Что такое очаговые изменения белого вещества головного мозга
Головной мозг является центром, которой регулирует работу всего организма и напрямую связан с вегетативной нервной системой. Очаговые изменения белого вещества головного мозга – это такой необратимый процесс гибели чувствительных нейронов даже при небольшом кислородном голодании.
Причины и признаки патологии
Нервная ткань обеспечивается интенсивным кровоснабжением, особенностью перфузии в головном мозге, являются перемычки между сосудами. При экстренном кислородном голодании, циркуляция крови восстанавливается за счет другого сосуда.
Нейроны уязвимы даже к кратковременному отсутствию питания, гибель клеток приводит к необратимым процессам головного мозга – нарушаются двигательные возможности и интеллект.
С возрастом сосуды становятся менее эластичные и хрупкие. Частой причиной поражения коры головного мозга, являются сопутствующие заболевания сосудистой системы.
Причины ведущие к поражению:
- Артериальная гипертензия;
- Атеросклероз сосудов;
- Гипергомоцистеинемия (высокие показатели гомоцистеина в крови);
- Нарушения обмена веществ;
- Воспалительные заболевания оболочек мозга (лептоменингит, пахименингит, арахноидит);
- Амлоидная ангиопатия (в артериях откладывается амлоид);
- Рассеянный склероз;
- Повреждение коры головного мозга (травмы);
- ВИЧ – инфекция;
- Нарушение кровообращения (инсульт, инфаркт, дистрофические изменения);
- Дисциркуляторные изменения (нарушение циркуляции крови в сосудах черепа, а так же в спинномозговом отделе);
- Последствия ишемии.
Ткани мозга получают питание из каротидных и вертебробазилярных бассейнов, соединенных между собой в велизиев круг. При нарушениях или анатомически не развитых сосудах, нет возможности компенсировать гипоксию, восстановив ток крови через анастомоз (соединение с другим сосудом), что приводит к очаговому поражению мозга сосудистого характера.
Симптомы при поражениях клеток мозга в начальной стадии не имеют яркой клинической картины, что приводит к дальнейшему разрушению пучков аксонов (белое вещество).
Клинические признаки:
- Спазмы мышц;
- Повышенное АД;
- Головокружение;
- Психические расстройства;
- Эпилептические приступы;
- Мигрени;
- Нарушение речи;
- Снижение памяти;
- Паралич.
Формы патологического процесса
В зависимости от повреждений, вызванные нарушениями в работе сосудов и доставке питательных веществ к мозговым тканям, выделяют:
- Дисциркуляторный характер повреждений;
- Очаговые изменения вещества головного мозга дистрофического характера.
К группе риска относятся не только возрастные пациенты. Патологический процесс в мозговых структурах встречается и при сопутствующих заболеваниях не связанных с сосудистой системой:
- Возраст старше 50 лет;
- Нарушение обмена веществ (ожирение);
- Гипертензия;
- Малоподвижный образ жизни (явления застоя в сосудистом русле);
- Злоупотребление алкоголем и табаком;
- Атеросклероз;
- Сахарный диабет;
- Вегетососудистая дистония;
- Остеохондроз;
- Нарушение сердечного ритма (брадикардия, тахикардия);
- Ревматоидный артрит.
Дисциркуляторные нарушения
Дисциркуляторная форма патологического процесса — медленное развитие поражения сосудистого генеза, имеет хроническое течение. Начальная стадия не приводит к значительным сбоям в нервной системе и ощущается как переутомление или депрессия, диагностировать развивающуюся патологию крайне сложно.
Разрастание вазогенных очагов поражения приводит к отмиранию ткани и выражается неустойчивостью психики и появлению головных болей. Обширный некроз тканей приводит к необратимым изменениям, человек становится недееспособен (нарушена двигательная активность и интеллектуальные способности).
Дистрофические изменения
Нехватка клеточного питания приводит к очаговым изменениям головного мозга дистрофического характера, зона повреждения может быть единичной или иметь обширную площадь.
https://youtube.com/watch?v=DuYk9k7_gRg
Некротические участки могут быть в виде единичных вкраплений или иметь множественные очаги с мертвой тканью. Патологические изменения имеют генетическую предрасположенность и проявляют себя при наличии неблагоприятных факторов.
Причины:
- Черепно-мозговые травмы;
- Новообразования (опухоли, кисты);
- Последствия дегенеративных изменений (рубцы на мозговой ткани после травмы);
- Остеохондроз шейного отдела;
- Аневризма сосудов.
Проявление симптомов происходит уже при тяжелой форме болезни и обширном очаге некроза. Начальная стадия выражается депрессивным состоянием, которое не купируется антидепрессантами.
Поражение лобной и височной доли мозга выражается в снижении памяти и концентрации внимания. Прогрессирующий процесс приводит к дегенеративным изменениям (не узнает предметы, нарушена речь).
Присоединяются демиелинизирующие нарушения, выражающиеся в нарушении опорно-двигательной системы (шатающаяся походка, нарушение координации). Развитие парезов различной интенсивности (тремор рук, головы, отсутствие мимики на лице), приводят к дисфагии (невозможность приема пища из-за нарушения глотания).
Человек становится, не способен контролировать эмоции (смех или плач без причины), изменения затрагивают и ые связки (гнусавый голос).
Диагностика
Очаговые изменения головного мозга сложно поддаются диагностике в начальной стадии. Выявление патологии затрудняет достаточно скудная симптоматика.
УЗ — диагностика с допплерографией выявляет нарушения в сосудах головного мозга (асимметрия, повышение венозного тока крови, стеноз, атеросклероз). КТ (компьютерная томография), определяет перенесенные инфаркты, скопление жидкости в полостях и истончение тканей (атрофия мозговых структур).
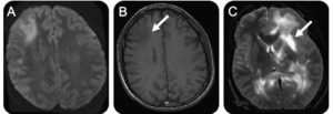
Наиболее достоверные и точные результаты возможны, получить только при исследовании с помощью магнитно — резонансной томографии (МРТ) черепа. Изображение получают путем взаимодействия электромагнитного поля с атомами водорода.
Данная диагностика позволяет оценить функционирование нейронов и обнаружить изменение плотности тканей мозга. Выявив бессимптомные стадии очагового поражения, возможно, начать своевременную терапию.
МРТ позволяет получить снимки в трех плоскостях (поперечная, продольная и фронтальная) и выявить причину нарушения питания мозговых структур:
- Некротический единичный очаг в коре больших полушарий мозга, возникший вследствие сужения или закрытия тромбом артерии позвоночного отдела (врожденные патологии, результат атеросклероза или грыжи позвоночного отдела);
- Множественные очаговые поражения – предынсультное состояние (диагностика позволяет начать своевременное лечение и предотвратить развитие необратимых процессов);
- Изменения в лобной или теменной доле – небольшие поражения, возникающие при гипертензии и кризах;
- Микроочаговое поражение – диагностируются путем введения контрастного вещества, характерно для возрастных пациентов, либо наличие врожденных аномалий.
Выявленная патология при помощи МРТ, позволяет оценить скорость прогрессирования заболевания и выбрать правильную тактику лечения.
Методы борьбы с патологией
Необратимые последствия при поражениях головного мозга, требуют комплексного подхода в лечении и кардинальных перемен в привычном образе жизни:
- Отказ от вредных привычек;
- Физическая активность – пешие прогулки и бассейн, для укрепления сердечной мышцы;
- Соблюдение диеты — стол № 10 – ограничение соли, жирной и острой еды. Преимущественно отварная или приготовленная на пару пища;
- Соблюдение режима отдыха – при патологиях мозга, необходимо увеличить сон на несколько часов;
- Избегание стрессов – не стабильное эмоциональное состояние напрямую влияет на причины многих заболеваний.
Медикаментозная терапия направлена на устранение когнитивных расстройств и лечение основного заболевания, которое является причиной изменения мозговых тканей:
- Препараты для улучшения кровоснабжения (помогают восполнить дефицит кислорода в тканях);
- Анальгетики (купирование болей);
- Противоэпилептические препараты (снятие судорожного синдрома);
- Бета-адреноблокаторы (контроль АД, для исключения гипертонических кризов);
- Нестероидные противовоспалительные препараты;
- Витамины группы В (восстановление работы нервной системы);
- Антидепрессанты (при тревожных расстройствах);
- Ноотропные препараты (восстановление когнитивных способностей).
При незначительных очагах поражения, возможно, замедлить прогрессирующий процесс, выполняя предписания невролога и проходя ежегодное повторное обследование сосудов головного мозга.
https://youtube.com/watch?v=wRA9SmujfH0
Профилактические меры, направленные на ведение здорового образа жизни и ежегодные плановые обследования у невропатолога, позволяют свести риск к минимуму для людей предрасположенных к сосудистым патологиям.
Дисфункциональные нарушения головного мозга влияют на качество жизни и течение болезни, приводящее к летальному исходу при обширных поражениях мозговой ткани. Своевременное лечение не избавляет от патологии, но возможно замедлить атрофические процессы и наладить угасающие жизненные функции.
Очаговые изменения вещества головного мозга сосудистого характера
На сегодняшний день специалистами выявляется большое количество заболеваний, связанных с поражением сосудов головного мозга.
Это довольно серьезные нарушения, которые могут повлечь за собой:
- нарушения психического состояний;
- частичную потерю памяти;
- инсульты или инфаркты.
Именно поэтому пациент должен получить незамедлительное лечение.
Что такое сосудистый генез головного мозга
Сосудистый генез — это не заболевание, а только указание на природу возникновения болезни. Под ним подразумевается нарушения кровообращения, что очень часто становиться причиной инфарктов, инсультов и других различных заболеваний. Встречается сосудистый генез на сегодняшний день довольно часто.
Причины возникновения заболевания
Прежде чем лечить какое-либо заболевание, необходимо знать причины его возникновения. От этого зависит процесс выздоровления.
Спровоцировать возникновения нарушений кровообращения могут следующие факторы:
Проявляются заболевания в различных формах.
- нарушения циркуляции крови в головном мозге. Они могут быть общемозговые или очаговые. Но при правильном методе лечения процесс обратим и функции восстановить вполне возможно;
- закупорка артерий. В данном случае сокращается питание мозга или полностью прекращается, что влечет за собой отмирание клеток. Лечение проводят только хирургическим методом;
- разрыв сосуда. Проще говоря – инсульт, который может быть ишемическим или геморрагическим.
Симптомы сосудистого генеза
Общие признаки, сопровождающие сосудистый генез:
- аритмия. Это заметные (до девяноста ударов в минуту) нарушения пульса даже в период полного покоя;
- беспричинное эпизодическое или регулярное высокое артериальное давление (более ста сорока мм рт. ст.);
- необоснованная слабость в конечностях;
- головные боли или головокружения. Стоит отметить, что характер их напрямую зависит от вида нарушения кровообращения;
- нарушение внимания. Пациенты не могут сосредоточиться и выделить главное из большого объема информации;
- повышенная утомляемость.
Нарастающий звон в голове, пульсирующая боль и ощущение пульса появляются при изменениях краниоцеребральных артерий. Чаще всего симптомы появляются на фоне высокого давления. При последней стадии заболевания боль начинает приобретать тупой характер, нередко появляется тошнота.
При большой наполненности вен мозга человек ощущает тяжесть в затылке, что говорит об очаге нарушения именно в этой области. Головные боли в утреннее время объясняются специалистами, что в вертикальном положении отток крови происходит более эффективно. Нередко бывает и, наоборот – в таком положении циркуляция замедляется, что и приводит к болевым ощущениям и бессоннице.
Одним из основных признаков сосудистого генеза являются некоторые расстройства психики. Самое главное проявление наличия заболевания – поверхностный и кратковременный период сна. Пациент после пробуждения всегда ощущает усталость и слабость. В этом случае помочь может только физическая активность.
https://youtube.com/watch?v=yJF9XeReB9M
К различным проявлениям сосудистого генеза данного характера можно отнести:
- чувствительность к яркому свету или звуку;
- повышенную раздражительность;
- нарушения внимания и памяти;
- слезливость.
В том случае, когда болезнь прогрессирует, усиливается и астеничное состояние, а значит, появляются:
- тревожность,
- неуверенность,
- постоянное недовольство и раздражительность без каких-либо веских причин.
Лечение проводят медикаментозно.
Очаг белого вещества сосудистого генеза
По сравнению с серым веществом, белое имеет намного большее число липидов и меньшее количество воды. Ранее мы подробно писали про очаги в белом веществе лобных долей.
При заболеваниях нервной системы очаг поражения белого вещества может проявляться:
- в виде рассеянного склероза. При диагностике заболевания используют МРТ и выявляют очаг повышенной плотности, который расположен в мозжечке, мозолистом теле и может быть множественными;
- энцефаломиелит. Очаг возникновения находится в подкорковых отделах головного мозга и при наличии множественных, способны к слиянию;
- склерозирующий панэнцефалит. Очаг при этом заболевании располагается в базальных ганглиях;
- нейросаркоидоз. Часто поражает оболочку головного мозга, а так же очаг возникает в гипофизе, области хиазмы, гипоталамуса.
Мелкоочаговые поражения головного мозга
Заболевания, вызывающие появления мелких очагов сосудистого генеза являются хроническими.
- гипертония;
- кисты;
- отмирание тканей;
- внутримозговые рубцы, которые могут остаться после полученных травм головы;
- атеросклероз;
- аневризма;
- другие различные нарушения циркуляции крови головного или спинного мозга.
Диагностика сосудистого генеза
Магнитная резонансная томография является одним из самых используемых методов в выявлении нарушений циркуляции крови головного мозга. Благодаря трехмерному изображению специалист может проанализировать все протекающие процессы и увидеть нарушения или новообразования.
Метод МРТ используется в первую очередь для диагностики. Применяются так же неврологические исследования и УЗИ тканей мозга.
Сложность диагностики сосудистого генеза состоит в том, что данные заболевания не имеют острого протекания и сопровождаются размытыми симптомами.
Для того, чтобы выяснить точный диагноз врач должен как можно тщательнее собрать анализы, а также требуется продолжительное наблюдение.
Дополнительными способами исследования заболеваний сосудистого генеза являются:
- спектроскопия;
- диагностика электрической активности клеток мозга;
- дуплексный скан;
- позитронная томография;
- томография с использованием радионуклидов.
Лечение сосудистого генеза
Все процедуры по лечению заболеваний и нарушений циркуляции крови головного мозга проводятся с целью устранения повышенного артериального давления и атеросклеротических симптомов.
Для правильного функционирования мозга нужно нормальное артериальное давление, тогда и физико-химические процессы будут протекать правильно. Кроме этого, необходимо приведение в норму состояние жирового обмена.
Для восстановления функционирования мозга применяется медикаментозное лечение.
В процессе лечения сосудистого генеза применяются методы удаления бляшек для восстановления нормального кровообращения. Часть сосуда, который был поврежден, можно заменить при хирургическом вмешательстве.
Выявить заболевания сосудистого генеза бывает непросто, так как заболевание не имеет ярко выраженных симптомов и острой формы. Для диагностирования правильного диагноза применяется магнитно-резонансная томография, спектроскопия, дуплесный скан, а также длительное наблюдение пациента.
Проведение МРТ при очаговых поражения головного мозга
очаговые поражения Очаговые поражения мозга могут быть вызваны перенесенной травмой, инфекционным заболеванием, атрофией сосудов и многими другими факторами. Зачастую дегенеративные изменения сопровождаются проблемами, связанными с нарушением обычных функций жизнедеятельности и координации движения человека.
https://youtube.com/watch?v=KWuQC_ekAkk
МРТ при очаговых поражения головного мозга помогает выявить проблему на ранних стадиях, скоординировать медикаментозную терапию. При необходимости по результатам обследования могут назначить малоинвазивное оперативное вмешательство.
Признаки очаговых поражений
Все нарушения деятельности головного мозга находят отражение в естественных повседневных функциях жизнедеятельности человека. Расположение очага поражения влияет на работу внутренних органов и мышечной системы.
Изменение сосудистого генеза может привести к психическим расстройствам, стать причиной повышения артериального давления, инсульта и других неприятных последствий. С другой стороны, субкортикальные очаги могут и не иметь клинических проявлений и протекать бессимптомно.
Одним из явных признаков наличия очагового поражения является:
- Гипертония — недостаток поступления кислорода в мозг вызванное дистрофией сосудов приводит к тому, что мозг ускоряет и увеличивает кровообращение.
Признаки единичных очаговых изменений вещества мозга дисциркуляторного характера на магнитно-резонансной томографии значат, что у пациента присутствуют определенные отклонения в работе сосудистой системы. Чаще всего это связано с гипертонией. Диагноз и разъяснение результатов исследования предоставит лечащий врач.
Проведение диагностики изменений
Картина очаговых изменений вещества головного мозга дистрофического характера наблюдается, по разным данным, от 50 до 80% всех людей по мере их старения.
Ишемия, в результате которой прекращается нормальное кровоснабжение, становится причиной провоцирующей изменения в мягких тканях.
Резонансная томография помогает выявить причины нарушений и провести дифференциальный анализ заболевания.
Мелкоочаговые изменения, которые поначалу не вызывают беспокойств, могут в результате стать причиной инсульта. К тому же очаги повышенной эхогенности сосудистого генеза могут указывать на онкологическую причину нарушений.
Своевременное выявление проблемы помогает назначить максимально эффективную терапию. Очаг дисциркуляторного генеза хорошо видимый на МРТ может указывать на следующие патологии:
- В полушариях большого мозга — указывает на следующие возможные причины: перекрытия кровотока правой позвоночной артерии посредством врожденной аномалии или атеросклеротической бляшки. Состояние может сопровождаться грыжей шейного отдела позвоночника.
Если в заключении МРТ указывается диагноз: «признаки многоочагового поражения головного мозга сосудистой природы» — это повод для определенных беспокойств. От лечащего врача потребуется установить причину изменений и определить методы консервативной и восстанавливающей терапии.
С другой стороны, микроочаговые изменения встречаются практически у каждого пациента после 50 лет. Очаги видны в режиме ангиографии, в том случае если причиной возникновения являются нарушения в генезисе.
Если обнаружен очаг дистрофического характера, терапевт обязательно назначит сбор общего анамнеза пациента. При отсутствии дополнительных причин для беспокойства, будет рекомендовано регулярно отслеживать тенденции к развитию патологии. Могут быть выписаны вещества для стимуляции кровообращения.
Признаки мелкоочагового поражения головного мозга при сосудистой этиологии умеренного расширения могут стать причиной диагностирования энцефалопатии, врожденного и приобретенного характера. Некоторые медикаментозные препараты могут только усугублять проблему. Поэтому терапевт проверит связь между приемом лекарств и ишемии.
Любые патологические и дегенеративные изменения должны быть хорошо изучены и проверены. Определена причина возникновения очагового поражения и по результатам МРТ назначена профилактика или лечение обнаруженного заболевания.
Единичные очаги в белом веществе головного мозга результаты МРТ
Очаги глиоза сосудистого генеза в головном мозге приводят к нарушениям мозговой активности и атрофии тканей. Лечение глиоза головного мозга невозможно, потому как является не самостоятельной болезнью, а следствием появления разнообразных патологических процессов в организме.
https://youtube.com/watch?v=ZBgnd2Bs5e8
Очаги глиоза представляют собой своеобразный шрам, который имеет свойство расширяться в области повреждения. Обусловлено это влиянием процессов старения на нейроны, которые впоследствии заменяются на глии, что приводит к образованию в головном мозге губчатых структур.
Глиоз головного мозга и его суть заключаются в том, что в области пассивных нейронов, погибших вследствие какой-либо определенной причины, начинают разрастаться клетки нейроглии.
Они представляют собой специфический рубец в области мозга, лечение их является проблематичным.
Когда выявляют глиоз в относительно молодом возрасте, рекомендуется искать причину подобного явления, чтобы начать лечение.
Методики определения поражения мозга при глиозе
Поддерживают и обеспечивают нормальную работу нейронов, расположенные в головном мозге глиальные клетки. Как уже отмечалось, глиоз не является самостоятельным диагнозом, а скорее следствием различных нарушений и отклонений, связанных с атрофией мозга или некротическими явлениями тканей.
Единичные супратенториальные очаги глиоза головного мозга сосудистого генеза – возникают вследствие родовой травмы или естественных процессов старения.
Особенно часто, таким образом проявляются посттравматические глиозные изменения в височной доле мозга, отвечающей за ассоциативное восприятие человека.
Головокружения и приступы – если причиной возникновения глиоза являются перенесенные травмы или хирургическое вмешательство, судорожный симптом проявляется в постоперационный период.
Последствия глиоза в первую очередь связаны с локализацией катализатора, вызвавшего патологические изменения. Томография – исследования головного мозга с помощью КТ и МРТ являются общепризнанными эталонами обследования.
Магнитно-резонансная томография определяет глиоз белого вещества лобных долей головного мозга, что невозможно установить с помощью других методов исследования.
Только в таком случае возможно полное излечение от болезни. Величина глиозных очагов представляет собой конкретное значение, которое легко рассчитать при помощи клеток ЦНС и клеток глии на 1 ед. объема. Из этого следует, что количественные показатели подобных разрастаний являются величиной, которая прямо пропорциональна объему заживленных повреждений в области мягких тканей.
Подобный патологический процесс чаще всего определяется случайно при проведении обследования, потому как клинические проявления произошедших изменений в организме могут отсутствовать. Именно эти изменения и становятся причиной появления таких старческих проблем, как ухудшение координации движений, памяти и замедленности реакций.
Подобные изменения в организме и приводят к возникновению процессов старения. Данный факт научно не доказан, но был продемонстрирован в лабораторных условиях. Встречается подобная причина развития болезни не чаще чем в 25% случаев при аутосомно-рецессивном типе наследования. В первые месяцы жизни данная патология не влияет на развитие новорожденного.
Очаговые поражения головного мозга: виды, причины, симптомы, диагностика и лечение
Головной мозг (ГМ) – важнейший орган, центр нервной системы. При возникновении в нем проблем, патологий страдают все органы и системы. Болезней ГМ множество. С некоторыми из них медицина пока не может бороться, но вполне возможно оказать влияние на ход патологии. Другие же недуги вполне поддаются терапии.
По характеру первопричины патологии делят на диффузные и очаговые поражения головного мозга. Первые характеризуются однородностью. Обычно патологии развиваются постепенно, распространяясь на все живые клетки.
Подобное явление может наблюдаться при нарушении кровообращения, ЧМТ, при вирусных инфекциях.
Основное отличие диффузных от очаговых – это наличие хронической усталости, апатия, давящие боли в головном мозге по всему контуру, сонливость, нарушается работа органов чувств, а также снижается работоспособность.
https://youtube.com/watch?v=_gthzLvayao
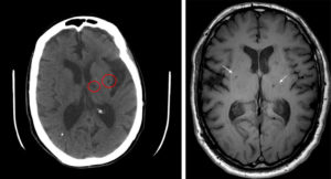
Поставить точно диагноз на основании клинической картины, жалоб пациента невозможно. Для определения вида поражения необходимо пройти диагностику. Самый информативный метод – компьютерная томография.
Клиническая картина
На очаговые поражения головного мозга могут указывать самые разные симптомы.
- Головные боли. Чаще всего они появляются внезапно, без видимых причин. Они интенсивные, напоминающие мигрень. Боль может опоясывать или же локализоваться на одной или на обеих сторонах головного мозга.
- Повышается артериальное давление. При очаговом поражении повышение АД говорит о том, что организм пытается компенсировать недостаток питания, произошедшего из-за дистрофии сосудов ГМ.
- Отмечается нарушение слуха, зрения, координации движения.
- Ухудшается память, повышается утомляемость, появляется слабость.
- Наблюдается тошнота, рвота, не приносящая облегчение.
- Обморочные состояния.
- Тремор конечностей, судороги, в некоторых случаях паралич.
- Потеря рефлексов.
- Нарушается дыхание.
- Человека беспокоят психоэмоциональные расстройства, стрессы, повышается раздражительность.
Могут наблюдаться эпилептические припадки, инсульты, которые прямо указывают на наличие очагового поражения головного мозга. Все эти симптомы могут быть ярко выраженными, а могут вообще не проявляться.
Любые клинические признаки болезни связаны с неврологией, так как в очаговых поражениях задеты нервные ткани, что служит поводом для изменений в вегетативной функции.
Причины поражения ГМ
Очаговые поражения могут вызываться самыми разными причинами.
При очаговых поражениях головного мозга дисциркуляторного характера причиной может быть нехватка поступления питательных веществ, вызванная нарушением кровообращения (при ИБ, инсульте и прочих патологиях). Нередко причиной болезни является новообразование. Оно оказывает негативное воздействие на соседние участки головного мозга, вызывая в них различные изменения, вплоть до отмирания клеток ГМ.
Что еще приводит к болезни?
Очаговые патологии могут вызываться черепно-мозговыми травмами, гематомами, отеками.
Также к развитию очагов поражения могут привести:
- Патологии позвоночника. Одной из самых частых причин является остеохондроз, при котором сдавливаются нервы, сосуды. В результате в головной мозг поступает недостаточное количество крови, нарушается питание клеток, возникают очаги поражения ГМ.
- Переломы шейного отдела. В пределах шеи находятся два крупных сосуда. При переломе они могут повреждаться (разрываться, сдавливаться). Нарушение кровотока в шейном отделе приводит к заторможенному кровоснабжению в головном мозге. В итоге клетки страдают от недостатка кислорода и питательных веществ.
- Лишний вес. Эту причину относят к вторичным. Ожирение способно приводить к нарушению работоспособности головного мозга. Особо опасно ожирение с отсутствием двигательной активности.
- Атеросклероз. При этой патологии в сосудах формируются холестериновые бляшки. Они закупоривают просвет сосудистого русла, что приводит к недостатку поступления питательных веществ.
- Эндокринные патологии.
Чтобы выявить патологические изменения, происходящие в ГМ, проводят магнитно-резонансную томографию.
Это единственный метод узнать, что именно происходит под черепной коробкой, увидеть все неблагоприятные процессы в структуре мозга, оценить возможные последствия и сделать максимально точный прогноз развития недуга.
В диагностике очаговых поражений головного мозга МРТ – «золотой» метод, способный дать наиболее точную оценку болезни. Он является не инвазивным, быстрым и высокоинформативным.
МРТ позволяет определить наличие очага поражения, а также провести сравнительный анализ полученных снимков со снимками здорового мозга. На них практически все очаги выглядят как светлые пятна различных размеров.
Помимо этого, магнитно-резонансная томография помогает точно установить количество очагов. Единичные изменения в головном мозге наблюдаются у всех пациентов в возрасте старше 50 лет. В подобных случаях необходимо следить за динамикой развития очага, а также принимать меры по ликвидации причин поражения ГМ.
Многочисленные поражения
Особого внимания заслуживают пациенты, у которых наблюдаются многочисленные поражения. Они являются признаком серьезной патологии и могут даже служить симптомом опухоли головного мозга. На ранних стадиях подобные болезни удается выявить только после МРТ.
При необходимости провести исследования кровеносных сосудов назначают МРТ с контрастом. В результате введения контрастного вещества кровь окрашивается в другой цвет, что отражается особыми оттенками на снимках МРТ. При их анализе врач видит, как течет кровь по сосудам, в каких направлениях и есть ли повреждения, тромбы, аневризмы.
Особенности очаговых поражений
Характерными чертами поражения головного мозга является наличие очагов, которые провоцируют нарушение кровотока. Причина, вызвавшая подобные нарушения, может приводить не только к единичным очагам, но и вызывать многочисленные поражения. При этом в патологические процессы вовлекаются соседние ткани, превращая их в аномальные зоны.
Типы поражений
Выделяют несколько видов очаговых недугов ГМ. Самыми опасными являются новообразования. На ранних стадиях симптомы опухоли головного мозга можно спутать с мигренью и другими болезнями.
Но при разрастании происходит ухудшение работы нейронов, нарушается передача сигнала к головному мозгу.
Если опухоль разрастается, то она начинает захватывать все новые и новые территории, начинается нарастание клинической картины.
Еще один тип очагового недуга – это киста (небольшая полость с жидким содержимым). На протяжении длительного времени полости не дают о себе знать, пока не начнут расти и увеличиваться в размерах.
Несмотря на то, что они не склонны к росту и увеличению размеров, как новообразования, их так же считают инородным телом.
Кисты могут провоцировать сдавливание сосудов, что осложняет поступление крови к головному мозгу.
Очаги поражения наблюдаются при некрозах. В результате каких-либо перенесенных инфекций или иных болезней отмирают участки клеток мозга, не получив необходимое им питание. Некроз опасен тем, что влечет за собой необратимые изменения.
Опасными очаговыми поражениями белого вещества головного мозга являются внутримозговые рубцы, кровоизлияния. Чаще всего они являются результатом травм, падений, ударов. Подобные виды очагов приводят к изменениям состава вещества.
Любые очаговые поражения головного мозга сосудистого генеза приводят к разрушению клеток ГМ и могут привести к коме.
Лечение очаговых недугов
Каждое конкретное заболевание имеет свои особенности лечения. Любое очаговое поражение коры головного мозга приводит к серьезным последствиям. Тем не менее терапия должна проводиться с учетом причины, которая привела к появлению недуга.
В комплексную схему лечения врач может включить витамины, обезболивающие препараты, седативные и другие средства. Важную роль играют успокаивающие ванны, физиотерапия, изменение образа жизни.
Что такое сосудистый генез белого вещества головного мозга: очаги, симптомы и лечение
На сегодняшний день специалистами выявляется большое количество заболеваний, связанных с поражением сосудов головного мозга.
Это довольно серьезные нарушения, которые могут повлечь за собой:
- нарушения психического состояний;
- частичную потерю памяти;
- инсульты или инфаркты.
Именно поэтому пациент должен получить незамедлительное лечение.
Очаговые изменения вещества мозга дисциркуляторного характера
Организм человека не вечен и с возрастом в нем развиваются различные патологические процессы. Наиболее опасными среди них являются очаговые изменения вещества мозга дисциркуляторного характера. Возникают они вследствие нарушения мозгового кровотока.
Такой патологический процесс проявляется целым рядом неврологических симптомов и ему свойственно прогрессирующие течение. Вернуть к жизни утраченные нервные клетки уже не получится, но можно замедлить течение болезни или вовсе предотвратить ее развитие.
Группы риска
Если признаки болезни отсутствуют, желательно узнать какие есть группы риска у этой болезни. По статистике, очаговое поражение чаще возникает при наличии таких патологий:
- Атеросклероз;
- Высокое давление;
- ВСД (вегетососудистая дистония);
- Диабет;
- Патологии сердечной мышцы;
- Постоянный стресс;
- Сидячая работа;
- Злоупотребление вредными привычками;
- Лишние килограммы.
Повреждение белого вещества головного мозга сосудистого генеза может появиться вследствие возрастных изменений. Обычно наблюдаются небольшие единичные очаги у людей после 60 лет.
Дистрофический характер повреждений
Кроме повреждений, вызванных сосудистым генезом, существуют и другие виды болезни, например, единичные очаговые изменения вещества мозга дистрофического характера. Такой тип патологии возникает из-за нехватки питания. Причины у этого явления выглядят следующим образом:
- Ослабленное кровоснабжение;
- Остеохондроз шейного отдела в острой стадии;
- Онкологические болезни;
- Травмы головы.
Повреждение вещества головного мозга дистрофического характера проявляется обычно из-за отсутствия питания мозговых тканей. У больного при этом возникают симптомы:
- Уменьшение мозговой активности;
- Деменция;
- Головные боли;
- Ослабление мышечной ткани (парез);
- Паралич определенных мышечных групп;
- Головокружение.




