Артроз — это прогрессирующее заболевание суставов, при котором происходит медленное разрушение его хряща. Если не лечить его, то подвижность в суставе в конечном итоге резко ухудшается и человек становится инвалидом. В статье рассматривается информация о том, что такое артроз, его симптомы и лечение, характерные признаки и причины появления.
Что необходимо знать об этом заболевании
Дистрофическое разрушение сустава и хряща — это наиболее распространенное суставное заболевание на всей планете. Статистические данные поражают: четыре из пять людей на всем земном шаре страдают в той или иной мере от поражения суставной ткани и всех последствий такого патологического процесса.
Заболевание одинаково часто встречается у мужчин и у женщин. Длительное время считалось, что артроз — это болезнь суставов у пожилых людей. Но в последнее время суставы стали поражаться у лиц до 30-летнего возраста.
Такой артроз является очень опасным, потому что может быстро приводить к развитию у человека обездвиженности. К сожалению, ежегодно число заболевших дегенеративными изменениями суставов увеличивается.
В чем отличие артроза от артрита? При артрите происходит воспаление внутрисуставной ткани. А вот при артрозе человек страдает от прогрессирующего деформирующего поражения опорно-двигательного аппарата.
Врачи отмечают, что артроз является распространенным заболеванием суставов, которое в первую очередь связано с возрастными изменениями, травмами и избыточными нагрузками на суставы. Основные симптомы включают боль, скованность и ограничение подвижности, что значительно ухудшает качество жизни пациентов. Важно отметить, что на ранних стадиях артроз может проявляться лишь легким дискомфортом, что затрудняет его своевременную диагностику.
Лечение артроза комплексное и включает как медикаментозную терапию, так и физическую реабилитацию. Врачи рекомендуют использовать противовоспалительные препараты для снятия боли и отека, а также хондропротекторы для восстановления хрящевой ткани. Физиотерапия и лечебная физкультура играют важную роль в улучшении подвижности суставов и укреплении мышечного корсета. В некоторых случаях может потребоваться хирургическое вмешательство, особенно при выраженных деформациях суставов. Врачи подчеркивают важность раннего обращения за медицинской помощью для предотвращения прогрессирования заболевания.

Почему оно возникает
Главнейшая причина возникновения артроза — это нарушение метаболизма в суставе. Из-за этого хрящи постепенно теряют эластичность. Причинами этого заболевания суставов являются:
- выраженные нарушения процесса обмена веществ;
- дисбаланс гормонов;
- понижение объема крови, питающего сустав;
- артрит ревматоидного типа;
- псориаз;
- повышенная физическая нагрузка на суставы (в том числе у спортсменов), из-за которой они начинают разрушаться, причем это происходит в сравнительно раннем возрасте.
На возникновение артроза и его дальнейшее прогрессирование могут повлиять и такие факторы;
- перенесенные травмы (чем больше было травм и чем они были тяжелее, тем степень развития патологии выше);
- повышенная масса тела (она приводит к чрезмерной нагрузке на сустав и, как следствие, еще более быстрому развитию заболевания);
- артрит гнойного типа;
- возраст (у пожилых пациентов заболевание встречается намного чаще);
- некачественное, несбалансированное питание;
- частые переохлаждения;
- проникновение инфекции в сустав;
- некоторые аутоиммунные патологии;
- общее отравление организма, в том числе алкоголем и никотином;
- специфические инфекционные заболевания — такие, как сифилис, гонорея, туберкулез;
- некоторые патологические состояния щитовидки;
- гемофилия;
- синдром Пертеса.
Характерные признаки
Наиболее явным и характерным признаком артроза является боль. Она утихает, если пораженный орган находится в состоянии покоя и усиливается, если он подвержен интенсивным нагрузкам. Узнаем все об артрозе, подробнее об этих группах признаков, так как они в ряде случаев первыми сигнализируют о развитии поражения костей и хрящей.
Артроз — это одно из самых распространенных заболеваний суставов, и мнения людей о нем могут сильно различаться. Многие отмечают, что основными причинами развития артроза являются возрастные изменения, травмы и избыточные нагрузки на суставы. Симптомы, такие как боль, скованность и ограничение подвижности, часто становятся причиной обращения к врачу. Люди делятся своим опытом лечения: кто-то находит облегчение в физиотерапии и лечебной физкультуре, другие предпочитают медикаментозные методы, включая противовоспалительные препараты. Также популярны народные средства, такие как компрессы и настойки. Однако важно помнить, что подход к лечению должен быть индивидуальным, и консультация со специалистом — необходимый шаг на пути к восстановлению.

Болезненность
Если сустав начинает болеть, то это первый признак его поражения. Неприятные ощущения усиливаются в том случае, если человек совершает резкие движения. Локализация болевых симптомов артроза — как раз в том месте, где находится боль. Но в ряде случаев она может распространяться и на другие участки опорно-двигательного аппарата, которые не поражены патологическим процессом.
Характерно, что ночью человек почти не испытывает боли. Если он найдет оптимальное положение тела, то он спокойно уснет. Ближе к утру они активизируются, что вынуждает человека просыпаться. На последних стадиях патологии боль становится такой сильной, что лишает человека покоя.
Хруст в суставах
Это отличительный симптом дегенеративного поражения: из-за того, что эластичность оболочек органов понижена, кости начинают тереться друг о друга, что сопровождается характерным звуком. Иногда его могут слышать окружающие на расстоянии.
Звук будет тем ярче, чем активнее прогрессирует данное заболевание. И он во всяком случае будет значительно отличаться от потрескивания.
Ограничение подвижности
В начальной стадии развития патологии объемы активных движений сохранены. Но если артроз прогрессирует, то костные образования начинают прорастать в хрящевую ткань, из-за чего происходит спазмирование мышц. Активные движения от этого нарушаются, так как подвижность сустава обеспечивается достаточно развитым хрящом.
Понижение активности движений происходит и от того, что орган не может справиться с обычными нагрузками. Вот почему на последних стадиях развития данной патологии движения практически невозможны.
Деформация
Этот симптом появляется от того, что на поверхностях кости, хряща появляются наросты. Из-за постоянного раздражения активизируется выработка синовиальной жидкости, отчего орган отекает.
Важно! Деформация является одним из поздних симптомов артроза. Сустав уже поражен болезнью в значительной степени, и часто консервативное лечение не приносит результатов.
Стадии заболевания
Всего врачи в классификации выраженности болезни выделяют четыре стадии (степени) развития артроза.
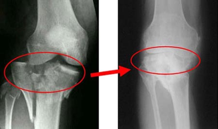
- На 1 степени остеофиты в при диагностике не обнаруживаются. Наблюдается некоторое сужение суставной щели.
- При поражении сустава 2 степени щель незначительно сужена, а остеофиты уже успели поразить поверхности кости. При остром артрозе наблюдается очень сильная боль.
- При поражении 3 степени щель заметно сужена, а на поверхности кости имеется большое количество остеофитов. При обострении повышается температура.
- 4 стадия артроза костей и суставов характеризуется тем, что суставной щели практически нет, а полость практически полностью поражена.
В зависимости от вида и места поражения суставов разновидности заболевания:
- остеоартроз — это дегенеративное дистрофическое заболевание опорно двигательного аппарата с поражением хрящей;
- полиартроз — это множественное дегенеративное поражение суставов;
- крузартроз — поражение таранной кости;
- омартроз — поражение плечевого сустава;
- коксартроз — это артроз колена;
- реактивный артроз — это поражение суставов после перенесенного инфекционного заболевания;
- блуждающий — транзиторный артроз;
- поражения голеностопного сустава, лучезапястного сустава;
- дегенеративные болезни рук.
Чем опасен артроз
Без нужного лечения это заболевание опасно множественными осложнениями:
- полное разрушение органа;
- значительная деформация;
- поражение периферических суставов;
- практически полная невозможность осуществлять любые движения, что грозит развитие инвалидности;
- нарушение позвоночника, развитие в нем межпозвонковых грыж;
- значительное снижение качества жизни пациента.
Методы диагностики
Диагностика заболеваний суставов включает в себя:
- общий осмотр;
- пальпация;
- гониометрия — процедура, позволяющая диагностировать объем и амплитуду выполняемых движений;
- анализ крови (общий и биохимический);
- анализ мочи;
- артрография;
- рентген сустава;
- исследование фрагмента хрящевой ткани под микроскопом;
- УЗИ;
- МРТ.
Как лечить сустав
Начинать лечить артроз надо как можно раньше — только так можно приостановить развитие патологии и не допустить полного обездвиживания пациента. Главная задача врача и больного — устранить причины разрушения, ликвидация воспалительных процессов, боли. Помните, что полностью восстановить суставы невозможно, но проводимое лечение может улучшить его состояние.
Принципы лечения болезни такие:
- избавление от чрезмерных нагрузок;
- занятия лечебной гимнастикой при артрозе;
- назначение физиотерапии;
- назначение ходьбы на коленях по Бубновскому;
- санаторно-курортное лечение;
- кислородотерапия;
- медикаментозное лечение;
- оптимизация диеты.
Из медикаментов назначаются такие препараты для лечения артроза.
- Нестероидные противовоспалительные средства. С их помощью можно эффективно снять боль, снизить интенсивность воспалительных процессов. Причем наиболее эффективным будет назначение именно мазевых лекарств — они исключают поражение слизистой ЖКТ.
- Кортикостероидные препараты снимают воспалительные явления и боль на стадии обострения процесса. Показано внутрисуставное введение лекарств (такая процедура выполняется только в условиях клиники). Такие средства могут применяться и при ревматоидном артрозе.
- Хондропротекторы — это таблетки от артроза, которые помогают восстановить хрящевую ткань сустава. Наиболее распространенное вещество из этой группы — это Глюкозамин и Хондроитин. Применять такие средства надо до тех пор, пока не наступит выраженное улучшение и увеличение объема выполняемых суставом движений. Показано применять и все препараты на основе гиалуроновой кислоты. Применение этих препаратов часто оправдано при лечении артроза коленного сустава. Среди таких лекарств — Хондроксид, Терафлекс.
- При артрозе показано использование Диацереина. Улучшение после начала лечения таким средством наступает не раньше, как через месяц, при условии, что лекарство наносится постоянно. Эффективное лечение этим препаратом возможно, если пациент соблюдает все предписания врача и прежде всего сбросил лишний вес.
При очень сильных болях врач может назначать анальгетики наркотического ряда. Однако их применение ограничено ввиду риска развития осложнений.
Лечение артроза народными средствами может использоваться как вспомогательный вид терапии. Причем врач подбирает наиболее эффективное средство индивидуально для каждого пациента. Важное место в такой терапии занимает правильное питание.
Обратите внимание! Вылечить артроз, в том числе и деформирующий артроз коленного сустава полностью невозможно. С помощью эффективного лечения можно приостановить дальнейшее разрушение тканей и не допустить обездвиживания пациента.
Питание и артроз
При прогрессирующем хроническом разрушении суставного хряща большое внимание должно уделяться правильному питанию. Категорически запрещено переедание, потому что избыточная масса тела может вызвать дальнейшее разрушение сустава. Чтобы снизить вес, из рациона надо исключить мучные изделия, сладкое. Запрещено употреблять алкогольные напитки и в первую очередь пиво.
А вот рыба должна быть на столе у страдающего артрозом каждый день. Лучше всего, если она будет нежирной. Особенно полезен при разрушениях сустава холодец. В нем содержится большое количество полезного для здоровья коллагена. Он очень быстро усваивается организмом и восполняет недостаток хрящевой ткани. Регулярное употребление этого вкусного и полезного блюда делает суставы подвижными, а хрящи — эластичными.
В ежедневном меню должно быть больше продуктов и блюд, содержащих витамин В6 — пиридоксин. Он содержится в бобовых, орехах, картофеле, зелени. Полезно есть яйца, печень, молокопродукты — они богаты на рибофлавин.
Профилактика артроза
Методы профилактики этого заболевания следующие:
- нормализация двигательной активности, устранение гиподинамии;
- занятие только теми видами спорта, которые не требуют излишней нагрузки (очень полезными для такого человека будут фитнес и аэробика);
- избегание тяжелого физического труда, который приводит к интенсивному разрушению суставов;
- не допускание перееданий, борьба с лишним весом всеми доступными и безвредными способами;
- искоренение всех вредных привычек;
- регулярные прогулки на свежем воздухе;
- занятие плаванием;
- исключение стрессовых ситуаций.
Артроз гораздо легче предупредить, чем потом лечить его. При первом появлении болевых ощущений в суставе, хруста и ограничения врача надо сразу же посетить врача, чтобы проверить суставы. Своевременное начало лечения предотвратит развитие осложнений. Опасен артроз тем, что человек из-за него может стать инвалидом.
Смотрите видео:

Вопрос-ответ
Как понять, что у тебя артроз?
Симптомы артроза: ограничение подвижности и хруст в суставе, напряжение мышц в области сустава, периодическое появление припухлости в области сустава, постепенная деформация сустава (припухлость возникает лишь при обострениях и сопровождается ноющей, а не острой болью).
Чем лучше всего лечить артроз?
Чаще всего используются следующие препараты: диклофенак, нимесулид, индометацин, парацетамол. Их можно применять в виде таблеток, ректальных свечей и порошка. Но помните, что самолечение недопустимо. Подбор и дозу лечебного препарата от артроза осуществляет врач-ревматолог.
Что является причиной артроза?
В числе факторов риска, которые могут спровоцировать возникновение и развитие артроза: чрезмерная нагрузка на суставы в течение долгого времени; профессиональные занятия спортом или танцами, тяжелые условия труда, привычка носить обувь на высоком каблуке. Сидячая работа и недостаток движения.
Где болит при артрозе?
Чаще всего болезнь поражает суставы, которые испытывают значительную нагрузку: коленные, тазобедренные, плечевые, а также позвоночник. Реже встречается артроз кистей рук.
Советы
СОВЕТ №1
Регулярно выполняйте физические упражнения, которые укрепляют мышцы вокруг суставов. Это поможет улучшить их стабильность и снизить нагрузку на поврежденные участки. Консультируйтесь с врачом или физиотерапевтом для подбора безопасной и эффективной программы тренировок.
СОВЕТ №2
Обратите внимание на свой рацион. Употребление продуктов, богатых омега-3 жирными кислотами (например, рыба, орехи), а также антиоксидантов (фрукты и овощи) может помочь уменьшить воспаление и замедлить прогрессирование артроза.
СОВЕТ №3
Не игнорируйте симптомы. При первых признаках боли или дискомфорта в суставах обращайтесь к врачу. Раннее выявление и лечение артроза могут значительно улучшить качество жизни и замедлить развитие заболевания.
СОВЕТ №4
Используйте специальные ортопедические средства, такие как стельки или бандажи, чтобы уменьшить нагрузку на суставы и улучшить их функциональность. Это может помочь снизить болевые ощущения и повысить вашу активность.




