Все о ЖГЭ — железистой гиперплазии эндометрия
Железистая гиперплазия эндометрия – серьезное заболевание, встречающееся у молодых и зрелых женщин. Существует несколько форм заболевания, при некоторых возможно предраковое состояние.
Что такое железистая гиперплазия эндометрия
Железистая гиперплазия эндометрия — это диагноз, который ставят при патологическом разрастании эндометрия. Постепенно, ткани становятся толще и плотнее, что может привести к образованию раковых клеток. Патология влияет на всю репродуктивную систему.
Она может возникнуть в любом возрасте, но чаще у молодых женщин, и тех, кто уже вступил в период климакса. Это сложное, комплексное заболевание, задевающие эндокринную, нервную, иммунную систему.
Концепция лечения определяется индивидуально, по состоянию здоровья и возрасту пациентки.
Причины и факторы риска
Причин железистой гиперплазии эндометрия может быть несколько. Основное – это нарушение на гормональном уровне. Оно может развиться из-за следующих факторов:
- менструации начались слишком рано или слишком поздно;
- отсутствие родовой деятельности;
- дисфункция гипоталамуса и гипофиза;
- нарушения в работе щитовидной железы;
- гиперплазия коры надпочечников;
- психо-эмоциональные, физические стрессы;
- нарушения овуляции из-за персистирующих или атретичных фолликулов;
- кисты яичников;
- стромальная гиперплазия яичников;
- нарушения иммунитета, хронические инфекции в органах малого таза;
- искусственное прерывание беременности;
- механические повреждения матки;
- установка внутриматочных спиралей;
- вредные привычки;
- длительный прием оральных контрацептивов и гормональных средств;
- лишний вес, гиперлипидемия, повышенный сахар в крови, нарушения метаболизма;
- патологии ЖКТ и печени, желчных путей;
- сердечная недостаточность, повышенное артериальное давление.
Особенно негативно эти причины действуют, когда женщина вступает в период менопаузы.
Классификация
Существует несколько типов железистой гиперплазии эндометрия. Гиперплазия встречается:
- Железистая.
- Железисто-кистозная.
- Атипичная.
- Очаговая.
Любой тип патологии препятствует зачатию. Даже провести процедуру экокорпорального оплодотворения. Оно не делается, если у пациентки есть железистая гиперплазия эндометрия.
Очаговая форма
Очаговую железистую гиперплазию эндометрия провоцируют эндокринные, онкологические и сосудистые заболевания. Часто возникает у женщин, перенесших инфекционные болезни мочеполовой системы и ИППП. Сначала болезнь протекает без симптомов. Единственный признак – женщина не может зачать.
Этот тип железистой гиперплазии вылечить труднее всего, поскольку это предраковая стадия. Если не лечить гиперплазию, то вероятность образования раковых клеток очень высока. Очаговая форма лечится комплексно. Если медикаментозная терапия не помогает, применяют хирургическое лечение.
Фрагмент эндометрия вырезают, в некоторых случаях, удаляют и матку.
Атипическая
Атипическая железистая эндометрия это тоже сложная форма, приводящая к раку матки и бесплодию. В особой зоне риска женщины достигшие сорока пяти лет, то есть в периоде климакса или перед ним. Иммунитет женщины снижается с возрастом, поэтому повышается риск. В большинстве случаев консервативное лечение не дает эффекта, и применяют оперативное вмешательство.
Железисто-кистозная
Железисто-кистозная гиперплазия эндометрия развивается из-за нарушений гормонального фона. Этот тип заболевания не переходит в раковую форму, и лечить его проще.
Железисто-кистозная форма возникает из-за ранних абортов, беременности после 40 лет, проблем с эндокринной системой. Если лечить этот тип железистой гиперплазии своевременно, удастся избежать бесплодия. Обычно болезнь лечат консервативно.
Есть пассивная и активная форма заболевания. При активном типе патологии симптомы проявляются острее.
Простая железистая
Простая железистая гиперплазия эндометрия без атипии – это самая легкая форма заболевания. Меглерация клеток исключена, и лечить ее можно медикаментами. Хирургическое вмешательство можно, если есть противопоказания к приему медикаментов.
Методы диагностики
Для определения типа гиперплазии используются несколько методик диагностики:
- Ультразвуковое исследование.
- Выскабливание.
- Гистероскопия.
Важно, точно поставить диагноз, чтобы лечение было эффективным.
УЗИ
Ультразвуковое трансвагинальное обследование – один из лучших методов диагностики. По УЗИ определяется плотность эндометрического слоя, его асимметричность, изменение структуры, мелкие новообразования на нем.
Выскабливание
Но УЗИ не может выявить форму железистой гиперплазии эндометрия, морфологические и структурные перемены в эндометрии, а также наличие полипов, которыми характеризуется сложная железистая гиперплазия эндометрия. В этом случае, врачи проводят диагностическое выскабливание. Сначала из цервикального канала, затем из полости матки. Соскобы сдаются на лабораторный анализ.
https://youtube.com/watch?v=t2N031WSl3E
Простая железистая гиперплазия преобразуется в рак очень редко. Эндометрий увеличен в объеме, структура изменена. Железы расположены неравномерно. Есть железистые кисты. Железистая ткань разрастается. В клетках повышены митозы. Атипии клеток нет.
При сложной железистой гиперплазии железы разрастаются более активно, нарушен баланс стромальной и железистой ткани эндометрия, форма желез меняется, клеточная атипия отсутствует. При атипической форме к вышеописанным симптомам прибавляется наличие атипических клеток. Наблюдается клеточный полиморфизм:
- клетки делятся неправильно, их размер разный;
- отсутствует клеточная полярность;
- ядра имеют яркую окраску и увеличены;
- цитоплазмические гранулы имеют красный цвет, вакуоли увеличены;
- изменено цито-плазмическое соотношение;
- изменено очертание внутренней части эпителия, которым выстланы железы; эпителий неоднороден, на нем появляются наросты.
Риск рака около 30 процентов, поэтому лечение нужно начать как можно быстрее.
Гистероскопия
Гистероскопическая диагностика тоже достаточно точна. На ней видны такие симптомы простой железистой гиперплазии как:
- утолщение слизистой до пятнадцати миллиметров;
- сильно выраженная сосудистая сетка, толщина сосудов равномерна;
- свободные устья маточных труб;
- на эндометрии складки разного размера и окраски;
- выводные протоки желез расположены равномерно;
Если гиперплазия железисто-кистозная, то гистероскопия показывает:
- эндометрий утолщен (более 15 мм);
- сосудистая сетка сильно выражена, ее толщина неоднородна;
- Слизистая в складках, ярко-красного цвета;
- Железистых кист больше, протоки расширены.
При атипических формах симптомы схожи. Если заболевание на поздней стадии, то видны железистые разрастания – полипы, окрашенных в сероватый или желтоватый цвет. Также существует полиповидная железистая гиперплазия эндометрия, при которой:
- эндометрий имеет небольшую толщину;
- слизистая покрыта кистозными образованиями, выемками и неровностями;
- вся полость матки покрыта полипами и спайками бледно-розового цвета, на полипах есть пузыри;
- заметны сосуды;
- железистые протоки не видны;
- плохо видны устья фаллопиевых труб из-за изменений стенок матки.
При проведении гистероскопии перед месячными, диагностика полиповидного типа гиперплазии осложняется.
Симптомы
Признаки железистой гиперплазии могут проявиться не сразу. Обратить внимание нужно на такие симптомы:
- сильные кровотечения вовремя и между месячными;
- менструации становятся более болезненными
- общая слабость, головокружения
- снижение веса
- появление сгустков крови
- нарушение регулярности цикла
При атипичной гиперплазии эндометрия, признаки выражаются более остро.
Возможно ли забеременеть
При железистой гиперплазии забеременеть практически невозможно, и даже нежелательно. Как естественным, так и искусственным путем.
Во время болезни овуляция нарушается, или яйцо не может закрепиться в матке, что и приводит к бесплодию. Если удалось забеременеть, то беременность заканчивается выкидышем или у плода серьезные отклонения.
Нежелательно беременеть, потому что это может активировать рост новообразований и их перерождение в злокачественную форму.
Можно ли вылечить болезнь
По статистике вероятность полного излечения с сохранением репродуктивной функции около 85%. Если ЖГЭ рецидивирующая или у нее сложная предраковая форма, то излечение возможно, но излечить бесплодие невозможно, поскольку удаляются детородные органы.
Методы лечения
Как лечить такое заболевание? Все зависит от возраста пациентки и того в каком периоде она находится. А также сопутствующих патологий. Врачи лечат железистую гиперплазию эндометрия достаточно успешно при простых формах, сложные формы не так быстро поддаются лечению. Для избавления от железистой гиперплазии нужно:
- Купировать кровотечения. И восстановить организм после кровопотери. Это важно, как для молодых, так и для женщин после 45 лет.
- Отрегулировать менструации, если женщина еще не в менопаузе. Или активировать процесс атрофии слизистого слоя матки, если женщина уже в климаксе.
- Проводить профилактику заболевания.
В подростковом возрасте
Как лечится железистая гиперплазия у молодых девушек? Чтобы остановить кровотечения и укрепить организм, врачи прописывают средства для сокращения матки (Окситоцин, Викасол и Децинион), а также средства, восполняющие дефицит минералов и микроэлементов.
В сложных случаях назначаются гормональные средства для остановки кровотечений. (Регивидон, Марвелон). Если таблетки не действуют, прибегают к лечебному выскабливанию. Как дополнение в домашних условиях можно использовать отвары трав (крапива, пион, лопух).
В репродуктивном
Лечение железистой гиперплазии эндометрия у женщин состоит из нескольких этапов. После тщательной диагностики, если нет атипии назначаются гормоны – Дидрогестерон, Норэстирон, КОК. При атипичных клетках назначаются – Диферелин, Даназол. Если консервативные методы не дают результата, то проводится хирургическое вмешательство:
- иссечение яичников – если есть поликистоз
- Вырезание придатков – если есть опухоли
- Удаление матки и придатков в крайних случаях
Лечение в репродуктивном возрасте направлено на сохранение матки, и восстановления возможности зачатия.
В климактерическом периоде
Лечение после 40-50 лет включает гормональную терапию, если женщина хочет сохранить менструальный цикл. Продолжительность курса определяет врач. Если есть противопоказания к гормонам или рецидивах неатипичной патологии показано оперативное вмешательство. Проводится гистероскопическая абдоминальная абляция. Если гиперплазия осложнена эндометриозом, миомой, то проводится гистерэктомия.
В постменопаузе
Гиперплазия эндометрия в постменопаузе частое явление. Если заболевание проявилось первый раз, то назначается курс гормонов. Если патология осложнена опухолевыми образованиями, у нее атипичная форма или проявилась повторно, то необходима операция по удалению детородного органа и придатков.
Последствия
Чем опасна железистая гиперплазия, и почему важно вовремя лечить болезнь? Оно провоцирует развитие опухолей, бесплодия и привычного невынашивания. Регулярные и сильные кровотечения приводят к малокровию.
При некоторых видах железистой гиперплазии возможны предраковые состояния, и рак матки. Особенно велик риск, если есть метаболический синдром. Это значит, что защитные силы организма не может бороться с раковыми клетками.
Признаки синдрома – повышенный сахар в крови, лишний вес, бесплодие ановуляторного типа.
Прогноз
Исход заболевания может быть благоприятным или неблагоприятным, в зависимости от состояния здоровья женщины и формы болезни. При простой, железисто-кистозной форме, и отсутствии осложнений, возможно полное излечение. Женщина может полностью восстановить свою репродуктивную функцию.
Чем старше женщина, тем сложнее вылечить заболевание. Если присутствует метаболический синдром или другие осложнения, то прогноз не такой хороший, лечение более длительное, но если провести своевременную терапию, то излечение и устранение бесплодия возможно.
Если простая форма осложнена эндокринными заболеваниями, то есть возможность повторения заболевания. При повторной железистой гиперплазии, необходимо оперативное вмешательство т.е. вырезание детородного органа, что ведет к полному бесплодию.
Для женщин в климаксе возможно удаление полипов или матки, поскольку высок риск перерождения опухоли в злокачественную форму.
Профилактика
Профилактические меры против ЖГЭ несложные. Чтобы предупредить развитие заболевания нужно:
- проходить гинекологические осмотры раз в полгода.
- предупреждать нежелательную беременность
- не перетруждаться
- избегать стресса
Эти меры помогут минимизировать риск появления железистой гиперплазии.
Что можно и нельзя делать
Противопоказания при железистой гиперплазии эндометрия такие же, как и при онкологических заболеваниях. Необходимо правильно питаться, регулировать физические нагрузки, нельзя нервничать. Нельзя:
- делать массаж
- заниматься самолечением
- принимать горячие ванны
- загорать
Без рекомендации врача нельзя принимать никаких лекарственных средств.
Перерождение в рак
Перерастания доброкачественного новообразования в раковую опухоль возможны. Когда гиперплазия может быть злокачественной:
- если она осложнена метаболическим синдромом или есть дисфункция гипоталамуса;
- повторяющаяся гиперплазия у женщин после 45 -50 лет;
- атипическая форма патологии;
- часто рецидивирующая железистая гиперплазия в периоде постменопаузы.
Отзывы женщин
Марина, 25 лет
https://youtube.com/watch?v=z0-xKgNDgRY
У меня обнаружили железистую гиперплазию матки. После диагностики через УЗИ, назначили гормональную терапию. Через месяцев шесть болезнь пошла на спад. Регулярно прохожу осмотры для профилактики.
Ольга, 44 лет
https://youtube.com/watch?v=z0-xKgNDgRY
У меня была железисто-кистозная патология атипичной формы. Была угроза рака. Мне провели гистерэктомию матки и придатков. После назначили гормональную терапию.
Ирина, 35 лет
Мне предложили лечить ЖГЭ медикаментозно, чтобы избежать иссечения матки. Я изучила отзывы в интернете на форумах. Обсудили с врачом схему лечения, потому что у меня были осложнения.
Железистая гиперплазия эндометрия: симптомы и лечение
От данного заболевания страдает большое количество женщин по всей планете. Опасно оно своим осложнением — невозможностью зачать ребенка. При этом болезнь способна долго себя не проявлять и достаточно трудно лечится. Поэтому каждая женщина должна быть осведомлена о железистой гиперплазии эндометрия.
Согласно статистическим исследованиям, такая патология отмечается у каждой пятой — шестой женщины после 20-23 лет, а число заболевших женщин климактерического возраста еще выше — больше половины от общей численности. Последние годы показали увеличение заболеваемости железистой гиперплазией.
Как развивается железистая гиперплазия эндометрия
Эндометрий содержит две составные — базальный (ростковый) слой и функциональный. Первый слой всегда стабилен и участвует только при восстановлении тканей в случае их повреждения. Периодически, смотря какая фаза менструального цикла, меняется только второй — функциональная часть эндометрия.
В норме во второй половине цикла второй слой активно разрастается. Это необходимо для того, чтобы яйцеклетка в случае зачатия нашла себе подходящее место для имплантации с нужным количеством полезных веществ. То есть, функциональный шар создает все условия для развития беременности.
В конце цикла он начинает отторгаться. Каждая женщина отлично знает данный процесс — это менструальные выделения. После месячных функциональный слой снова разрастается, за что несет ответственность базальная часть эндометрия (за восстановление).
И так под влиянием гормонов эстрогена и прогестерона этот процесс повторяется много раз.
На протяжении менструального цикла эстрогены увеличиваются в количестве и одновременно утолщается эндометрий. В конце месячных начинают усиленно вырабатываться прогестероны, тормозящие увеличение эндометрия. Таким образом толщина этого маточного слоя не превышает допустимого значения, и после его функциональный слой вновь отслаивается при менструальных выделениях.
Вышеописанное происходит только в случае нормального уровня женских гормонов. При увеличении эстрогена и снижении прогестерона эндометрий разрастается больше положенного.
Причины железистой гиперплазии эндометрия
Причиной развития гиперплазии, как было сказано ранее, служит гормональный дисбаланс. Поэтому данная патология часто наблюдается у женщин при внезапной перестройке гормонального фона — при половом созревании, наступлении климакса или сильных стрессовых факторах. Иногда гиперплазию эндометрия могут вызвать инфекционные процессы в полости матки.
Гиперплазия может развиться и при ряде таких гинекологических патологий:
- при мастопатии (возникновение доброкачественных новообразований в молочной железе);
- при миоме матки (доброкачественный узел);
- при эндометриозе (патологическое разрастание клеток слизистой оболочки матки и других органов таза);
- при венерических заболеваниях;
- при поликистозе, дисфункции и онкологических заболеваниях яичников.
Также могут быть конкретные факторы, при которых чаще возникала гиперплазия эндометрия или какой-либо фактор всегда присутствовал при этом заболевании.
https://youtube.com/watch?v=XQoeAgp4UCA
Сюда относятся:
- установленная внутриматочная спираль;
- неправильное применение гормональных средств;
- неоднократные аборты;
- излишний вес;
- сахарный диабет;
- повышенное артериальное давление;
- заболевания печени, заболевания надпочечников, а также поджелудочной и щитовидной железы;
- аномалии развития матки во внутриутробном периоде;
- неудачно проведенные операции;
- снижение иммунитета;
- врожденная предрасположенность.
Все они могут способствовать гормональному сбою, который является основной причиной железистой гиперплазии.
Разновидности железистой гиперплазии эндометрия
Гиперплазия эндометрия делится на типы, что отличаются вероятными осложнениями и тактикой лечения.
В медицинской практике выделяется железистый, железисто-кистозный, а также атипический тип заболевания. Намного реже развивается базальный тип, то есть разрастается только базальная (ростковая) часть эндометрия, которая играет важную роль в его восстановлении.
Железистый тип гиперплазии
Железистая гиперплазия — самая простая форма данной патологии, при которой поражается только структура желез эндометрия. То есть, меняется их нормальное расположение и они становятся неправильной формы. Но атипичных клеток нет.
Атипичные — это те клетки, которые непрерывно делятся, имеют измененную форму и являются признаком онкологии. Железистый тип заболевания бывает острым и хроническим. Также он легко лечится и реже остальных типов гиперплазии эндометрия перерождается в злокачественные новообразования.
Правда, эта опасность увеличивается при климаксе.
Железисто-кистозный тип
Железисто-кистозный тип также отмечается разросшейся железистой тканью эндометрия, но при этом сопровождается кистами слизистой матки. Данный тип заболевания тоже крайне редко превращается в злокачественные образования.
Железистая гиперплазия с атипией
Этот тип заболевания внешне похож на простой железистый, только за некоторым исключением — из тканей эндометрия с помощью лабораторных исследований выделяют клетки с атипией.
Атипичные клетки свидетельствуют о начале перерождения тканей эндометрия в опухоль. Гиперплазия с атипией часто затрагивает и базальную часть эндометрия.
Этот тип патологии обладает большой вероятностью повторного возникновения, несмотря на удаление функциональной части эндометрия.
В зависимости от площади поражения заболевания ее разделяют на очаговый тип и диффузный.
Первый развивается при условии, что гиперплазия затронула только часть слоя матки, а не всю поверхность. В данной ситуации на эндометрии вырастает полип, а часто даже много очагов — полипов, которые тоже бывают по типу железистыми, железисто-кистозными или атипичными.
При диффузном типе заболевания равномерно страдает вся поверхность слоя матки.
Признаки железистой гиперплазии
Часто болезнь протекает бессимптомно. Но признаки гиперплазии все же существуют и могут выражаться:
- болезненностью месячных;
- задержкой, полным исчезновением менструальных выделений или их нерегулярностью;
- мажущими выделениями крови между месячными;
- болями внизу живота;
- болями при половых отношениях;
- обильными и продолжительными маточными кровотечениями у девушек при половом созревании;
- долгой неспособностью зачать ребенка.
Из-за длительной невозможности забеременеть женщины вынуждены обращаться к специалисту, где часто и выявляется гиперплазия эндометрия матки. При этом маточный слой не только разрастается, а также теряет способность продвигать оплодотворенную яйцеклетку, а затем закреплять ее на поверхности матки. Тем не менее после лечения возможность зачать ребенка, скорее всего, вернется.
Из-за длительных кровоизлияний при рассматриваемой патологии может развиться анемия, выражающаяся головокружениями, головными болями, ломкостью волос и ногтей, повышенной утомляемостью, слабостью, бледностью кожных покровов и видимых слизистых оболочек.
Диагностика железистой гиперплазии эндометрия
Для постановки диагноза потребуется предварительный опрос:
- когда возникли первые симптомы,
- почему пациент решил обратиться к врачу,
- наблюдаются ли сбои в менструальном цикле,
- была ли беременность и как прошла,
- проводились ли обследования ранее и по поводу каких гинекологических заболеваний.
Исследования для установления диагноза начинаются с осмотра гинекологом и выяснения симптомов.
Однако при осмотре железистую гиперплазию эндометрия обнаружить не удастся, так как здесь изменения находятся на клеточном уровне.
Гинекологический осмотр нужен для выявления возможных сопутствующих заболеваний или факторов риска, которые могли бы участвовать в развитии рассматриваемого заболевания.
https://youtube.com/watch?v=OrDki3SzZFA
Далее могут быть назначены:
- ультразвуковое исследование органов таза;
- исследования крови — гормонального, общего и биохимического типа.
Основным методом диагностики является кольпоскопия. Это, по-сути, гинекологический осмотр, но главным отличием является использование специального прибора — кольпоскопа. С его помощью можно рассмотреть слизистую оболочку матки под многократным увеличением и измерять ее толщину.
Одновременно при этом методе берется кусочек ткани эндометрия (биопсия) для гистологического исследования. В нем можно обнаружить атипичные клетки и онкологические процессы, что необходимо для исключения диагноза опухоли.
Обычно данный диагноз устанавливается при толщине маточного слоя свыше 1,5 см. А толщина больше 2 см может свидетельствовать о начале развития опухоли.
Цель исследований — не просто установить диагноз, а выявить тип заболевания, и в зависимости от этого выбрать тактику лечения.
Лечение железистой гиперплазии эндометрия
Выбирая стратегию терапии, опираются на возраст женщины, количество детей, дальнейшие планы по деторождению и сопутствующие заболевания.
Лечение обычно заключается в удалении разросшегося маточного слоя и последующей медикаментозной терапии, которая является обязательной, так как первопричина гиперплазии — гормональный дисбаланс. Если удалять только эндометрий без медикаментозного лечения, то высок риск повторного появления железистой гиперплазии.
Перед лечением обязательно проводят исследование:
- крови (для обнаружения признаков анемии или воспаления);
- крови на ее свертываемость (коагулограмма);
- сердца (электрокардиограмма), на гепатит, сифилис, ВИЧ, которые являются стандартными;
- флоры влагалища с помощью мазка.
Операция, в ходе которой выполняется удаление функциональной части эндометрия, называется выскабливание. Ее проводят под общим наркозом в условиях операционной палаты. Специальным инструментом делают выскабливание чрезмерно увеличенной части маточного слоя. В случае полипов, их срезают специальными электроножницами.
Операция длится не более получаса. Иногда прибегают к прижиганию эндометрия лазером или криодеструкции (здесь используют жидкий азот для заморозки тканей). Полипы тоже могут удалить лазером. После выскабливания клетки тканей эндометрия исследуют на атипию.
Если после оперативного лечения у пациентки не наблюдается осложнений, ее в этот день выписывают. Для исключения инфицирования операционных ран и половых органов профилактически назначают антибиотики.
Также показан прием аскорбиновой кислоты, витаминов группы В для лучшего восстановления, а в случае анемии — железосодержащих препаратов. Рекомендуются и физиопроцедуры — иглорефлексотерапия и электрофорез. На протяжении месяца лучше воздержаться от половых отношений.
После выскабливания приступают к терапии гормонального сбоя. Для этого выписывают средства с синтетическими гормонами — Жанин, Ярина, Регулон, Дюфастон и Норколут. Продолжительность лечения данными препаратами, как правило, составляет от полугода и выше.
Также доктор может посоветовать установить внутриматочную спираль с гестагенами, оказывающую влияние на гормоны. Спираль ставится на несколько лет.
В лечении простой железистой гиперплазии есть возможность не прибегать к оперативному способу и обойтись лишь гормональными средствами.
При лечении пациентов на этапе полового созревания хирургическое вмешательство тоже назначается в крайних случаях, используют только гормональную терапию.
Единственным показанием для оперативного лечения железистой гиперплазии эндометрия у девушек-подростков является обильное маточное кровотечение.
Возможные осложнения гиперплазии
Простая форма железистой гиперплазии способна длительное время никак себя не проявлять.
Но есть риск, что не вылеченная или не своевременно обнаруженная гиперплазия может стать атипичной и впоследствии перерасти в онкологический процесс. К тому же, она может стать причиной бесплодия.
Обильные маточные кровоизлияния могут спровоцировать анемию, где ткани организма не получают достаточное количество кислорода.
Профилактика железистой гиперплазии эндометрия
Конкретной профилактики для предупреждения развития железистой гиперплазии эндометрия нет. Профилактика основывается на введении здорового образа жизни, правильном питании, занятии физкультурой.
Самым важным моментом является профилактическое посещение гинеколога, чтобы присматривать за своим половым здоровьем.
Поэтому в случае возникновения каких-либо подозрительных признаков нарушения в половом здоровье, то лучше не затягивать с этим и как можно скорее обратиться за консультацией специалиста.
Количество прочтений:
Железистая гиперплазия эндометрия — лечение, симптомы
Распространённой формой доброкачественного разрастания внутренней оболочки матки независимо от возраста женщин остаётся железистая гиперплазия эндометрия. Лечение этой патологии — важная проблема современной гинекологии.
Эндометрий – это слизистая оболочка, выстилающая полость матки.
Железистая гиперплазия эндометрия — это чрезмерное утолщение, нарушение структуры и функций слизистой оболочки матки, обусловленное аномальным ростом маточных желез.
Строение желёз эндометрия
Термин «железистая гиперплазия» на сегодня считается устаревшим, однако по-прежнему используется специалистами.
https://youtube.com/watch?v=Z7OxJ1ty5LE
Синонимы железистой гиперплазии и новая классификация гиперплазии эндометрия (ВОЗ, 2014)
| Новое название | Названия-синонимы |
| Гиперплазия эндометрия без атипии | Железистая гиперплазия эндометрия (простая, сложная). Неатипческая железистая гиперплазия эндометрия.
Аденоматоз без атипии. |
| Гиперплазия эндометрия с атипией |
Более подробно о различных видах и лечении этой болезни рекомендуем читать в статье: Лечение гиперплазии эндометрия
- Во-первых: она приводит к функциональной несостоятельности слизистой матки и бесплодию.
- Во-вторых: является благоприятным фоном для роста злокачественных новообразований. Иными словами гиперплазия создаёт условия для развития рака эндометрия. Некоторые формы железистой гиперплазии подвержены быстрой малигнизации.
- В третьих: служит источником аномальных маточных кровотечений, истощающих организм, приводящих к тяжёлой железодефицитной анемии.
Железистая гиперплазия эндометрия – отражение нейроэндокринных и метаболических нарушений в организме женщины. Диагностика и устранение этих поломок – важный аспект её лечения.
Причины железистой гиперплазии эндометрия
Ведущий механизм развития типичной железистой гиперплазии эндометрия – гормональный дисбаланс, точнее, эстрогения — чрезмерная эстрогенная стимуляция эндометрия на фоне слабого действия прогестерона.
Основной объём эстрогенов вырабатывается зреющим фолликулом яичника в 1-ю фазу менструального цикла.
Во 2-ю фазу цикла, после созревания и выхода из фолликула яйцеклетки (овуляции) продукция эстрогенов снижается. Фолликул превращается в жёлтое тело яичника и секретирует прогестерон.
Прогестерон – готовит слизистую матки к возможной беременности. Он останавливает рост маточных желёз, вызывает их структурное «созревание» и секреторную активность.
Подавляя рост клеток желёз, прогестерон стимулирует рост клеток стромы – опорно-соединительной ткани, в которую погружены маточные железы и сосуды. Здоровый баланс «эстрогены / прогестерон» обеспечивает нормальную структуру «железы / строма» эндометрия.
При эстрогении клетки эпителия желез постоянно размножаются. Количество растущих, не достигших секреторной трансформации желёз увеличивается. Они извиваются, утолщаются, ветвятся, вытесняют собой строму. Изменённый эндометрий теряет свои физиологические свойства.
Железистая гиперплазия служит препятствием для закрепления в матке оплодотворённой яйцеклетки, становится причиной выкидыша.
Причины эстрогении:
- Нарушение работы гипоталамо-гипофизарно-яичниковой системы и регуляции овариально-менструального цикла.
- Гормон-продуцирующие опухоли яичников или других органов.
- Синдром поликистозных яичников.
- Различные обменно-эндокринные нарушения, влияющие на функцию яичников: болезни щитовидной железы, надпочечников, сахарный диабет, ожирение, болезни печени, др.
- Неадекватный приём эстроген-содержащих лекарственных средств.
- Гипертоническая болезнь.
- Повышенная чувствительность слизистой матки к эстрогенам из-за инфекции, воспаления, травмы, болезней тела матки (миомы, эндометриоза).
- Генетическая предрасположенность.
Формы железистой гиперплазии эндометрия
| Форма железистой гиперплазии | Структура маточных желёз | Скорость деления клеток | Риск перерождения в рак |
| Простая в фазе ранней пролиферации* | Умеренная | 0,5% | |
| Простая в фазе поздней пролиферации | Умеренная | 0,5-1,0% | |
| Комплексная или сложная | Сочетание гиперплазии эндометрия ранней и поздней пролиферации. | Умеренная | 3,0% |
| Кистозная | Картина простой или комплексной гиперплазии дополняется множеством кистозно-расширенных желёз. | Умеренная | 0,5-3,0% |
| Атипическая | Резко выраженный полиморфизм желёз. Железы близко расположены друг к другу. Аденоматоз.
Многослойность эпителия. |
30-50% |
* — пролиферация – это рост ткани из-за размножения (митотического деления) клеток. Чем сильней пролиферация, тем быстрее рост ткани или органа.
Симптомы железистой гиперплазии эндометрия
- Дисфункциональные маточные кровотечения различной степени выраженности: ациклические; обильные длительные менструации; скудные кровянистые выделения, не связанные с менструацией; и т.п.
- Анемия (следствие кровотечений)
- Бесплодие.
Болевой синдром при железистой гиперплазии эндометрия наблюдают не всегда.
Он не является специфичным проявлением этой патологии, ведь боли или дискомфорт внизу живота, в пояснице присущи многим гинекологическим болезням.
Диагностика
1. Трансвагинальное УЗИ – высокоинформативный, доступный метод ранней диагностики железистой гиперплазии эндометрия.
| Возрастной период | Величина М-эха | Признаки нарушения структуры эндометрия |
| Детородный Перименопауза | больше 16мм | — Эхогенность слизистой матки неоднородная: эхопозитивные и эхонегативные включения.
— Контуры эндометрия неровные. |
| Постменопауза | больше 5мм |
Об особенностях лечения железистой гиперплазии в старшем возрасте, читайте подробно в статье: Гиперплазия эндометрия в менопаузе.
https://youtube.com/watch?v=TUKo8qTZ1F8
По результатам УЗИ невозможно поставить точный диагноз железистой гиперплазии эндометрия, отличить её от рака.
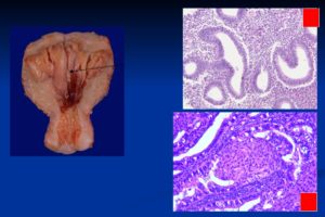
Самый верный метод диагностики железистой гиперплазии эндометрия – это гистологическое исследование образцов эндометрия, полученных в ходе выскабливания слизистой матки.
Плановое выскабливание матки рекомендуется делать накануне ожидаемой менструации.
Экстренное выскабливание матки является как диагностической, так и лечебной процедурой, останавливающей маточное кровотечение.
Лечение
Тактика лечения гиперплазии эндометрия после выскабливания индивидуальна. Всё зависит от гистологического диагноза (от формы гиперплазии), от возраста и общего состояния здоровья пациентки.
Гормональное лечение
1. В последние годы первой линией терапии (если нет противопоказаний) считается местное применение прогестагена левоноргестрела: внутриматочная гормональная спираль ЛНГ-ВМС «Мирена».
Частота регресса гиперплазии эндометрия:
- после лечения оральными гестагенами – 84%;
- после лечения «Миреной» — 94,8%.
Беременность после лечения железистой гиперплазии эндометрия «Миреной» наступает у 80% женщин в течение 12 месяцев после удаления спирали.
О причинах и лечении бесплодия, связанного с железистой гиперплазии эндометрия читайте подробно в статье: Беременность при гиперплазии эндометрия.
2. В детородном и пременопаузальном периоде типичная простая железистая гиперплазия эндометрия лечится комбинированными или чистыми гестагенами. Режим дозирования зависит от возраста пациентки, курс лечения 6 месяцев.
Препараты гормональной терапии:
- Монофазные КОК – комбинированные оральные контрацептивы с низким содержанием эстрадиола (0,05 мг): Логест, Мерсилон, Новинет, Линдинет-20, Микрогинон, Ригевидон, др.
- Прогестагены (чистые гестагены): Дидрогестерон (Дюфастон), Норколут, Оксипрогестерона капронат (17-ОПК), др.
- Натуральный микронизированный прогестерон: Утрожестан.
3. При рецидивирующих и сложных формах железистой гиперплазии, в случаях простой типичной гиперплазии у женщин старшего возраста применяются:
Гн-РГ сочетают с гестагенами по индивидуальной схеме.
4. Препараты для лечения атипической железистой гиперплазии эндометрия:
- Гн-РГ
- Антигонадотропины: Даназол, Дановал, Данол.
- Прогестагены: Депо-провера, 17-ОПК и др.
- Производные 19-нортестостерона: Гестринон, Неместран.
Оценку эффективности гормональной терапии проводят через 3, 6 и 12 месяцев от начала лечения. Для этого используют:
- Трансвагинальное УЗИ – в случае простой железистой гиперплазии.
- Биопсия эндометрия с использованием «Пайпель»-кюретки – в случае комплексной или атипической формы болезни.
- Повторное диагностическое выскабливание матки под контролем гистероскопии — в сомнительных случаях.
- Обильное, угрожающее жизни кровотечение.
- Атипическая форма железистой гиперплазии, установленная гистологическим исследованием после предыдущего выскабливания.
- Отсутствие терапевтического и гемостатического эффекта от консервативного лечения и ударных доз гормонов.
Хирургическое лечение железистой гиперплазии эндометрия
Показания к удалению матки с придатками (или без) при железистой гиперплазии:
- Нет положительной динамики от продолжительного консервативного гормонального лечения болезни.
- Рецидив атипической формы гиперплазии.
- Атипическая форма железистой гиперплазии в период постменопаузы.
- В пре- и постменопаузу: гиперплазия в сочетании с миомой, эндометриозом матки, гипертонической болезнью, диабетом, ожирением, гиперлипидемией.
Негормональное лечение
Лечить железистую гиперплазию эндометрия необходимо комплексно. Вместе с гормональной терапией пациенткам по показаниям назначаются:
- Средства, улучшающие работу центральной нервной системы: ноотропы (Стугерон, Луцетам, Пантогам и др.)
- Нейролептики и седативные препараты.
- Витаминно-минеральные комплексы.
- Препараты для коррекции эндокринно-обменных процессов: тиреоидные гормоны, Адипозин, Мисклерон, Метионин, Линетол, др.
- Препараты, нормализующие водно-электролитный обмен: Панангин, Верашпирон, Триампур и др.
- Средства для улучшения работы ЖКТ: Эссенциале, Фестал, Корсил, Легалон, Аллахол и др.
- Иммуномодуляторы.
- Противовоспалительная терапия (при необходимости).
- Диета с пониженным содержанием жиров и углеводов, лечебная физкультура.
Железистая гиперплазия эндометрия — лечение народными средствами
Вместе с комплексным медикаментозным лечением, в качестве общеукрепляющих биологически-активных добавок, для профилактики рецидивов болезни используют средства народной медицины.
Боровая матка
Ортилия однобокая (Боровая матка) применяется в качестве иммуномодулирующего и адаптогенного средства в комплексной терапии многих заболеваний женской половой сферы. Продаётся в аптеках в виде сырья и в виде спиртовых вытяжек.
1 ч.л. сырья залить 1 стаканом кипятка. Настоять 20 мин. Принимать: 1/2 — 1/3 стакана 3 раза в день в течение 28 дней; с перерывом 7-10 дней между курсами.
- Спиртовый настой применяют по прилагаемой к готовому препарату инструкции.
Красная щётка
Радиола четырёхчленная (Красная щётка) применяется в качестве иммуномодулирующего, адаптогенного, снижающего холестерин, улучшающего кровь средства. Используется в комплексной терапии многих женских недугов.
1 ст.л. измельчённого сырья залить 1 стаканом кипятка, нагревать на водной бане 15 мин. Остудить (45 мин), процедить. Принимать в течение дня равными порциями до еды с 1 ложкой мёда.
50 г измельчённого сырья залить 0,5 л водки. Настаивать в тёмном месте в течение 30 дней, периодически встряхивая.
Принимать: по 30-40 капель 2-3 раза в день курсами по 30 дней с перерывом 10-15 дней.
https://youtube.com/watch?v=v5OCuQ3fo9E
Препараты Красной щётки обладают тонизирующим действием. При гипертонической болезни их применяют с осторожностью.
Боровую матку и Красную щётку нельзя принимать во время беременности и кормления грудью.
Народные средства при железистой гиперплазии эндометрия применяются вместе (не вместо!) с медикаментозным и/или хирургическим лечением, а также для профилактики: в период ремиссии заболевания.


