Показывает ли беременность на ранних сроках до задержки на УЗИ: диагностика, расшифровка, определение на первых неделях
Желание поскорей узнать о беременности, заставляет женщин обращаться к специалистам ультразвуковой диагностики, чтобы подтвердить свои догадки.
Необходимость узнать о новом положении на раннем сроке может быть вызвана не только любопытством, но и необходимостью принимать определенные препараты.
УЗИ рекомендуется проводить одновременно с другими методами диагностики, что повысит точность результата.
Узи на ранних сроках беременности: видно ли эмбрион
Проведение исследования на ранних сроках необходимо женщинам при повторной беременности, если она стали мамой при помощи кесарева сечения не более года назад. Это позволит оценить риски и убедиться в прикреплении эмбриона на достаточном расстоянии от рубца.
Можно ли с помощью УЗИ определять беременность
УЗИ – достоверный способ убедиться в том, что произошло прикрепление оплодотворенной яйцеклетки к стенке матки. В зависимости от срока, врач увидит только плодное яйцо или развивающегося в нем эмбриона.
Плаценты на ранних сроках еще нет, зато присутствует желтое тело, которое также хорошо видно специалистам.
Врач может увидеть место прикрепления плодного яйца в матке, от которого в будущем зависят особенности течения беременности.
На какой неделе после зачатия можно увидеть беременность в полости матки
Зачатие происходит после овуляции, когда яйцеклетка выходит в полость матки. Обычно это происходит на 14 дней с начала цикла, именно в этот период возможно оплодотворение.
На УЗИ зарождение новой жизни можно увидеть только при прикреплении зиготы к стенке матки, что происходит только на 7-10 день после зачатия. Часто врач на маленьком сроке видит в матке плодное яйцо, но не наблюдает в нем эмбриона.
Это может говорить о замершей беременности или слишком раннем обращении к специалисту.
Для точного определения наличия эмбриона рекомендуется обращаться на УЗИ не ранее, чем на 4-5 неделе акушерского срока, который соответствует периоду от первого дня последней менструации. Именно в этот период уже точно произошло прикрепление, и врач увидит изменения в полости матки.
При закреплении зиготы вне матки, определить это на УЗИ достаточно сложно. Даже самый чувствительный аппарат не способен идентифицировать зиготу в маточных трубах или других органах репродуктивной системы.
Подозрения на внематочную беременность возникает при одновременном выполнении следующих условий:
- положительный тест, растущий уровень ХГЧ;
- отсутствие эмбриона в матке;
- дискомфорт в брюшной полости.
Через 4-5 недель после зачатия врач может обнаружить увеличение органа, в котором прикрепился эмбрион. В первые 2-3 недели после оплодотворения яйцеклетки увидеть на УЗИ замершую беременность невозможно.
Закрепиться оплодотворенная яйцеклетка может в любом месте: маточная труба, яичник или прямо на тканях брюшины.
Это серьезная патология, которая требует оперативного вмешательства и может угрожать жизни женщины.
Когда можно определить беременность на ранних сроках по УЗИ
УЗИ для определения беременности на ранних сроках рекомендуется делать не ранее 6 недели. Это объясняется тем, что в этот период уже появляется сердцебиение у плода и его нахождение в полости матки видно на любом аппарате.
Примерно с 4 акушерской недели врач может отметить наличие плодного яйца, изменившуюся структуру миометрия и другие косвенные признаки, указывающие на наступившую беременность.
Специалист может обратить внимание на расширившиеся сосуды матки, что необходимо для полноценного питания и роста зиготы.
Как часто можно делать на ранних сроках
УЗИ на ранних сроках делают по мере необходимости, вреда на плод исследование не оказывает. При необходимости контроля за развитием эмбриона, врач может рекомендовать пройти процедуру несколько раз с промежутком в неделю, что поможет принять решение о дальнейших действиях. Проведение контроля УЗИ в динамике требуется в следующих случаях:
- обнаружение плодного яйца без эмбриона;
- отсутствие сердцебиения после 6 недели;
- видимые патологии желтого тела.
До появления сердцебиения точно определить наличие развивающейся беременности сложно. Именно в 4-5 недель акушерского срока чаще всего происходит самопроизвольное ее прерывание, вызванное патологиями эмбриона, несовместимыми с жизнью. На этом же сроке беременность замирает при нехватке гормонов, в частности прогестерона, которые помогают ей развиваться.
Когда покажет
Через 4-5 недель после зачатия, когда акушерский срок более 6-7 недель, у эмбриона появляется сердцебиение. Сердечные сокращения подтверждают наличие беременности и ее развитие.
В исключительных случаях сердцебиение может появиться чуть раньше или позже, это зависит от периода, когда была овуляция и произошло зачатие.
Именно на этом сроке можно точно определить наличие эмбриона при помощи ультразвукового исследования и сделать первые его замеры.
Показывает ли пол ребенка на УЗИ
Появление первичных половых признаков у плода начинается во втором триместре. Определяют пол ребенка обычно в 20 недель беременности и позже, когда вероятность ошибки минимальна. В первом триместре отдельные специалисты могут предположить половую принадлежность малыша по частоте сердечных сокращений, которая немного различается у плодов женского и мужского пола.
https://youtube.com/watch?v=RZ5Vi4KfvrE
Для определения беременности существует много способов, помимо ультразвукового исследования. Они применяются не только по отдельности, но и в дополнение к УЗИ, когда результат кажется специалисту сомнительным. Признаки зарождения новой жизни могут быть прямые и косвенные. К прямым показателям наличия беременности относится:
- положительный тест на беременность;
- уровень хорионического гонадотропина человека в крови у женщины выше 25 и продолжает расти;
- на осмотре врач подтверждает увеличение размеров матки.
Косвенные признаки встречаются ни у каждой женщины, их появление не всегда связано с беременностью. Убедиться в развитии эмбриона можно, если вместе с одним из прямых признаков присутствуют следующие:
- сонливость;
- тошнота;
- резкая смена настроения;
- набухание груди и повышение ее чувствительности.
Определение беременности по УЗИ – достоверный способ узнать о своем новом положении. Для точных результатов необходимо дождаться подходящего срока, это позволит не только убедиться в наличии эмбриона, но и узнать о нормально развитии беременности. Исследование помогает определить зарождение новой жизни, а также предположить особенности течения беременности.
На каком сроке узи показывает беременность?
«На каком сроке УЗИ показывает беременность?» — это самый главный и волнующий вопрос для женщин. Возникает он в случае задержки менструации или симптомов, которые заставляют задуматься о беременности.
Но не стоит сразу бежать после первого дня задержки на УЗИ, так как оно все равно на таком сроке еще ничего вам не сможет показать. Тест тоже не будет информативным. Вам остается только немного подождать, чтобы узнать точно свое положение.
Но чтобы точно быть уверенной, что беременность наступила необходимо запомнить день зачатия. Оно может наступить через пару дней после полового акта. Вероятность зачатия становится меньше, если половой акт произошел позже предполагаемых сроков овуляции.
Время предполагаемого оплодотворения должно быть рассчитано. Для этого можно использовать калькулятор.
КОГДА УЗИ ПОКАЖЕТ БЕРЕМЕННОСТЬ
Оплодотворение яйцеклетки может осуществиться в день овуляции. Этот день наступает в середине цикла или сразу в течение нескольких суток после данного процесса. Яйцеклетка проникает в матку через маточные трубы. Происходит оплодотворение яйцеклетки только в том случае, если сперматозоиды смогут достичь цели.
В матке происходит внедрение этого слияние в слизистый слой. Зачатия не произойдет, если у женщины наблюдается непроходимость маточных труб. После зачатия может появится тянущее ощущение внизу живота, как перед месячными. Теперь можно считать, что вы мама и в вашем животе живет плод или даже двойня.
Чтобы ультразвуковое исследование показало точные результаты беременности, необходимо придерживаться некоторых условий:
- Достаточный срок. На маленьком сроке УЗИ не сможет увидеть плодное яйцо. Также на таком сроке нельзя определить, сколько у вас малышей – один или двойня. Это можно будет увидеть только с 10 недели с точностью до 90%.
- Воспалительный процесс слизистой оболочки в матке должен отсутствовать. Если он есть, то плодное яйцо должно иметь значительные размеры. Аппарат видит только размеры больше 0,3 см. Количество обследований будет зависеть от состояния.
- Выбор правильного метода диагностики. От него будет зависеть насколько обследование эффективное, также может ли оно определить – один плод и двойня. Чтобы определить с точностью до тысячных нужно делать УЗИ на 10-12 недели. Двойню рассмотреть можно без труда. Вероятность зачатия двойни практически нельзя вычислить, только если у вас есть генетическая предрасположенность. Если врач не на ранней неделе не смог определить беременность, это говорит о его отсутствии акушерского опыта. Врач видит беременность, начиная с 5-7 недели. Если есть сомнения, назначает через несколько дней после осмотра УЗИ.
НА КАКОЙ ДЕНЬ ЗАДЕРЖКИ ИССЛЕДОВАНИЕ ПОКАЖЕТ БЕРЕМЕННОСТЬ
Беременность можно увидеть, если задержка будет 5-7 дней. При условии, что УЗИ будет делать квалифицированный специалист на качественном оборудовании. Приблизительно срок беременности будет 3 недели. Самым информативным УЗИ считается на 9-11 день задержки.
В такой ситуации будет использоваться вагинальный датчик. На таких ранних сроках нельзя поставить диагноз – внематочная беременность, и определить, сколько плодов находится в матке.
Во время проведения исследования при помощи вагинального датчика врач должен быть осторожен, чтобы не повредить плодное яйцо.
https://youtube.com/watch?v=tpO7W-usO4M
Когда женщина хочет забеременеть, то использует калькулятор помогающий рассчитать день овуляции.
Через несколько дней после зачатия можно сделать тест на беременность, но вероятность увидеть положительный результат в такой ситуации меньше всего.
Насколько известно, также есть и тест на овуляцию, который послужит хорошим помощниками в данной ситуации. С ним вероятность забеременеть становиться больше. Они обладают точностью 100%.
ВИДЫ УЗИ ДЛЯ ОПРЕДЕЛЕНИЯ БЕРЕМЕННОСТИ
Существует несколько видов УЗИ, которые помогают определить беременность на ранних сроках (с точностью до 95%):
- Трансвагинальное УЗИ. При таком исследовании используется датчик, который вводится во влагалище. Поможет определить беременность уже с третьей недели иногда еще на более ранних сроках.
- Абдоминальное УЗИ. Датчик располагают на передней стенке живота. Результат сможет показать только на пятой недели беременности.
Чтобы диагностирование беременности было эффективным, женщине рекомендуется предварительно подготовиться. За несколько дней до УЗИ необходимо исключить из рациона продукты, которые могут вызвать газообразование в кишечнике. Наличие газов мешает рассмотреть структуру матки и маточных труб.
Такая подготовка относится к любому виду исследования.
Когда вам было назначено трансабдоминальное УЗИ, в день обследования нужно наполнить мочевой пузырь за три часа, после чего нельзя ходить в туалет.
Когда женщина не может выдержать столько времени, то за час выпивается определенное количество воды, но не меньше, чем 0,5-1 литр негазированной жидкости. Во время обследования может возникнуть дискомфорт, чем больше будет выпито воды, и женщина будет терпеть, тем больше дискомфорт.
После УЗИ можно сходить в туалет. На пустой пузырь с большой точностью выяснить беременность не получится.
Перед трансвагинальным УЗИ рекомендуется опорожняться. За несколько дней перед процедурой лучше воздержаться от полового акта.
КОГДА НЕОБХОДИМО СДЕЛАТЬ УЗИ НА БЕРЕМЕННОСТЬ?
В первые дни задержки можно сделать предварительно тест на беременность и если появилась слабая полоска, то можно обратиться за консультацией к врачу и посетить УЗИ. Но перед УЗИ гинеколог назначает анализ ХГЧ. Если его уровень будет повышен, то вероятность беременности повышается в несколько раз (в таблице ниже представлены уровни ХГЧ на разных сроках).
Срок беременности с момента первого дня последнего менструального цикла (недели)Примерный уровень ХГч, мМЕ/мл250-3003-41500-50004-510000-300005-620000-1000006-750000-2000007-840000-2000008-935000-1400009-1035000-13000010-1130000-12000011-1227500-11000013-1425000-10000015-1620000-8000017-2115000-60000
Если у вас 8-15 дней задержки, наблюдаются боли и появились кровяные выделения, то необходимо пройти ультразвуковое исследование, которое может показать, что плодное яйцо отслаивается.
КАК ПРОВОДЯТ ИССЛЕДОВАНИЕ
Процесс проведения исследования будет зависеть от вида назначенного обследования.
- Во время вагинального исследования пузырь должен быть пустым. Женщине необходимо оголиться ниже пояса. Принять положение лежа. Ноги сгибаются в коленях. Датчик вводится во влагалище, предварительно на него надевается презерватив. Помогает определить беременность с пятого дня задержки.
- Во время абдоминального исследования датчик водится на поверхности низа живота. На кожные покровы наносится специальный гель, помогающий скользить по поверхности и не проникать воздуху под датчик. Воздух может делать помехи. Данный вид исследования используется дальше в течение всей беременности. Этим способом можно воспользоваться с седьмого дня задержки.
РАСШИФРОВКА ДАННЫХ
Расшифровкой данных ультразвукового исследования должен заниматься только квалифицированный специалист. На первом УЗИ специалист определяет:
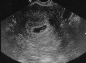
- Наличие каплевидного или округлого гипоэхогенного образования, диаметр которого составляет 0,3-0,5 см. От срока зависит и размер.
- Образование должно быть окружено тонкой оболочкой. Данное образование и есть плодное яйцо.
- Наличие желтого тела.
УЗИ уже на более поздних неделях помогает определить, как развивается плод и есть ли него какие-либо пороки. Далее будут представлены таблицы с нормативными показателями.
https://youtube.com/watch?v=4s2nq8Zf0_I
ОШИБАЕТСЯ ЛИ ДИАГНОСТИКА?
Первое УЗИ на ранних сроках помогает узнать, если ли плод в матке и правильно он развивается или нет. Но бывают и такие случаи, когда данное исследование может ошибиться. Это может произойти, если на стенке матке образовалась гематома. Также может произойти ошибка с определение срока и пола ребенка, что очень часто случается.
В большинстве случаев причинами ошибок могут быть:
- Если срок слишком маленький.
- Если есть гематомы или иные образования в матке.
- Устаревшее оборудование.
- Неквалифицированный специалист.
Но стоит понимать, что вероятность ошибки составляет 1:10. В основном всегда можно при помощи ультразвукового исследования определить беременность и ее срок. Чтобы можно было наблюдать за развитием плода, протеканием беременности, во время всего периода лучше использовать калькулятор, который с точностью до недели и дня может определить, когда вам рожать.
Когда на УЗИ видно беременность?
Современным женщинам очень повезло. Ведь сравнительно недавно у представительниц слабого пола в положении не было возможности увидеться с малышом до родов. С развитием медицины сейчас это вполне реально.
На каком сроке УЗИ показывает беременность? Этот вопрос волнует каждую девушку, у которой случилась задержка или проявились иные симптомы, склоняющие ее к мысли о возможном случае оплодотворения. Сразу бежать на процедуру к врачам не стоит, все равно пока ничего видно не будет.
Поэтому стоит набраться терпения и немного подождать. Можно посетить гинеколога и у него поинтересоваться, когда УЗИ покажет беременность.
Для чего проводить исследование ультразвуком и в чем его важность?
При первых же признаках оплодотворения девушка должна обратиться в женскую консультацию для подтверждения своего положения и постановки на учет. Ведь врачебный контроль очень важен в этот период.
По разным причинам беременность может не подтвердиться: тест может показать ложные данные, цикл просто сбиться по любой другой причине.
Доктор, после осмотра, подтвердит или опровергнет этот факт, а вот наличие плода точно покажет первая процедура ультразвукового исследования.
Почему важно провести эту процедуру после задержки? Рассмотрим причины подробнее:
- При длительном отсутствии менструации можно выяснить истинную причину патологии, в случае если оплодотворение не подтвердилось. Ведь такое развитие событий способно сигнализировать о развитии гинекологического заболевания.
- На раннем сроке можно определить беременность посредствам ультразвука.
- С помощью УЗИ можно проверить, хорошо ли прикрепился плод, затем – оценить его состояние, исключить развитие любого рода аномалий.
- Процедура позволяет определить внематочную беременность и оградить женщину от риска навредить здоровью и жизни.
- Ультразвуковое обследование – единственный достоверный источник, с помощью которого можно увидеть замирание плода или несостоявшийся выкидыш.
- УЗИ может спасти ребенка, заранее показывая угрозу выкидыша вследствие повышенного тонуса или другой причины. Врач своевременно назначит нужную терапию.
Ультразвуковое исследование – абсолютно безопасная процедура, как для будущего малыша, так и для молодой мамочки. Все предрассудки о его вредоносности – сущий миф.
На каком сроке ультразвук способен распознать плодное яйцо?
Через сколько дней после зачатия можно распознать наступление интересного положения? Яйцеклетка оплодотворяется в день овуляции или пару дней спустя.
Но для этого важно, чтобы сперматозоид до нее добрался. По маточным трубам яйцеклетка добирается до матки, где прикрепляется к ее слизистой оболочке.
Женщина ощущает тянущую боль внизу живота, как перед началом месячных. С этого момента она – будущая мать.
https://youtube.com/watch?v=vQAIpfxEjkc
УЗИ для определения беременности покажет точный результат, если соблюдать ряд условий и рекомендаций:
- процедура может определить беременность и количество плодов на 90% точно только на 10 неделе, поэтому стоит соблюдать сроки визитов;
- отсутствие воспаления (из-за отека аппарат не различит крохотный зародыш);
- подбор самого подходящего вида исследования ультразвуком.
На каком сроке можно определить зарождение жизни? Сделать это можно и на первых неделях оплодотворения (на 3 неделе беременности), но результат может не оправдать ожидания. Поэтому лучше всего подождать и провести исследование согласно плану (на 10 неделе). Конечно, если на преждевременное обследование нет особых показаний по состоянию здоровья.
В современной медицине процесс определения беременности на ранних сроках представлен двумя вариантами ультразвукового исследования: трансвагинальным и абдоминальным.
С помощью первого вида определить беременность можно уже на 21 день после зачатия. Выполняется путем введения во влагалище специального датчика. Это достаточно точное обследование с наименьшей долей погрешностей.
Второй же вид исследования способен на определение беременности спустя 5 недель после оплодотворения.
Какое УЗИ делать для определения беременности на раннем сроке? На подобный вопрос ответит гинеколог после осмотра и оценки состояния здоровья матери.
Как подготовиться к процедуре выявления зачатия?
Определение беременности по УЗИ требует выполнения некоторых правил, чтобы результаты были достоверными. Газы в кишечнике мешают любому исследованию, поэтому стоит исключить бобовые и прочие газообразующие продукты из рациона. Хотя бы за два дня до процедуры.
Когда назначают трансабдоминальное обследование, необходимо наполнить мочевой пузырь. Желательно выпить достаточное количество воды за три часа до процедуры, если женщина способна столько вытерпеть. Из-за этого при проведении исследования возможен дискомфорт. Определить срок беременности по УЗИ на пустой мочевой пузырь точно не получится.
Если назначили трансвагинальную процедуру, опорожнитесь и откажитесь от секса за пару дней до исследования.
Нужно ли проводить обследование посредствам ультразвука на ранних сроках?
На УЗИ видно беременность начиная с 3 недели. Однако если нет особых назначений, тогда и проводить процедуру на столь раннем сроке по индивидуальному желанию будущей мамы не стоит. Как определить срок беременности, сколько недель прошло со дня зачатия, если не проводить процедуру? В этом девушке поможет разобраться врач при осмотре на гинекологическом кресле и по результатам анализов.
Трансвагинальным способом УЗИ беременность проверять не стоит в том случае, если женщину беспокоит боль ноющего характера и спазмы в области низа живота, а также в тот период, когда отмечаются периодические выделения коричневого либо красного цвета.
Можно ли с помощью данного метода выявить наличие плода на раннем периоде вынашивания младенца? Да, такой вид исследования определяет зачатие довольно точно, но врачи часто говорят о возможных рисках повреждения зародыша.
Поэтому процедуру должен проводить опытный врач.
Может ли ошибаться врач?
На раннем сроке увидеть беременность можно, но иногда неопытный диагност может спутать ее с гематомой или другим новообразованием. Определение срока беременности или пола ребенка бывает ошибочным. Причины тому следующие:
- маленький срок;
- наличие гематом и прочих образований;
- старое, плохо функционирующее оборудование;
- непрофессиональный медик, проводящий исследование.
Случаи ошибок достаточно редкие. Практически всегда с помощью ультразвука можно выделить наличие плода. Через сколько дней можно делать повторную процедуру? Об этом Вам сообщит специалист на приеме.
https://youtube.com/watch?v=xQnHKOvNpJ0
На каком сроке УЗИ покажет беременность? Первая плановая процедура проводится на 10 неделе интересного положения представительницы слабого пола. Но плодное яйцо можно рассмотреть уже спустя 5 дней отсутствия менструации. Какое УЗИ делают для распознания зачатия? Самый точный метод – трансвагинальный, но он проводится только при отсутствии противопоказаний.
На каком сроке УЗИ покажет беременность
Женщина начинает подозревать, что беременна, ещё до задержки месячных. Для подтверждения или опровержения своих предположений можно воспользоваться специальными тестами-полосками. Они реагируют на увеличенное количество хорионического гормона человека в моче уже в первые сутки задержки или за несколько дней до неё.
Если результат положителен, женщина задумывается о прохождении УЗИ на вероятную беременность, а вот на каком сроке его лучше делать, подскажет врач. О том, когда ультразвук подтвердит зачатие, что при этом будет видно, какую методику выбрать, и ответы на другие распространённые вопросы – в предложенном материале.
Когда УЗИ покажет беременность: минимальные сроки
После зачатия в женском организме происходят перемены, которые сама будущая мать не замечает. В первый день зигота начинает делиться и двигаться по маточной трубе в маточную полость. Процесс длится на протяжении четырёх суток.
В матке оказывается уже бластоциста, напоминающая шар. Внедрение зародыша в оболочку материнской матки называется имплантацией, которая наступает спустя неделю после слияния яйцеклетки и сперматозоида.
В это время мать чувствует тянущие боли в нижней части живота – основной симптом имплантации.
У женщины в это время возможны имплантационные кровотечения. Когда бластоциста внедряется в материнский эндометрий, выделяется несколько капель сукровицы или крови. Это первый признак того, что пациентка вынашивает ребёнка. Однако такой факт – ещё не повод проходить УЗИ для точного определения беременности на ранних сроках или покупать аптечный тест.
Две полоски появляются при повышении содержания ХГЧ (хорионического гонадотропина человека). На ранних сроках оно ещё не достигает уровня, который могут обнаружить домашние тесты. И бластоциста слишком мала – всего 0,02 см. Поэтому при ультразвуковой диагностике её тоже невозможно заметить.
В данный период плацента ещё не сформирована, поэтому зародыш питается от слизистой оболочки матки.
Однако в первые сутки после состоявшегося прикрепления хорион (начальная плацентарная структура, на этом этапе обеспечивающая будущего младенца питательными веществами) вырабатывает тот самый хорионический гонадотропин человека. Он способствует перестройке всех систем организма матери, чтобы создать необходимые условия для развития плода.
Спустя две недели после оплодотворения зародыш достигает 1 мм. В это время женщина осознает, что произошла задержка. А ХГЧ достигает такой концентрации, что уже определяется в крови (для этого нужно сдать анализ венозной крови) и в моче (экспресс-тесты показывают позитивный результат). Но, к сожалению, ультразвуковое сканирование всё ещё не в состоянии визуализировать эмбрион.
Через три недели после зачатия зародыш подрастает до 4 мм. Это соответствует примерно пяти акушерским неделям, которые отсчитываются с момента последней наступившей менструации, то есть имеет место недельная задержка.
Сам эмбрион приобретает отчётливые контуры, появляется плодное яйцо. За прошедшие 7 дней произошла закладка нервной трубки, начались трансформация хориона в плаценту, формируются спинной и головной мозг, кровеносная система.
Сердце будущего человека уже бьётся.
На седьмой-десятый дни задержки уже можно идти на УЗИ для определения наступившей беременности. Таков минимальный срок, когда процедура будет информативной.
https://youtube.com/watch?v=d4YYWVrsqU0
Если задержка месячных – уже больше 10 дней, а экспресс-тест не показывает «две полоски», всё равно рекомендуется обратиться к гинекологу. Если речь идёт о факте свершившегося зачатия, то в это время увеличение матки подтверждается даже путём пальпации. Важно провести дифференциальную диагностику беременности с патологическими состояниями.
Ошибается ли
Ультразвук через несколько дней после предполагаемого наступления беременности иногда показывает ошибочный результат. Он может быть и ложноположительным, и ложноотрицательным.
На УЗИ вполне можно увидеть беременность малого срока. Однако низкоквалифицированный доктор может перепутать её с опухолью или гематомой. Можно также ошибиться в определении ряда размерных и временных показателей. Причинами погрешностей служат:
- слишком ранний срок;
- наличие кист, онкологических процессов, воспалений и гематом в репродуктивных органах пациентки;
- полипы и другие нарушения структуры слизистой оболочки матки. Они снижают наглядность клинической картины, в результате сонолог может посчитать эмбрион фрагментом патологического образования;
- устаревший, поломанный УЗ-аппарат. Оборудование должно обладать высоким разрешением, потому что плодное яйцо ещё слишком мало, и его можно попросту не заметить. Квалификация диагноста тоже играет роль;
- обследование зачастую проводят многопрофильные медицинские центры. Они изучают все органы. Однако у них снижены информативность и достоверность из-за отсутствия в штате сонологов узких направлений. Поэтому врачи направляют будущих родителей в специализированные учреждения;
- специфические строение и форма матки матери, не позволяющие диагностировать недавно наступившую беременность.
Медики редко ошибаются. Ультразвуковое исследование в большинстве случаев позволяет определить развивающийся плод. Во время первой процедуры можно договориться с врачом о дате повторного обследования.
Распространенные вопросы
При подозрении на беременность пациентки стремятся получить ответы на ряд вопросов. Их интересуют:
- сроки прохождения первого ультразвука;
- причины несоответствий между результатами УЗИ и теста-полоски;
- соответствие размера эмбриона сроку беременности.
Покажет ли УЗИ беременность до задержки
Узнать о беременности можно спустя неделю после наступления задержки. Однако обследовать женщину должен опытный врач на исправном новейшем оборудовании. Примерный акушерский срок ранней диагностики составляет 3 недели.
Информативным будет обращение в клинику на девятые или одиннадцатые сутки задержки. Медики проведут УЗИ при помощи влагалищного датчика. На этом сроке невозможно выявить внематочную беременность и количество развивающихся в матке зародышей.
Специалист должен аккуратно пользоваться вагинальным датчиком, чтобы не травмировать будущего ребёнка.
При планировании материнства женщина рассчитывает период овуляции календарным методом. Через несколько дней пациентка проводит домашний тест, однако положительный результат маловероятен. Можно воспользоваться высокоточными (до 100 процентов) тестами на овуляцию, помогающими планировать беременность. Они повышают вероятность зачать ребёнка.
Тест положительный, а обследование нет, и наоборот
Иногда врачи могут перепутать кисты внутреннего слоя матки и полипы с зачатым ребёнком. Особенно часто такое случается, если анализ крови пациентки показал повышенное количество ХГЧ. Уровень данного гормона может увеличиваться даже без беременности.
Подобное может произойти из-за болезней яичников, пузырного заноса при ранее перенесённой беременности или печёночных патологий. Иногда трёхзначное количество гормона сохраняется некоторое время после случившегося выкидыша.
Если срок неудачной беременности был ранним, женщина принимает его за начало месячных.
Слишком ранний визит матери в клинику может привести к ложноотрицательному результату. Спустя несколько суток невозможно обнаружить, что в матке начинает формироваться зародыш. Невозможно также поставить правильный диагноз, если бластоциста закрепилась в неподходящем месте, например, в трубе.
Если на 1 неделю больше акушерского
Ситуация может свидетельствовать, что ребёнок родится крупным. Хотя начало беременности не слишком информативно для прогноза по поводу будущей массы тела малыша.
Матери стоит проверить себя и эмбрион, если экспресс-тест показал имеющуюся беременность с опозданием на 7 дней. Две полоски должны появляться спустя две недели после того, как произошло зачатие.
Если произошла запоздалая овуляция, то и гормоны начали вырабатываться с задержкой.
https://youtube.com/watch?v=Awtl-50Ua8U
На обследовании ультразвуковым датчиком после овуляции, наступившей с опозданием, даже хороший специалист может не увидеть плод спустя неделю после окончания менструального цикла.
Бластоциста позднее опускается в полость матки, поэтому медперсоналу не видно беременность. Доктор выдаст заключение, что женщина не вынашивает плод.
По прошествии одной или полутора недель на повторном обследовании врач увидит и зародыш, и его строение. Поздняя овуляция определяется только по размерам.
Какое УЗИ делать
Методы УЗИ позволяют обнаружить начинающуюся беременность довольно точно (до 95 процентов случаев). Обследование ультразвуковым аппаратом осуществляется двумя способами:
- трансвагинальным. Врач вводит датчик внутрь влагалища пациентки. Способ показывает зародыш, начиная с двух-трёх недель акушерского срока;
- абдоминальным. Плод осматривают через брюшную стенку матери. Метод информативен, начиная с 5-й недели.
Способ обследования необходимо согласовать с гинекологом. Он учтёт особенности здоровья женщины, подбирая тактику ведения беременности.
Трансвагинальное
Женщине перед походом в поликлинику необходимо опустошить мочевой пузырь. В кабинете доктора снимается вся одежда ниже пояса. Будущая мать ложится на спину, согнув и раздвинув ноги. В вагину пациентки вводится датчик, на который медперсонал обязательно надевает презерватив. Благодаря данному способу эмбрион обнаруживается спустя 5 суток после задержки.
Абдоминальное
При абдоминальном УЗИ медик водит датчиком по животу беременной. Предварительно кожу пациентки и сам датчик обрабатывают специальным прозрачным гелем.
Смазка предотвращает проникновение воздуха между телом и прибором, а также обеспечивает скольжение. Воздушные пузырьки могут стать причиной помех. Подобная процедура эффективна после 7 суток задержки.
Далее беременных обследуют этим способом на протяжении всего времени вынашивания ребёнка.
За 3 часа до манипуляции женщина наполняет мочевой пузырь и не опорожняет его. Если подобное выдержать трудно, можно выпить от полутора до литра воды без газа за 60 минут до процедуры. Исследование может причинить женщине неудобство из-за необходимости терпеть. Однако после ультразвука можно и нужно посетить туалет. Пустой мочевой пузырь не позволит точно выявить беременность.
Расшифровка первого обследования
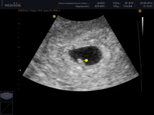
Во время первого ультразвука специалист-диагност выявляет образование с повышенной эхогенностью. Так выглядит плодное яйцо, величина которого позволяет судить о сроке данной беременности.
Ещё на мониторе будут видны желточный мешок, расположение зародыша, толщина внутреннего слоя матки. Врачи убедятся в отсутствии у женщины воспалений, полипов, кист и опухолей. Расшифровывать данные должен только профильный диагност.
Во время первого УЗИ обнаруживаются:
- круглое или каплевидное образование с низкой эхогенностью размером 3-5 мм. Его размер определяет срок;
- тонкая оболочка вокруг развивающегося ребёнка;
- жёлтое тело – оно вырабатывает прогестерон, способствующий сохранению плода.
Более поздние обследования необходимы для наблюдения за развитием ребёнка. С их помощью можно исключить или подтвердить различные патологии.
Когда делают УЗИ при беременности?
Когда делают точное УЗИ при беременности? Такой вопрос интересует почти всех женщин, которые планируют родить ребенка. Эта процедура очень важная для определения беременности.
На ее основании проводится оценка развития плода (соответствие гестационному возрасту). Исследование поможет узнать приблизительную дату того, когда именно должен родиться ребенок.
Именно, исходя из этих критериев, акушеры могут делать выводы о том, хватает ли малышу кислорода, есть ли у него необходимое количество питательных веществ и пр.
Когда УЗИ покажет, что женщина беременна
Оплодотворение яйцеклетки происходит сразу же в день овуляции или через несколько дней после нее. За это время сперматозоид должен до нее добраться. После этого происходит слияние этих двух элементов. Получившиеся клетки внедряются в слой слизи матки, где и начинает развиваться плод. Но это еще не значит, что делать УЗИ при беременности можно сразу же в первые дни после оплодотворения.
https://youtube.com/watch?v=lXCS1dYm5w8
Насколько точно УЗИ определяет срок беременности, зависит от нескольких факторов:
- длительность развития плода должна быть достаточной для того, чтобы плод можно было не только разглядеть, но и отличить от полипов на слизистой матки;
- в полости матки не должно быть никаких воспалительных процессов, так как они провоцируют ее отеки (как результат, маленький плод будет незаметным);
- метод исследования должен быть выбран правильно;
- ультразвуковой прибор должен иметь хорошее расширение;
- процедуру должен проводить узкопрофильный специалист, лучше сонолог.
На каком сроке можно более-менее точно определить беременность по УЗИ? Если у врача, который проводит диагностику высокая квалификация и ультразвук имеет расширение высокого качества, то вполне вероятно зародыш можно увидеть размером от 3 до 5 миллиметров в диаметре. Это значит, что можно определить беременность уже через несколько дней после задержки. С какого срока тогда УЗИ показывает беременность после зачатия? Эта цифра будет составлять ровно 21 день.
Но намного эффективнее делать УЗИ на 10 день задержки. Процедура в этом случае проводится при помощи вагинального датчика.
Но не следует надеяться, что УЗИ покажет полностью точный результат. Даже если специалистом было выявлено плодное яйцо, то это никак не означает, что зачатие случилось. Яйцо может оказаться пустым и не иметь внутри себя эмбриона.
Однако 100% точный результат будет видно только по истечению 5 недель после зачатия. В этот период наблюдается сердцебиение у эмбриона.
Но если определение эмбриона не случается и на 7 неделе, то это точный признак того, что беременность не развивается.
Узи на ранних сроках
При возникновении вопроса, на сколько точно УЗИ определяет срок беременности, следует знать, что все зависит от выбранного способа диагностики. На ранних сроках рекомендуется делать трансвагинальное УЗИ. Оно проводится методом введения во влагалище датчика.
Однако трансвагинальное УЗИ не всегда можно использовать. Существуют случаи, когда лучше подождать и не рисковать жизнью и здоровьем своего малыша. Чтобы не случилось непредвиденных проблем, обязательно нужно проконсультироваться со специалистом.
Особенно опасно делать такую процедуру при болях внизу живота или же наличии выделений темного цвета.
При таких симптомах нужно делать трансвагинальное УЗИ только в случаях возможного развития внематочной беременности или других патологических процессов.
Исследование УЗИ может не только показать, на каком сроке находится беременность. Существует еще много немаловажных факторов:
- может показать внематочную беременность;
- акушерский сотрудник сможет установить размещение плода, подтвердить факт успешного зачатия;
- если тест не показал положительный результат, а у женщины есть задержка, врач сможет выяснить ее причины;
- во время проведения УЗИ врачи ставят срок беременности;
- определяется количество плодов, которые находятся в матке;
- на УЗИ ставят диагноз по угрозам преждевременного прерывания беременности, которое может наступить вследствие неполноценного вынашивания ребенка.
Но беременным женщинам, у которых не наблюдается отклонений, необходимо проводить исследование не раньше 5 недель с момента зачатия. Это позволит выяснить, насколько правильно происходит развитие эмбриона.
Как проводят процедуру
Чтобы акушерский сотрудник мог поставить верный диагноз, к этому исследованию стоит основательно подготовиться. Особенно это касается проверки при помощи датчика:
- в мочевом пузыре не должна находиться моча (он должен быть полностью пустым);
- женщине необходимо снять нижнюю одежду и лечь на акушерскую кушетку;
- датчик помещают в презерватив и вводят во влагалище.
Но делать абдоминальное УЗИ намного проще. Нужно только обнажить живот. Специальным датчиком медицинский специалист должен проводить по необходимым областям живота, чтобы выбрать самый подходящий ракурс.
Как расшифровывается
На ранних сроках беременности можно различить такие признаки:
- можно увидеть круглое или овальное образование;
- диаметр образования будет составлять около 4-5 миллиметров;
- вокруг него можно увидеть тонкую оболочку;
- во время маточной беременности плод будет находиться в углу матки;
- внематочная беременность характерна наличием эмбриона в маточной трубе или даже в брюшной полости.
Также УЗИ можно сделать для определения наличия желтого тела. В нормальном состоянии такая железа должна исчезать до того, как наступят месячные. Если же в период, когда уже должна наступить менструация, желтое тело все же есть, то можно утверждать что женщина возможно беременна.
https://youtube.com/watch?v=6QrCMVLxRDg
На какой день бы не проводилось УЗИ в ранние сроки, существует большая вероятность погрешности. Все зависит от даты зачатия и момента овуляции. Определить такие детали удается далеко не всегда, так что увидеть плодное яйцо в некоторых случаях получается позже, чем на 5 неделе.
На каком сроке УЗИ показывает беременность, когда после зачатия идти на обследование, может ли аппарат показать плод до задержки
Ожидание беременности – трепетное время для пар, которые днем и ночью грезят о малыше. Даже если тест показал две полоски, будущей маме хочется знать наверняка. Когда видно беременность на УЗИ – вопрос, который волнует многих будущих мам.
Когда ультразвук увидит беременность
Увы, определить беременность при помощи УЗИ до задержки не получится. Эмбрион, хоть и развивается очень быстро, пока еще слишком мал.
А на каком сроке УЗИ будет информативным? Забеременеть можно в день овуляции либо в течение нескольких следующих дней. После этого оплодотворенная яйцеклетка проникает в слизистую матки и закрепляется.
Специалист должен обладать достаточной квалификацией, чтобы провести такую тонкую диагностику. Чтобы узнать, на каком сроке показывает беременность УЗИ, лучше обратиться в специализированную клинику. Разумеется, клиника должна быть оснащена современным оборудованием – нужен ультразвуковой сканер с высоким разрешением.
Высококлассный специалист, работающий на качественной аппаратуре, может использовать УЗИ для определения беременности уже на 5-6 день после задержки. На этом сроке размер эмбриона составляет около 3-5 мм в диаметре.
Соответственно, пройдет примерно 3 недели (21 день после зачатия). Конечно, перед исследованием рекомендуется сделать тест на беременность.
Четкость второй полоски зависит от уровня ХГЧ, который растет вместе со сроком беременности.
Оплодотворение могло произойти и за день до овуляции, и за несколько дней – позднее врач сможет сказать точную дату. В зависимости от того, на какой день после овуляции или до нее произошло зачатие, и будет зависеть информативность исследования в ближайшие дни после задержки.
А можно ли делать узи так рано?
Если вы собираетесь идти на ультразвуковое исследование по собственной инициативе только для того, чтобы узнать, «да или нет», то лучше сдать кровь на анализ ХГЧ. Этот метод информативен и абсолютно безопасен. В некоторых случаях он даже показывает «интересное положение» за 1-2 дня до задержки.
Почему не стоит торопиться на ультразвук?
- Воздействие ультразвука на плод пока не изучено до конца. Официально утверждается, что нет данных о том, что ультразвук может навредить плоду. Однако и его полная безопасность не доказана. Есть данные российских и зарубежных ученых о том, что такое исследование все же воздействует на эмбрион. Мы, конечно, не призываем к тому, чтобы полностью отказаться от УЗИ при беременности. Умные врачи рекомендуют проводить исследование четыре раза за весь период вынашивания малыша. Больше – только по строгим показаниям. А не для того, чтобы удовлетворить свое любопытство.
- На таком маленьком сроке (3-4 недели после зачатия), плодное яйцо видно не всегда. И это может стать дополнительным поводом для волнений. Чтобы во время исследования было видно беременность, необходимо отсутствие воспаления слизистой матки. Из-за него возникает отечность, и плодное яйцо будет незаметно. Существуют и другие причины, по которым врач может не увидеть будущего малыша, хотя на самом деле он есть.
- На этом сроке врач может лишь подтвердить ваше положение и исключить внематочную беременность. Правильно ли развивается плод, судить пока рано.
Когда назначают ультразвук
Нужно знать, на каком сроке УЗИ считают правильным проводить врачи. Существуют периоды, в которые всем беременным проводят ультразвуковой скрининг. Исследование помогает выявить возможные пороки развития. Врач определяет, соответствует ли размер плода сроку беременности, осматривает плаценту, матку, измеряет сердцебиение.
Оценивает параметры развития плода, исключает развитие патологий. Скрининг впервые проводят в 11-14 недель, потом в 20-24, в 30-32 и в 36-37 недель. Именно на этих сроках исследование наиболее информативно. В процессе первой диагностики определяются такие важные данные как размер плодного яйца, то, как оно прикреплено к матке.
УЗИ на протяжении беременности позволяет исключить отклонения в развитии ребенка.
https://youtube.com/watch?v=39DQiJHyRac
Делать его на сроке до 10 недель нужно только в особых случаях. Специалисты не советуют проводить диагностику на ранних сроках беременности, если врач не говорит о такой необходимости.
Показания к раннему исследованию
В некоторых ситуациях гинеколог может назначить процедуру, не дожидаясь 10 недель. Вот некоторые показания:
- Если при задержке и появившейся второй полоске на тесте гинеколог во время осмотра не наблюдает признаков беременности;
- При наличии болезненных ощущений в нижней части живота (чтобы исключить внематочную и угрозу выкидыша);
- При задержке менструации на 2 недели, после которой начались кровянистые выделения. Это может означать угрозу прерывания;
- Если есть подозрение на замершую беременность;
- Недавние инфекционные заболевания и воздействие тератогенных факторов;
- Если зачатие наступило с внутриматочной спиралью;
- Невынашивание в анамнезе.
УЗИ раннего срока беременности проводят не только для подтверждения зачатия. Иногда бывают случаи, когда возникает длительная задержка, однако гинеколог утверждает, что оплодотворения не произошло. Тогда УЗИ необходимо, чтобы выявить причину – это могут быть различные гинекологические патологии (образование кист, наличие воспалений и т.д.). Выявить их следует как можно раньше.
Как проводится процедура
Виды УЗИ раннего срока беременности:
- Трансвагинальное УЗИ – беременность подтверждается в процессе исследования с использованием специального датчика, на который надевают презерватив для УЗИ и вводят во влагалище. Этот метод является наиболее точным и применяется для самой ранней диагностики. УЗИ показывает беременность уже к 21-22 дням от зачатия.
- Трансабдоминальное. Датчик прикладывается к области живота. Таким образом, сигналу от матки необходимо пройти большее расстояние. Поэтому необходимые данные можно получить еще через 2 недели – примерно на 5-й неделе. В случаях, когда присутствует толстый слой подкожной клетчатки, этот период увеличивается.
Не следует проводить трансвагинальное УЗИ при наличии болевых и тянущих ощущений в нижней части живота, а также если беспокоят коричневые или кровянистые выделения.
На раннем сроке можно определить беременность на УЗИ с точностью до нескольких дней, ведь все малыши в этот период развиваются одинаково.
В течение беременности может проводиться двух-, трех-, четырехмерное ультразвуковое исследование. Однако на ранних сроках применяют только двухмерное как наиболее безопасное.
Как подготовиться к исследованию? На четкости получаемых данных может сказаться метеоризм – газы могут помешать рассмотреть структуру матки. Чтобы избежать этого, рекомендуется придерживаться диеты перед исследованием. За 3 дня до УЗИ исключают из рациона:
- бобовые продукты;
- капусту;
- сдобную выпечку;
- газировку;
- свежие фрукты.
При трансабдоминальном УЗИ необходимо, чтобы мочевой пузырь был наполнен. Следует за час до процедуры выпить несколько стаканов минеральной воды без газа.
Если беременность не подтверждена
Нужно знать не только когда УЗИ покажет беременность, но и причины, по которым она не подтверждается. Иногда тест говорит о том, что беременность есть, а при проведении ультразвукового исследования эмбрион не обнаруживают.
Например, при слишком раннем проведении процедуры. При задержке в несколько дней тест уже может показывать вторую полоску, однако на УЗИ можно не заметить эмбрион – его размер меньше одного миллиметра. Поэтому сразу бежать на УЗИ не надо.
Даже если не терпится, следует подождать 2 недели.
Хорионический гонадотропин может повышаться вследствие опухолевых образований в печени, а также при пузырном заносе при беременности — это опасная аномалия, поэтому возникает необходимость в дополнительном исследовании.
Вероятность ошибки при проведении УЗИ на ранних сроках составляет примерно 1:10. Она может быть обусловлена некачественной аппаратурой или недостаточной квалификацией специалиста. Однако такие случаи становятся все более редкими. Как правило, даже на раннем сроке врач может определить точную дату зачатия.
Интересно, конечно, узнать, через сколько дней можно увидеть пол ребенка. Но на ранних сроках этого никто не сообщит. Поэтому с уверенностью выбирать розовое или голубое можно будет только после 15-18 недели.





