Инсульт мозжечка (мозжечковый инсульт): причины, симптомы, восстановление, прогноз
Инсульт мозжечка встречается реже других форм цереброваскулярной патологии, но представляет существенную проблему ввиду недостаточной изученности и сложностей диагностики. Близость расположения ствола мозга и жизненно важных нервных центров делают эту локализацию инсультов очень опасной и требующей быстрой квалифицированной помощи.
Острые нарушения кровообращения в мозжечке составляют инфаркты (некроз) либо кровоизлияния, которые имеют схожие механизмы развития с другими формами внутримозговых инсультов, поэтому факторы риска и основные причины будут совпадать. Патология встречается у людей среднего и пожилого возраста, чаще обнаруживается среди мужчин.
На долю инфаркта мозжечка приходится около 1,5% всех внутримозговых некрозов, в то время как кровоизлияния составляют десятую часть всех гематом. Среди инсультов именно мозжечковой локализации примерно ¾ приходится на инфаркты. Смертность высока и в иных случаях превышает 30%.
Причины инсульта мозжечка и его разновидности
Мозжечок, как один из отделов головного мозга, нуждается в хорошем кровотоке, который обеспечивают позвоночные артерии и их ветви. Функции этого участка нервной системы сводятся к координации движений, обеспечению мелкой моторики, равновесия, способности к письму и правильной ориентации в пространстве.
В мозжечке возможны:
- Инфаркт (некроз);
- Кровоизлияние (образование гематомы).
Нарушение кровотока по сосудам мозжечка влечет либо их закупорка, что случается значительно чаще, либо разрыв, тогда результатом станет гематома. Особенностями последней считают не пропитывание кровью нервной ткани, а нарастание объема свертков, раздвигающих паренхиму мозжечка.
Однако, не стоит думать, что такое развитие событий менее опасно, нежели гематомы мозга, разрушающие целый участок. Нужно помнить, что даже при сохранности части нейронов, увеличение объема ткани в задней черепной ямке способно привести к смерти из-за сдавления ствола мозга.
Часто именно этот механизм и становится решающим в прогнозе и исходе заболевания.
Ишемический инсульт мозжечка, или инфаркт, возникает по причине тромбоза или эмболии сосудов, питающих орган. Эмболия наиболее распространена у больных, страдающих сердечной патологией.
Так, высок риск закупорки тромбоэмболом мозжечковых артерий при фибрилляции предсердий, недавно перенесенных или острых инфарктах миокарда.
Внутрисердечные тромбы с током артериальной крови попадают в сосуды мозга и вызывают их закупорку.
Тромбоз артерий мозжечка чаще всего связан с атеросклерозом, когда происходит разрастание жировых отложений с высокой вероятностью разрыва бляшки. При артериальной гипертензии во время криза возможны так называемые фибриноидные некрозы стенок артерий, которые тоже чреваты тромбозами.
Кровоизлияние в мозжечок, хоть и встречается реже инфаркта, но приносит больше проблем ввиду смещения тканей и сдавления окружающих структур излишком крови. Обычно гематомы происходят по вине артериальной гипертонии, когда на фоне высоких цифр давления сосуд «лопается», и кровь устремляется в паренхиму мозжечка.
Среди других причин возможны артериовенозные мальформации, аневризмы, формирующиеся еще в период внутриутробного развития и долгое время остающиеся незамеченными, так как протекают бессимптомно. Отмечаются случаи мозжечкового инсульта у более молодых пациентов, связанные с расслоением участка позвоночной артерии.
Выделены и основные факторы риска мозжечковых инсультов:
- Сахарный диабет;
- Артериальная гипертензия;
- Нарушения липидного спектра;
- Пожилой возраст и мужской пол;
- Гиподинамия, ожирение, обменные нарушения;
- Врожденная патология сосудистых стенок;
- Васкулиты;
- Патология гемостаза;
- Заболевания сердца с высоким риском тромбообразования (инфаркт, эндокардит, протезированный клапан).
Как проявляется инсульт мозжечка
Проявления инсульта мозжечка зависят о его масштаба, поэтому в клинике выделяют:
- Обширный инсульт;
- Изолированный в зоне конкретной артерии.
Изолированный инсульт мозжечка
Изолированный инсульт участка гемисферы мозжечка, когда затронуто кровоснабжение из задней нижней мозжечковой артерии, проявляется комплексом вестибулярных расстройств, самым частым их которых является головокружение. Кроме того, больные испытывают боли в затылочной области, жалуются на тошноту и нарушение походки, страдает речь.
Инфаркты в зоне передней нижней мозжечковой артерии тоже сопровождаются расстройствами координации и походки, мелкой моторики, речи, но среди симптомов появляются нарушения слуха. При поражении правого полушария мозжечка слух нарушается справа, при левосторонней локализации – слева.
Если поражена верхняя мозжечковая артерия, то среди симптомов будут преобладать расстройства координации, пациенту сложно удерживать равновесие и выполнять точные целенаправленные движения, изменяется походка, беспокоит головокружение и тошнота, возникают сложности в произношении звуков и слов.
При крупных размерах очага повреждения нервной ткани яркая симптоматика расстройств координации и моторики сразу же наталкивает врача на мысль об инсульте мозжечка, но случается, что больного беспокоит лишь головокружение, и тогда в диагнозе фигурирует лабиринтит или другие заболевания вестибулярного аппарата внутреннего уха, а значит, правильное лечение не будет начато вовремя. При совсем небольших очажках некроза клиники может не быть вовсе, так как функции органа быстро восстанавливаются, но примерно четверти случаев обширных инфарктов предшествуют транзиторные изменения или «малые» инсульты.
Обширный инсульт мозжечка
Обширный инсульт с поражением правого или левого полушария считается чрезвычайно серьезной патологией с высоким риском летального исхода.
Он наблюдается в зоне кровоснабжения верхней мозжечковой артерии или задней нижней при закрытии просвета позвоночной артерии.
Поскольку мозжечок снабжен хорошей сетью коллатералей, и все три основные его артерии связаны между собой, то изолированно мозжечковая симптоматика практически никогда не возникает, и к ней добавляются стволовые и общемозговые симптомы.
Обширный инсульт мозжечка сопровождается острым началом с общемозговой симптоматикой (головная боль, тошнота, рвота), расстройствами координации и моторики, речи, равновесия, в ряде случаев возникают нарушения дыхания и сердечной деятельности, глотания вследствие поражения ствола мозга.
При повреждении трети и более объема полушарий мозжечка течение инсульта может стать злокачественным, что обусловлено сильным отеком зоны некроза.
Увеличенный объем ткани в задней черепной ямке приводит к сдавливанию путей циркуляции ликвора, наступает острая гидроцефалия, а затем – сдавление ствола мозга и гибель больного.
Вероятность смерти достигает 80% при консервативной терапии, поэтому такая форма инсульта требует экстренной нейрохирургической операции, но и в этом случае треть пациентов погибает.
Нередко случается, что после кратковременного улучшения состояние пациента вновь становится тяжелым, нарастает очаговая и общемозговая симптоматика, повышается температура тела, возможна кома, что связано с увеличением очага некроза ткани мозжечка и вовлечением структур ствола мозга. Прогноз при этом неблагоприятный даже при условии хирургической помощи.
Лечение и последствия инсульта мозжечка
Лечение инсульта мозжечка предполагает проведение общих мероприятий и целенаправленной терапии в отношении ишемического или геморрагического типа повреждения.
Общие мероприятия включают:
- Поддержание дыхания и при необходимости – искусственная вентиляция легких;
- Гипотензивная терапия с помощью бета-блокаторов (лабеталол, пропранолол), ингибиторов АПФ (каптоприл, эналаприл) показана гипертоникам, рекомендуемая цифра АД – 180/100 мм рт. ст., так как снижение давления может вызвать дефицит кровотока в головном мозге;
- Гипотоникам нужна инфузионная терапия (раствор натрия хлорида, альбумина и др.), возможно введение вазопрессорных препаратов – допамин, мезатон, норадреналин;
- При лихорадке показан парацетамол, диклофенак, магнезия;
- Для борьбы с отеком мозга необходимы диуретики – маннитол, фуросемид, глицерол;
- Противосудорожная терапия включает реланиум, оксибутират натрия, при неэффективности которых анестезиолог вынужден ввести пациента в наркоз при помощи закиси азота, иногда требуется введение миорелаксантов при сильном и продолжительном судорожном синдроме;
- Психомоторное возбуждение требует назначения реланиума, фентанила, дроперидола (особенно, если пациента необходимо транспортировать).
Одновременно с медикаментозной терапией налаживается питание, которое в случае тяжелых инсультов целесообразнее проводить через зонд, позволяющий не только обеспечить больного необходимыми питательными веществами, но и избежать попадания пищи в дыхательные пути. При риске инфекционных осложнений показаны антибиотики. Персонал клиники следит за состояние кожи и предупреждает появление пролежней.
Специфическая терапия ишемических инсультов направлена на восстановление кровотока с помощью антикоагулянтов, тромболитиков и посредством хирургического удаления тромбов из артерии.
Для тромболизиса применяют урокиназу, альтеплазу, среди антиагрегантов наиболее популярна ацетилсалициловая кислота (тромбоАСС, кардиомагнил), используемые антикоагулянты – фраксипарин, гепарин, сулодексид.
https://youtube.com/watch?v=4Kb_hu7DEXo
Антиагрегантная и антикоагулянтная терапия способствуют не только восстановлению кровотока по пораженному сосуду, но и профилактике последующих инсультов, поэтому некоторые препараты назначаются на длительный срок. Тромболитическая терапия показана в самые ранние сроки от момента окклюзии сосуда, тогда эффект ее будет максимален.
При кровоизлияниях перечисленные выше препараты вводить нельзя, так как они только усилят кровотечение, а специфическая терапия подразумевает поддержание приемлемых цифр артериального давления и назначение нейропротекторной терапии.
Сложно представить себе лечение инсульта без нейропротекторного и сосудистого компонентов. Пациентам назначаются ноотропил, кавинтон, циннаризин, эуфиллин, церебролизин, глицин, эмоксипин и многие другие препараты, показаны витамины группы В.
Вопросы хирургического лечения и его эффективности продолжают обсуждаться. Несомненной является необходимость декомпрессии при угрозе дислокационного синдрома со сдавлением ствола мозга.
При обширных некрозах проводят трепанацию и удаление некротических масс из задней черепной ямки, при гематомах – извлекают сгустки крови как при открытых операциях, так и посредством эндоскопической техники, возможно также дренирование желудочков при скоплении в них крови.
Для удаления тромбов из сосудов проводят внутриартериальные вмешательства, а для обеспечения кровотока в дальнейшем – стентирование.
Восстановление после инсульта мозжечка должно быть начато как можно раньше, то есть тогда, когда состояние пациента стабилизируется, угрозы отека мозга и повторных некрозов уже не будет.
Оно включает медикаментозное лечение, физиотерапевтические процедуры, массаж, выполнение специальных упражнений.
Во многих случаях больные нуждаются в помощи психолога или психотерапевта, важна поддержка семьи и близких.
Восстановительный период требует усердия, терпения и усилий, ведь он может растянуться на месяцы и годы, но некоторым пациентам удается вернуть утраченные способности даже спустя несколько лет. Для тренировки мелкой моторики могут быть полезны упражнения по завязыванию шнурка, нитки в узел, вращения небольших шариков пальцами, вязание крючком или спицами.
Последствия мозжечковых инсультов очень серьезны. На первой неделе после инсульта высока вероятность отека мозга и дислокации его отделов, что чаще всего становится причиной ранней гибели и определяет плохой прогноз. В первый месяц среди осложнений фигурируют тромбоэмболия сосудов легких, пневмонии, сердечная патология.
Если удается избежать самых опасных последствий в острую фазу инсульта, то далее большинство пациентов сталкиваются с такими проблемами, как стойкое нарушение координации, парезы, параличи, нарушения речи, которые могут сохраняться годами. В редких случаях речь все же восстанавливается в течение нескольких лет, но двигательная функция, которую не удалось вернуть в первый год заболевания, скорее всего, уже не восстановится.
Реабилитация после мозжечковых инсультов включает не только прием медикаментов, улучшающих трофику нервной ткани и процессы репарации, но и ЛФК, массаж, занятия по тренировке речи.
Хорошо, если есть возможность в постоянном участии грамотных специалистов, а еще лучше, если реабилитация будет проводиться в специальном центре или санатории, где работает опытный персонал и есть соответствующее оборудование.
Все об инсульте мозжечка головного мозга и его последствиях
В вопросах сосудистых патологий головного мозга инсульты мозжечка относятся к наименее изученным.
Многообразие симптомов, их сходство с проявлениями инсультов полушарий и заболеваний периферического вестибулярного аппарата усложняют своевременную диагностику.
Помимо этого, благодаря общему кровоснабжению ствола головного мозга и мозжечка, инсульт мозжечка в изолированном виде встречается довольно редко.
Что это такое?
Инсульт (устар. апоплексия) мозжечка — опасное заболевание, характеризующееся внезапностью и высокой вероятностью осложнений. Патология возникает относительно редко, всего около 2% от всех инфарктов головного мозга, но может повлечь тяжелые последствия.
Мозжечок — отдел головного мозга, выполняющий следующие функции:
- координация движений;
- нормализация и распределение тонуса мышц;
- регуляция некоторых вегетативных функций (уровень кровяного давления, состав крови, секреция ЖКТ);
- прием зрительных и слуховых сигналов из среднего мозга, и участие в их передаче соответствующим зонам коры головного мозга.
Причины
Факторы, которые приводят к возникновению заболевания:
- нарушение притока крови к клеткам мозжечка, в результате чего появляется некроз тканей;
- разрыв сосуда, приводящий к кровоизлиянию в этот отдел мозга.
Первый случай определяют, как ишемический инсульт мозжечка, второй — геморрагический.
Уровень смертности в результате геморрагического инсульта высок — порядка 30% случаев заканчиваются летальным исходом. Но для выживших есть большая вероятность рецидива заболевания в течение первого года.
Причины ишемического инсульта мозжечка:
- Атеросклероз. Он может спровоцировать появление тромба в мозжечковой артерии.
- Блуждающий тромб. Сформировавшись в любой другой части кровеносной системы, он может попасть в сосуд мозжечка с током крови, закупорив доступ кислорода.
- Высокий уровень глюкозы и холестерина в крови.
- Курение и избыточное употребление алкоголя.
- Лишняя масса тела.
- Постоянный стресс, нервные срывы.
- Аритмия, например — фибрилляция предсердий.
Ряд заболеваний, который может привести к геморрагическому инсульту мозжечка:
- артериальная гипертензия;
- сбой в работе сердечно-сосудистой системы;
- сахарный диабет;
- прием препаратов, «разжижающих» кровь;
- гиперлипидемия — повышенный уровень липидов в крови;
- скачок артериального давления;
- новообразования.
Симптомы
Клиническая картина поражения мозжечка при ишемии:
- головная боль в области шеи и затылка;
- головокружение;
- тошнота;
- нарушение равновесия — больному трудно занять устойчивую позу, его качает в при ходьбе;
- нарушения речи;
- нистагм — непроизвольные колебания глазных яблок, совершающиеся с большой частотой;
- потеря слуха на стороне очага ишемии.
Симптоматика геморрагического инсульта мозжечка имеет несколько отличительных признаков от ишемического:
- острая головная боль — при ишемии она, как правило, тупая или может вообще отсутствовать;
- рвота;
- потеря сознания;
- тремор;
- нарушения слуха и зрения, иногда до полной потери восприятия;
- вегетативные симптомы (ощущение жара, тахикардия, повышенное потоотделение).
Геморрагический инсульт мозжечка развивается очень быстро, в то время, как ишемический проявляет себя постепенно, в течение часов и даже дней. Это дает возможность распознать болезнь и своевременно обратиться за медицинской помощью.
К чему может привести?
Последствия и прогноз ишемического и геморрагического инсультов, их уровень негативности для организма и жизни в целом, зависят от нескольких факторов:
- локализация инсульта — какая именно часть мозжечка была поражена;
- степень тяжести заболевания — легкая форма, средняя или тяжелая;
- время, в течение которого была оказана медицинская помощь;
- общее состояние организма больного — возраст, сопутствующие заболевания, индивидуальная способность к восстановлению.
Последствия разделяют на три группы:
- нарушения моторики — параличи, парезы;
- речевые нарушения;
- эмоционально-волевые и когнитивные расстройства — нарушения памяти, интеллектуальной деятельности, внимания.
Диагностика мозжечкового поражения
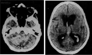
Составить полную клиническую картину заболевания можно только в стационаре. Доктор собирает анамнез, назначает МРТ или КТ головного мозга для выявления очагов поражения. Пациент сдает анализы и проходит ЭКГ. Диагностика позволяет установить тип инсульта и подобрать оптимальные методы лечения.
Лечение
Тактика и срок терапии зависят от вида заболевания. Общими методами лечения являются:
- обеспечение доступа кислорода к мозговым тканям;
- нормализация артериального давления;
- снятие судорожного синдрома;
- поддержание нормальной температуры тела и водно-солевого баланса.
Для медикаментозной терапии при ишемическом поражении мозжечка применяют:
- Нейропротекторы. Способствуют понижению восприимчивости нейронов к кислородному голоданию.
- Тромболитики. Они растворяют тромбы в сосудах, освобождая пораженные участки нервной ткани.
- Диуретики. Помогают снять отек головного мозга.
При геморрагическом инсульте исключают прием антикоагулянтов — веществ, разжижающих кровь. Вместо них назначают глюкокортикостероиды, противоотечные препараты и лекарства, повышающие свертываемость крови.
Параллельно с медикаментозным лечением выносится решение о необходимости оперативного вмешательства. Его основные задачи:
- Удаление гематомы или тромба.
- Снабжение пораженных участков кислородом путем перераспределения кровотока.
- В случае неэффективности медикаментозного лечения — остановка кровотечения.
Лечение должно проводиться только в специально оборудованном стационаре. Не пытайтесь доставить туда больного своими силами. Это может повлечь за собой потерю драгоценного времени. Нужно вызвать неотложную помощь для того, чтобы передать пострадавшего квалифицированным специалистам.
Реабилитация
Во время восстановительного периода применяется комплекс мероприятий: физиотерапия, медикаментозное лечение, массаж, занятия с психологами и логопедами.
https://youtube.com/watch?v=E1fivjBA0uw
В зависимости от клинической картины и каждого отдельного случая, восстановительные курсы подбираются индивидуально.
Их основными целями являются:
- восстановление двигательных функций и моторики;
- возобновление бытовых навыков;
- восстановление речи;
- восстановление памяти.
Реабилитационный период зависит от степени тяжести заболевания. В среднем требуется от полугода и больше, чтобы пациент почувствовал значительные улучшения.
После инсульта, для минимизации возможности рецидива, необходимо придерживаться следующий рекомендаций:
- следить за уровнем холестерина в крови;
- периодически проходить МРТ;
- контролировать уровень артериального давления;
- избегать стрессовых ситуаций;
- не поддаваться вредным привычкам: курению, употреблению алкоголя;
- по-возможности заниматься спортом, вести здоровый образ жизни.
Прогноз
Инсульт мозжечка — крайне сложное заболевание. Статистика демонстрирует неутешительные цифры: только около 20% больных возвращаются к самостоятельному обслуживанию в течение полугода. Остальным необходима помощь окружающих и близких людей.
Врачи осторожно говорят о прогнозах — ведь никто не может гарантировать отсутствие рецидива. Но нужно помнить, что оптимистичный настрой и упорство пациента имеют очень большое значение. Часто именно они помогают вернуть утраченное здоровье и опровергнуть самые мрачные прогнозы врачей.
При появлении малейших признаков заболевания у себя или у близких, необходимо сразу обращаться к специалистам. Профилактика, своевременная диагностика и лечение дадут шанс предотвратить инсульт мозжечка. Можно избежать катастрофы с помощью простой заботы и внимания к себе.
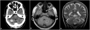
Венозная ангиома правой гемисферы мозжечка головного мозга: что такое, симптомы, причины возникновения, лечение
Ангиома головного мозга — доброкачественное новообразование, состоящее из сплетения мелких кровеносных сосудов или лимфатических пространств. Чаще всего ее появлению предшествуют различные черепно-мозговые травмы или патологии в развитии сосудов кровеносной системы этого органа.
В организме человека ангиома может проявлять как единичный, так и множественный характер, быть различных размеров и форм, а также располагаться на поверхности кожи или непосредственно внутри любого органа.
Стоит заметить, что наибольшую опасность для жизни человека представляют ангиомы, расположенные в головном мозге, так как их наличие повышает риск формирования тромбов и дает предпосылки появления мозгового кровотечения вследствие разрыва стенки пораженного сосуда.
Что такое
Одной из патологий сосудистой системы головного мозга является венозная ангиома правой гемисферы мозжечка. Анатомически она представляет собой небольшой клубок, состоящий из большого количества мелких венозных сосудов — венул.
Ввиду того, что это новообразование находится «координационном центре» ЦНС, то его негативное влияние способно в большей мере негативно сказаться на двигательных способностях человека, а также регуляции жизненно-важных процессов вегетативной системой.
Как известно, головной мозг человека потребляет большое количество кислорода и питательных веществ, поступающих к нему посредством разветвленной сети артерий.
Достигая определенной точки, они разветвляются на более мелкие структуры – артериолы, которые также делятся на мелкие капилляры.
В них кровоток замедляется, кровь отдает питательные вещества и насыщается углекислым газом и продуктами распада, образующимися в результате межклеточного обмена веществ.
https://youtube.com/watch?v=xCZcGINHahg
Через сеть капилляров темная венозная кровь далее поступает в венулы и вены, которые направляют ее к сердцу и легким. Таким образом происходит газовый обмен между организмом человека и окружающей средой.
Подобная организация этого процесса позволяет максимально эффективно доставлять питательные вещества к структурам мозга, но если происходит сбой, и по какой-то причине кровоток нарушается, то на стыке капилляров и венул может сформироваться патология венозной стенки или, другими словами — сосудистая ангиома.
Из-за нее артериальная кровь напрямую начинает поступать в вену, минуя сеть капилляров, что провоцирует недостаточное кровоснабжение участка головного мозга питательными веществами.
Кроме этого, внутри пораженного сосуда возникает повышенное давление, что, в свою очередь, провоцирует еще большее расширение его стенок. Это может привести к увеличению новообразования и усиления его влияния на окружающие ткани.
Чаще всего венозная ангиома мозжечка является врожденной патологией — сбоем в формировании кровеносной системы на 5-13 неделе внутриутробного развития человека. В таком случае источником ее развития становятся избыточные сосудистые зачатки, которые под давлением крови в эмбриональный период или сразу после рождения начинают расти и увеличиваться в размере.
Во взрослом состоянии формированию патологии способствуют тяжелые черепно-мозговые травмы, ушибы мозга и другие повреждения мозгового веществ и питающих его структур, из-за которых может развиться временная непроходимость вен.
Несмотря на то что венозная ангиома является доброкачественным новообразованием, при отсутствии лечения, разрастаясь, она способна сдавливать близлежащие нервные центры мозжечка и самого головного мозга, что негативно скажется на самочувствии пациента.
Причины
Специалисты выделяют 2 вида венозных ангиом: врожденные и приобретенные.
Первый тип встречается намного чаще второго — его диагностируют в 95% всех клинических случаев.
При этом основной причиной формирования врожденных ангиом мозжечка считаются генетические отклонения, вследствие которых нарушается нормальное формирование кровеносной системы плода, а также инфекционные заболевания матери, ее недостаточное питание, тяжелое течение беременности и недостаток микроэлементов в этот период.
Некоторые специалисты также склоняются к мнению, что спровоцировать появление аномалии может плохая экологическая обстановка и негативное влияние окружающей среды на организм женщины в долгосрочной перспективе.
Приобретенные венозные ангиомы мозжечка встречаются крайне редко. Обычно их диагностируют после того, как пациента начинают беспокоить сопутствующие признаки нарушения мозгового кровоснабжения и отклонения в двигательной функции организма. По этой причине определение истинной причины формирования венозной ангиомы затрудняется.
Однако основными факторами ее развития считаются травмы затылочной и противоположной части головы, а также различные инфекционные заболевания в детском возрасте.
Также доказано, что развитию патологии больше подвержены дети первого года жизни, чем взрослые, по причине недостаточного функционирования кровеносной системы, а также достаточно низкого иммунитета к различным воспалительным заболеваниям.
Диагностика
В настоящий момент оснащение лечебных заведений позволяет без труда и в кратчайшие сроки диагностировать венозную ангиому еще на ранней стадии развития и начиная с малых размеров.
Наиболее достоверными считаются результаты исследования, сделанные при помощи ангиографии — рентгеновского метода исследования проходимость сосудов головного мозга с применением контрастного вещества.
На полученном таким образом снимке будет четко видно место локализации опухоли, размер, что позволит переделить характер новообразования и его влияние на окружающие ткани.
Также к не инвазивным методам исследования структур мозгового вещества и его кровеносных сосудов относится КТ и МРТ головного мозга с введением контрастного вещества.
https://youtube.com/watch?v=4zwKVXZ2oQ4
Эти методы позволяет получить достаточное количество послойных снимков головы в нескольких проекциях, что позволяет выявлять малейшие признаки патологии.
Если есть необходимость, и лечащий врач подозревает у пациента разрыв ангиомы, то в таком случае пациенту может быть назначена пункция спинномозговой жидкости для определения характера мозгового кровотечения.
Лечение
Тактика лечения зависит от месторасположения венозного новообразования, его величины и того какое влияние на организм оно оказывает.
Если ангиома единичная, небольшая и не мешает нормальной жизнедеятельности человека, то в таком случае больному предписывается прохождение обследования структур мозга выбранным способом несколько раз в год, с целью исключения рецидива роста новообразования.
Если же новообразование имеет агрессивный характер: быстро увеличивается, давит на нервные центры или есть угроза его разрыва, то в таком случае целесообразно применить хирургическое удаление новообразования. Его проводят несколькими способами:
- открытое хирургическое вмешательство;
- радиохирургия;
- склеротерапия.
Последний метод избавления от венозной ангиомы правой части мозжечка направлен на удаление пораженной части сосуда из общего кровотока. Это достигается благодаря аккуратному введению через специальный катетер в полость новообразования специального вещества-склерозанта, которое вытесняет кровь из полости ангиомы и запаивает ее.
Исключенная таким образом ангиома со временем уменьшается и заменяется соединительной тканью, что снижает ее влияние на близлежащие структуры.
Может ли перерасти в рак
Ввиду того что венозная ангиома мозжечка является доброкачественным новообразованием, риск перехода ее в агрессивное состояние сводится к нулю. Однако не все так просто: ее рост может спровоцировать развитие различных осложнений и даже привести к смерти заболевшего.
Возможные осложнения
Вследствие роста венозной ангиомы правой гемисферы мозжечка может произойти разрыв стенки поврежденного сосуда, что спровоцирует открытие внутричерепного кровоизлияния со всеми вытекающими последствиями: параличом на правую сторону, нарушению мимики со стороны повреждения и другие нарушения двигательной функции организма.
Поэтому если у пациента была обнаружена подобная сосудистая патология, то ему следует как можно внимательнее относиться к своему здоровью. А именно требуется исключить стресс из жизни, не допускать повышения артериального давления, уменьшить физическую нагрузку на организм и не совершать резких поворотов и наклонов головой.
Профилактика
Ввиду того что венозная ангиома мозжечка в большинстве случаев является врожденной сосудистой патологией головного мозга, то специальных предупреждающих ее появление мер не существует.
Если новообразование все же было диагностирование, то пациенту рекомендуется выполнять некоторые правила и мероприятия направленные на снижение риска увеличения образования:
- регуляция артериального давления;
- прекращение злоупотребления спиртосодержащих напитков, отказя от курения;
- если в зоне риска находится женщина, то в таком случае подбор некоторых лекарственных средств, в том числе оральных контрацептивов, должен быть согласован с лечащим врачом-гинекологом;
- избежание стрессовых ситуаций и большого физического напряжения;
- обеспечение заболевшего полноценным отдыхом.
Чтобы избежать и минимизировать негативные последствия мозгового кровотечения, всем людям, находящимся в зоне риска, необходимо знать первые признаки развития такого острого состояния, так как от скорости диагностирования и времени начатого лечения зависит успешность проведенной терапии.
- внезапная непрекращающаяся головная боль;
- онемение конечностей;
- помутнение рассудка;
- потеря сознания;
- высокое артериальное давление;
- рвота.
Если перечисленные симптомы присутствуют, то пациенту требуется немедленная квалифицированная медицинская помощь. При этом его перемещение в медицинское учреждение должны осуществить специалисты скорой помощи, так как неаккуратная транспортировка в медицинское учреждение при отсутствии необходимого оборудования может привести к непоправимым последствиям.
Гипоплазия мозжечка: что такое, симптоматика, как лечится
Мозжечок – отдел головного мозга, регулирующий позу человека, отвечающий за координацию и тонус мышечного аппарата. Выполняет контроль скорых, осознанных движений.
Сверху него расположены мост и продолговатый мозг. Мозжечок образует крышу четвёртого желудочка. Структурно мозжечок представлен двумя полушариями (новой частью).
Гипоплазия мозжечка вносит корректировки в строение и функционирование всего организма.
У человека, вследствие развития навыков прямохождения и способности к целенаправленной трудовой деятельности, хорошо развиты оба полушария. В середине находится червь мозжечка (филогенетически более древняя часть). Он обеспечивает стабилизацию положения тела, помогает поддерживать его в равновесии, дарит устойчивость.
https://youtube.com/watch?v=iylVR2UqQaY
Выполняет регуляцию тонуса большинства мышечных групп верхней конечности и туловища, осуществляет их совместную работу (синергизм). Мозжечок представлен серым и белым веществами. Первое из них ветвится, проникая между вторым, и образует своеобразные линии, на разрезе напоминающие силуэт дерева – древо жизни мозжечка.
Рассматриваемый отдел мозга имеет несколько пар ножек (три), каждая из которых соединяет его с определённым элементом мозга. Нижняя ножка соединяет мозжечок с продолговатым мозгом, средняя – с мостом, верхняя – со средним мозгом. По ним проходят сигналы, несущие информацию, как от мозжечка, так и к нему.
Для успешного выполнения своих функций мозжечок постоянно получает информацию, приходящую от проприорцепеторов, расположенных по всему телу, а также от других образований мозга, выполняющих аналогичную функцию.
Поэтому при его поражениях возникают расстройства, связанные с нарушением статики (то есть с возможностью поддержания устойчивого положения центра тяжести тела человека).
Возникают нарушения координации движений, мышечная гипотония, нистагм.
Что такое гипоплазия мозжечка
Гипоплазия мозжечка (иначе – микроцефалия), представляет собой уменьшение объёма всего рассматриваемого образования мозга или одного из его отделов, ведущее к необратимым последствиям для организма в целом, то есть нарушающее его нормальное развитие.
Данная патология формируется во время внутриутробного развития ребёнка. Причинами этого процесса в половине случаев является генетическая предрасположенность, обусловленная комбинативной изменчивостью.
Другая половина случаев развития патологии мозжечка обуславливается тератогенными факторами, влияющими на мать в процессе беременности. Так к ним относятся алкоголь, наркотики, радиация, инфекционные заболевания. Особенно сильно на здоровье плода эти факторы влияют в первый триместр его развития, когда происходит закладка основных систем организма (нервной системы).
Гипоплазия червя мозжечка всегда затрагивает его промежуточную часть – червь, вызывая его агенезию (отсутствие развития). В зависимости от тяжести заболевания этот процесс может быть повсеместным или частичным. Поражаются оба полушария мозжечка, либо только одно из двух. Главный метод диагностики – проведение ультразвукового исследования.
Причины гипоплазии мозжечка
Тератогенные факторы, которые, воздействуя на мать, могут привести к гипоплазии мозжечка у плода:
Главную опасность для ребёнка несёт этанол, который попадает в организм матери при употреблении ею алкогольных напитков. Это химическое вещество без проблем проникает через плацентарный барьер и накапливается у плода в центральной нервной системе.
Разлагаясь, этанол распадается на ацетальдегид, канцерогенность которого научно доказана. Он с лёгкостью проникает через гематоэнцефалический барьер и оказывает пагубное воздействие на все структуры ЦНС малыша.
Если мать курит, то токсичные вещества, выделяемые при горении сигареты, помимо воздействия на неё саму, причиняют серьёзный вред здоровью её ребёнка.
Смола, никотин, токсичные газы (цианистый водород, азот, окись углерода) влияют на закладку нервной трубки, из которой формируется вся ЦНС (головной и спинной мозг).
Поэтому гипоплазия червя мозжечка может оказаться далеко не единственной аномалией, возникшей под влиянием токсичных веществ сигарет.
Сложно переоценить вред наркомании, оказываемый как матери, так и ребёнку.
Поэтому с уверенностью можно говорить о том, что употребление токсических веществ в чистом виде, либо в составе лекарственных препаратов, приводит к нарушениям развития ЦНС малыша.
Употребление лекарств, в составе которых есть наркотические вещества, допускается только в том случае, если предполагаемая польза для матери во много раз превышает возможный вред плоду.
Радиоактивные изотопы, концентрируясь в плаценте и околоплодной жидкости, разрушают иммунитет ребёнка, репродуктивную функцию плода и нарушают работу желез гормональной секреции. На ребёнка оказывают влияние изотопы, действующие на организм матери не только в период беременности, но и до неё, так как они накапливаются в тканях.
https://youtube.com/watch?v=s2JdXWKXB0Y
Классический пример инфекции, оказывающей фатальное влияние на ребёнка, это краснуха. В первый триместр беременности вирус краснухи может вызвать острую гипоплазию мозжечка, затрагивающую обе его дольки. К инфекциям, затрагивающим плод, также относятся грипп, ОРВИ.
Крайне опасен токсоплазмоз. Это паразит (токсоплазма), передающийся при бытовом контакте кошки и человека. У взрослого клинические проявления отсутствуют, носительство бессимптомное.
Ребёнку же может быть нанесён серьезный вред вследствие того, что Toxoplasma Gondi способна проникать через траснплацентарный барьер.
Так же к факторам, которые приводят к патологиям развития нервной системы ребёнка относится недостаточное питание матери (гипо- и авитоминозы, дефицит различных макро- и микронутриентов).
Симптомы гипоплазии мозжечка
Клиническая картина зависит от тяжести поражения. Наиболее общие симптомы гипоплазии мозжечка:
- трудности в выполнении целенаправленных движений;
- рассогласованность движений;
- нарушения моторики;
- тремор конечностей;
- тремор головы;
- нистагм — движения глазных яблок, происходящие непроизвольно;
- мышечная слабость;
- задержка умственного развития;
- дефекты речи (скандированная речь – ударения в словах по ритму, а не по смыслу);
- другие речевые дефекты, не соответствующие возрасту ребёнка;
- нарушения зрения и слуха;
- нарушение работы сердца и некоторых других систем организма;
- сложности с адаптацией в коллективе.
Единичные симптомы начинают проявляться, как правило, в раннем возрасте и достигают максимума к 10-летнему возрасту. По его достижении болезнь прогрессирует медленно, не влияя на жизненно важные органы (не беря в расчёт случаи, когда ребёнок был рождён с патологиями систем дыхания или кровообращения).
В случаях, если гипоплазия мозжечка имеет легкую форму, многие симптомы никак не проявляют себя, и у ребёнка наблюдаются лишь небольшие расстройства координации движений или мелкой моторики.
Но, к сожалению, в ряде случаев картина заболевания неблагоприятна. Гипоплазия червя мозжечка в таком случае обширная, затрагивающая важные участки.
Стоит знать, что современная медицина обладает средствами, направленными на облегчение жизни ребёнка с таким диагнозом, но лечения, направленного на полное избавление от его проявлений нет.
Одну из ведущих ролей в реабилитации малыша играет родительская забота и любовь.
Диагностика гипоплазии мозжечка
Диагностика патологии, как и ряда других заболеваний, состоит из двух основополагающих этапов. На первом врач предполагает диагноз гипоплазии мозжечка на основании сбора и анализа жалоб маленького пациента, расспроса его жизненного анамнеза и анамнеза заболевания.
После этого специалистом назначаются дополнительные исследования. Начинается второй этап, инструментальной диагностики, на котором может быть поставлен объективно подтверждённый диагноз.
Как правило, основным инструментальным методом в случае гипоплазии является ультразвуковая диагностика.
Также неоценимую помощь в дифференциации заболевания предоставляют возможности компьютерной томографии и магнито-резонансной томографии.
Лечение гипоплазии мозжечка
К сожалению, на данный момент терапии, гарантирующей полное излечение ребёнка – нет. Лечение направлено на поддержание уровня здоровья и сдерживания прогрессирования заболевания. К таким методам относятся:
- занятия с психологом и логопедом;
- физиотерапия;
- массажи;
- приём витаминов;
- трудотерапия;
- лечебная физкультура, направленная на развитие навыков координации.
Особое внимание необходимо уделить технике массажа. Гипоплазия червя мозжечка не позволяёт ребёнку осуществлять контроль над тонусом мышц. Поэтому целесообразно применение лечебного массажа, который может это компенсировать. Выполнять его могут как специалисты, так и, после специального обучения, родители.
https://youtube.com/watch?v=ftuHUMVpmU0
Для улучшения координации так же применяются упражнения на развитие балансировки.
Улучшить мелкую моторику помогают занятия рукоделием (собирание конструкторов, лепка из глины или пластилина, оригами).
Занятия с логопедом лучше всего начинать с раннего возраста и не прекращать вплоть до пубертатного возраста. При таком раскладе можно полностью избежать дефектов речи.
Решение логических задач, соответствующих возрасту ребёнка, поможет развитию навыков мышления.
Ну и конечно, ещё раз стоит повторить о важности родительской любви и опеки. Будет потрачено много душевных и физических сил, но они обязательно окупятся радостью от успехов и достижений малыша.
Профилактика гипоплазии мозжечка
Лучшая профилактика любых патологий развития у ребёнка – это здоровый образ жизни матери не только в период вынашивания плода и планирования беременности, но и на протяжении всей её жизни.
Употребляйте лекарственные средства только после консультации с врачом. Избегайте стрессовых воздействий, следите за качеством питания, прислушивайтесь к своему организму и периодически посещайте специалиста. Соблюдение этих несложных рекомендаций сведёт к минимуму возможные риски и осложнения.



