! Высокомощная аппаратура имеет способность притягивать и передвигать металл – это явление может стать причиной не только появления у пациента болезненных ощущений, но и угрожать его жизни.
Также магнитное поле может повлиять на нормальную работу кардиостимулятора, слухового и другого электронного индивидуального оборудования.
Наличие у пациента различных психических нарушений или клаустрофобии не является противопоказанием к проведению обследования.
Перед процедурой необходимо принять седативное средство, которое успокоит нервную систему и позволит пациенту сохранять неподвижное состояние.
Наиболее проблемным и тяжелым нежелательным эффектом от применения контраста считается нефрогенный системный фиброз. Патологический процесс поражает кожные покровы, паренхиматозную ткань внутренних органов и проявляется разрастанием фиброзной ткани. Его происхождение и этиологическая причина до конца не выяснены.
Предполагают, что возникновение данного заболевания может быть вызвано сочетанием таких факторов, как:
- почечная недостаточность;
- наследственная предрасположенность;
- прохождение МРТ с дополнительным контрастированием.
С целью предупреждения формирования нефрогенного фиброза перед выполнением МРТ с контрастом оценивают состояние почек, а именно: исследование показателя скорости клубочковой фильтрации.
Основная разница процедур проявляется в качестве изображения – использование контрастного препарата позволяет более четко визуализировать исследуемый орган.
Обычную диагностическую процедуру проводят без дополнительного усиления какими-либо красящими веществами. Для ее выполнения не нужны предварительные подготовительные мероприятия.
Сканирование органов с введением контрастных препаратов требует специального подготовительного процесса.
Проведение МРТ с контрастом обычно занимает больше времени, чем диагностика без усиления
Существует разница и в цене диагностического исследования – стоимость используемых препаратов на основе редкоземельного металла высокая, что значительно превышает цену обычного сканирования. В заключении вышеизложенной информации хочется еще раз подчеркнуть преимущества контрастирования. Красящие вещества прошли целый ряд испытаний – учеными доказана слаботоксичность гадолиния.
Это вещество не вызывает аллергическую реакцию и легко выводится из организма пациента. Его уникальность заключается в способности «подсвечивать» сосуды и ткани, что предоставляет возможность специалистам более подробно изучить исследуемые ткани.
А это играет значительную роль в выявлении злокачественных опухолей! Благодаря использованию магнитной томографии с контрастным веществом значительно выросли возможности диагностирования патологий головного мозга, скрытых внутренних кровотечений и воспалительных процессов.




