Что такое микрофтальм
Микрофтальм — патологическое состояние, развивающееся у плода в утробе матери.
Развивается самостоятельно или с другими врожденными дефектами.
Это врожденный порок глаз. У некоторых новорожденных глазное яблоко отсутствует полностью, но некоторые ткани глаза есть.
Под микрофтальмом понимается аномальное развитие одного или обоих глаз. Они не соответствуют нормам, слишком маленькие.
Патология приводит к слепоте или ограниченному зрению. По оценкам исследователей на каждые 5300 младенцев 1 рождается с микрофтальмом. Это означает, что около 780 младенцев в год рождается с аномалией глаз.
Причины микрофтальма
Причину заболевания следует искать в генах. Микрофтальм вызывается изменениями многих генов, участвующих в раннем развитии глаза, большинство из которых не были идентифицированы.
Изолированный тип заболевания иногда наследуется в аутосомно-рецессивной модели, что означает — обе копии гена в каждой клетке подверглись мутации. Родители новорожденного с аутосомно-рецессивным состоянием имеют один экземпляр мутированного гена.
Заболевание вызывает синдром Деллемана (окулоцереброкутанный, ОЦКС) и инфекция, которую перенесла женщина при беременности (краснуха, цитомегаловирус или токсоплазмоз). Микрофтальм развивается при приеме некоторых лекарственных средств, таких как Изотретиноин или Талидомид при вынашивании плода.
Воздействие токсических веществ тоже приводит к развитию патологического состояния. К развитию аномалии приводит синдром Айкарди и Пэтау, фиброплазия, эндофтальмит.
Важно отметить, что микрофтальм вызывается факторами окружающей среды, влияющими на раннее развитие человека:
- наркотики;
- частое проведение рентгена;
- излучение;
- пестициды;
- химикаты;
- дефицит витаминов во время беременности.
Ученые заявили, что исследование причин заболевания продолжается. Иногда невозможно определить, почему ребенок родился с аномалией.
Группа риска
Заболеванию подвержены те, у кого в семейном анамнезе имеются случаи микрофтальма. К группе риска относят женщин, работающих с токсическими и химическими веществами, бесконтрольно употребляющих лекарства и наркотические средства.
Классификация микрофтальма
Микрофтальм бывает односторонним или двусторонним. Последняя форма встречается у 10% слепых детей.
Также выделяют следующие виды заболевания:
- Идиопатический. Означает, что врачам не удалось установить причину развития болезни.
- Наследственный. Данная форма у детей с рождения. Наследуется аутосомно-доминантным или аутосомно-рецессивным путем.
По сложности развития выделяют простой и комбинированный микрофтальм. Простой означает отсутствие других аномалий, комбинированный — сочетается с другими заболевания переднего отрезка глазного яблока.
Еще одна классификация:
- колобоматозный;
- неколобоматозный.
До 50% пациентов имеют сопутствующие аномалии зрительной системы. У большинства больных заболевание одновременно развивается с криптофтальмом (полный, неполный, абортивный), кистой глазницы.
Симптомы микрофтальма
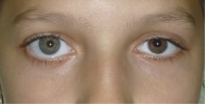
Микрофтальм характеризуется маленьким глазом, который вызывает незначительные жалобы. Обычно речь идет о врожденной форме заболевания, поэтому диагноз ставится сразу после родов.
Микрофтальм способен повлиять на один глаз или оба. Размер зрительного органа достигает 10 мм, само яблоко имеет неправильную форму, роговица расплюснута, ее диаметр не более 0,6 см.
Иногда глазное яблоко и роговица сформированы правильно, но имеют уменьшенные размеры.
У людей с микрофтальмом может быть колобома. Колобома — это отсутствие части глазной оболочки. Появляется в виде вырезов или промежутков в:
- цветной части глаза, называемой радужной оболочкой;
- сетчатке, которая является специализированной светочувствительной тканью, выравнивающей заднюю часть глаза;
- слое кровеносного сосуда под сетчаткой, называемым хороид;
- зрительных нервах, которые несут информацию из глаз в мозг.
Колобомы могут присутствовать в одном или обоих глазах. Влияют на зрительное восприятие.
У детей с микрофтальмом могут быть и другие нарушения зрения, в том числе помутнение хрусталика глаза (катаракта) и суженное отверстие глаза (суженная пальпебральная трещина). Кроме того, наличие данной патологии повышает риск развития глаукомы.
Микрофтальм относится к синдрому Ленца, иногда вызывает аномалии других систем. Другие признаки:
- нарушение остроты зрительного восприятия;
- лентиконус;
- экстазия.
Диагностика микрофтальма
Чаще аномалия носит односторонний характер. Ее невозможно не заметить.
Диагноз ставится детским офтальмологом или педиатром во время внешнего обследования глазных структур вскоре после рождения. Педиатр открывает веки, чтобы проверить наличие глазной ткани. Если односторонний тип, проводится расширенное исследование другого глаза, чтобы выяснить, есть ли другие глазные пороки, способные привести к снижению зрения человека.
Часто врачам не удается установить фактор, влияющий на развитие микрофтальма.
При необходимости проводят УЗИ и МРТ головы.
В постановке диагноза принимает участие окулист, генетик, педиатр, окулопластический хирург, невролог и эндокринолог.
Генетик и генетический консультант помогают семье координировать уход и раннее вмешательство для удаления аномалии. Эти медицинские работники также оказывают постоянную поддержку и помощь в поиске ресурсов в данной области. Команда генетиков проводит подробную оценку, которая включает беременность и историю болезни, чтобы попытаться определить причину микрофтальмии.
Генетическое тестирование помогает в постановке диагноза. Хромосомы не показывают субмикроскопических изменений генов. Они не будут отображаться в хромосомном исследовании.
Учитывая быстрые темпы изменений в генетике, пострадавший ребенок должен быть снова осмотрен через 2–3 года.
Дополнительно новорожденному проводят:
- биомикроскопическое исследование;
- визометрию;
- рефрактометрию.
Микрофтальм диагностируется во время беременности или после родов. Во время беременности врачи могут идентифицировать болезнь помощью УЗИ или КТ (специального рентгенологического теста), а иногда с помощью определенных генетических тестов.
Лечение микрофтальма
В настоящее время не существует лечения тяжелого микрофтальма, восстанавливающего зрение или создающего новый глаз. Люди с менее тяжелыми формами могут воспользоваться медицинскими или хирургическими методами терапии. Почти в каждом случае возможно улучшения внешнего вида.
Детям предлагают установить протез. Новорожденному нужно посетить ряд специалистов, чтобы получить разрешение на оперативное вмешательство:
- педиатр;
- хирург;
- генетик.
Каждый специалист предоставит информацию и возможные формы лечения, что позволит обеспечить наилучший уход как за ребенком, так и за членами его семьи.
Специалист в области протезов для глаз сделает тонкостенные протезы — это изделия, помогающие придать нормальный размер и форму органу зрения. По мере развития потребуются новые изделия.
Окрашенный протез, который выглядит как второй глаз, обычно устанавливается в возрасте 1–2 лет.
Каждые несколько недель до 2 лет, ребенку будет необходим конформер (линза из прозрачного пластика) большего размера. Если ребенку нужно носить их после двух лет, окрашивают как обычный протез. Среднестатистическому ребенку с микрофтальмом до 10 лет потребуется 3–4 раза менять протез.
Оперировать необходимо в любом случае. Если несвоевременно установить протез, объем костной орбиты уменьшиться, что приведет к недоразвитию мягких тканей. Результат — асимметрия лица.
Кроме установки конформеров, возможно применение расширителей. Они помогают увеличить глазницу.
Лекарственные препараты используются в качестве дополнительного средства. Назначают растворы для обработки контактной оптики, Хлоргексидин и Мирамистин.
Осложнения микрофтальма
Заболевание приводит к образованию множественных кист, кератита, конъюнктивита. В тяжелых случаях наступает полная слепота.
https://youtube.com/watch?v=8tbrjuSPWmg
Врачи доказали, что пациенты с врожденным дефектом глаз входят в группу риска по развитию злокачественных образований внутриорбитальной локализации.
Прогноз
Заболевание имеет неблагоприятный прогноз. Большинству детей приходится использовать протезы всю жизнь. Если изначально зрение было хорошим, то в будущем может наступить полная слепота. Серьезных осложнений избежать получится, если принять своевременные меры.
Профилактика
Профилактических мер не существует. Беременным женщинам рекомендуется лучше следить за своим здоровьем, избегать людных мест, чтобы не подцепить инфекцию и не лечиться лекарствами, которые не одобрены гинекологом и терапевтом.
Важно регулярно посещать офтальмолога, проводить анализ каждой стадии болезни и изучать изменения зрительных органов, которые микрофтальм порождает.
Плохое зрение значительно ухудшает качество жизни, лишает возможности видеть мир таким, каким он есть. Не говоря о прогрессировании патологий и полной слепоте.
Микрофтальм: причины, симптомы и лечение
При нормальных условиях глазные яблоки человеческих глаз идентичны по размеру. Однако в крайне редких случаях возможно развитие патологии, при которой один из органов зрения визуально и фактически меньше другого. Заболевание чаще всего относится к врожденным патологическим процессам, ранняя диагностика которого является ключевым условием предотвращения серьезных осложнений.
Диагноз «микрофтальм» специалисты ставят при случае, когда ось яблока глаза не превышает 21 мм у взрослого человека и 19 мм у ребенка. Очень часто течение описываемой патологии приводит к существенному снижению остроты зрения вплоть до развития полной слепоты.
Что такое микрофтальм?
Микрофтальм – офтальмологический недуг, выражающийся в уменьшении размерных характеристик глазного яблока. Это заболевание поражает одного пациента на 10 000. Оно одинаково часто диагностируется как у мужчин, так и у женщин.
Причины врожденной патологии представлены:
- дегенеративными или воспалительными изменениями в утробе матери. Они могут появляться в результате прогрессирования инфекций, распространяющихся на плод. Речь идет о герпесе, токсоплазмозе, краснухе;
- тератогенными факторами (принятие беременной женщиной алкогольных напитков, курение сигарет, использование медикаментов, воздействие на организм будущей матери ионизирующего излучения);
- генетическими патологиями, выражающимися в аномальном развитии анатомических структур;
- амниотическими перетяжками (они сдавливают тело плода и замедляют процесс развития последнего).
В редких случаях речь идет о приобретенной болезни, и тогда причиной может быть:
- воздействие излучения;
- ретролентальная фиброплазия;
- токсоплазмоз;
- операции, перенесенные в детском возрасте.
Специфика клинической картины недуга определяется уровнем развития заболевания. Чаще всего у больного диагностируется необратимая потеря зрительной функции. Редко зрение пациента несущественно снижено или соответствует норме. В числе прочих жалоб людей, страдающих патологией:
- активное слезоотделение;
- чувство инородного объекта в глазу;
- патологические процессы век (колобома, лагофтальм и пр.);
- болезненность глаза.
Кроме этого, у больного диагностируется деформация лицевой области – брови опускаются, уголок рта и крыло носа приподнимаются со стороны поражения.
Микрофтальм первично диагностируется при визуальном осмотре. В целях подтверждения генетической природы патологии проводят исследования крови и эпителия.
Прибегают также к биомикроскопии органа зрения, которая позволяет определить степень помутнения и произвести оценку кондиции орбитальной оболочки. Визиометрия помогает определить остроту зрения.
Рефрактомию назначают для диагностики близорукости, дальнозоркости. С помощью УЗИ выявляются структурные аномалии органа.
Заболевания
Чаще всего поражается только один орган зрения, однако, встречаются случаи распространения патологии и на оба глаза. Соответственно, выделяют одностороннее и двустороннее заболевание.
https://youtube.com/watch?v=cRr69n4-9r0
Кроме этого, отмечают идиопатический и наследственный недуг. В первом случае симптомы заболевания проявляют себя после рождения ребенка и часто во взрослом возрасте (внутриутробная среда не служит фактором, провоцирующим патологию).
При наследственной природе болезни патология передается на уровне генов от родителя.
Неэффективность терапевтического курса при рассматриваемой патологии – явление нередкое. Однако если начать лечение на ранней стадии его проявления, надежда на приостановление прогрессирование заболевания есть.
При полной потере зрения пациенту назначается косметическое протезирование. В начальный период традиционно применяют телескопические очки для коррекции зрения.
Медикаментозная терапия осуществляется в качестве дополнительного лечебного направления. Специалисты отдают предпочтение антисептикам (Хлоргексидину, Мирамистину и пр.). При ношении протеза ни один из видов капель применять нельзя. На этот счет лучше посоветоваться с врачом.
Хирургия применима только при достижении пациентом 7-8 лет. Операция показана при глаукоме, катаракте, отслойке глазной сетчатки. Не исключена и пластическая операция, в ходе которой улучшается внешний вид пораженного органа и устанавливается протез.
Следовательно, уменьшение глазного яблока чаще всего выступает врожденной патологией. Ранняя диагностика заболевания предотвращает развитие необратимых последствий. Терапевтический курс не позволяет пациенту полностью выздороветь, а лишь останавливает темп развития недуга и устраняет косметический дефект путем установки протеза.
Микрофтальмия: что это такое, микрофтальм у детей, причины, симптомы и лечение
Микрофтальмия — это достаточно редкая патология, для которой характерно уменьшение размера глаз. Основными проявлениями микрофтальмии служит снижение зрения, усиленная слезоточивость, асимметрия и появлением болевого синдрома при формировании кист в глазу. Лечение патологии проводится с применением различных методов и средств, в том числе путём хирургического вмешательства.
У здорового человека глазные яблоки имеют одинаковый размер. В исключительных случаях может развиваться аномалия, при которой размер одного из органов зрения меньше другого. Преимущественно болезнь носит врождённый характер и при ранней его диагностике удаётся предупредить появление опасных последствий.
Диагноз «микрофтальмия» пациенту ставится в ситуации, когда ось глазного яблока у взрослого не выходит за пределы 21 мм, а у детей — 19 мм. Нередко прогрессирование аномалии сопровождается значительным понижением зрения и наступлением абсолютной слепоты.
Особенности микрофтальма у детей
Часто причинами аномалии глаза являются различные болезни женщины во время беременности и при родовой деятельности. В некоторых случаях микрофтальмия становится проявлением генетического синдрома.
Диагностировать недуг удаётся во время первого медицинского осмотра ребёнка после появления на свет.
Для установки и подтверждения диагноза выполняется анализ клинической картины, осмотр офтальмолога, изучается анамнез и подбираются дополнительные процедуры.
Причины развития
Микрофтальм способен прогрессировать изолированно либо становиться проявлением какого-либо генетического недуга. Нередко врачам не удаётся установить этиологию такого заболевания.
Среди частых причин появления заболевания специалисты выделяют различные патологические процессы, протекающие в женском организме в период внутриутробного развития младенца.
Они способны носить воспалительный либо дегенеративный характер, и нередко прогрессировать одновременно с различными инфекциями. В большинстве случаях микрофтальм передаётся по наследству от родителей к детям.
https://youtube.com/watch?v=25u7IcNYJ4E
Высок риск поражения глаза в период внутриутробного инфицирования младенца такими инфекциями, как краснуха, токсоплазмоз и вирус герпеса. Проникнув через плаценту, инфекционные агенты попадают в кровь ребенка и становятся причиной различных пороков.
Кроме этого, микрофтальмия может развиваться при употреблении женщиной во время беременности алкоголя, медикаментозных средств и при курении, а также при воздействии ионизирующего излучения на организм.
В редких случаях приобретённая микрофтальмия может развиваться под воздействием:
- Ретролентальной фиброплазии;
- токсоплазмоза;
- хирургического вмешательства на глазах, выполненного в детском возрасте.
Ещё одной причиной патологии могут служить амниотические перетяжки, которые сдавливают тело плода и тем самым замедляют его развитие.
Классификация заболевания
Чаще всего у пациентов диагностируется одностороннее поражение глазного яблока и лишь в некоторых случаях — двустороннее. Микрофтальм считается частым проявлением генетических патологий, протекающих в организме. Изолированную микрофтальмию подразделяют на следующие виды:
- Идиопатическая. Такой диагноз, как «идиопатическая микрофтальмия» указывает на то, что не получилось выяснить причину заболевания. Кроме этого, идиопатическое заболевание исключает воздействие неблагоприятных факторов на плод при его внутриутробном развитии.
- Наследственная. С учётом типа наследования такую разновидность недуга классифицируют на аутосомно-рецессивный, аутосомно-доминантный и Х-сцепленный. Разнообразие типов передачи заболевания объясняет высокую распространённость микрофтальмии.
Симптомы
Чаще всего при микрофтальмии наблюдается одностороннее уменьшение размера глаза, но могут диагностироваться и двусторонние процессы.
Видимый дефект внешности связан с существенным уменьшением величины глазного яблока и часто он не превышает 1 см.
Орган зрения становится неправильной формы, понижается прозрачность роговицы, и она заметно утолщается. Лишь в редких случаях диаметр роговицы превышает 6 мм.
Иногда диагностируется микрофтальм с правильным формированием глаза, но чаще выявляются дополнительные пороки развития органа. При микрофтальмии может развиваться следующая симптоматика:
- повышение внутриглазного давления;
- глаукома;
- понижение зрения;
- эктазия склеры задней стенки;
- лентиконус.
При переходе патологии в запущенную форму может выявляться отслойка сетчатки. При сильном уменьшении размеров глаза отмечается деформация костей лица. У пациента с микрофтальмией могут опускаться брови, приподнимаются крылья носа и уголки рта на стороне поражения. При отсутствии своевременной терапии асимметрия лица ещё больше усугубляется вместе с ростом ребёнка.
Методы диагностики
Первично микрофтальмию удаётся диагностировать при проведении визуального осмотра. Такая патология является генетической, поэтому дополнительно проводится ДНК-анализ. Материалом для его проведения служит кровь либо буккальный эпителий.
Офтальмологическое обследование включает проведение следующих процедур:
- биомикроскопия глаз.
- визометрия;
- рефрактометрия;
- УЗИ глаз;
- КТ орбиты.
Необходимо отличать порок развития глаза от анофтальма, нанофтальма и криптофтальма. Кроме этого, пациентам с микрофтальмом обязательно показана консультация генетика.
Способы лечения
Микрофтальм является патологией, при лечении которой не всегда удаётся добиться положительного результата.
При диагностировании заболевания на начальной стадии развития возможно затормозить её дальнейшее прогрессирование и предупредить дальнейшее снижение зрения.
При наступлении слепоты пациенту предлагается выполнение косметического протезирования. При микрофтальмии на начальной стадии развития может проводиться коррекция с применением телескопических очков.
Медикаментозное лечение при микрофтальме применяется в качестве дополнительного средства. Пациенту может назначаться применение средств с антисептическим действием:
- Мирамистин;
- Хлоргексидин;
- растворы для обработки контактных линз.
При полной потере зрения больному подбирается косметическое протезирование. На начальной стадии развития болезни назначается ношение телескопических очков для коррекции зрения.
https://youtube.com/watch?v=Sykad0Bt2hw
Хирургическое лечение включает в себя проведение следующих процедур:
- Задний бандаж склеры. Такой вид оперативного вмешательства проводится при незначительной гиперплазии глазного яблока.
- Косметическое глазопротезирование. К такой операции прибегают при гиперплазии глаза 5 мм и более. Сохранить подвижность яблок удаётся за счёт тонкостенного протеза. При повышенной чувствительности роговичного слоя проводится его деэпителизация.
- Имплантационная методика. К применению такого метода прибегают в том случае, если переднезадний вектор не превышает 10 мм. В ходе хирургического вмешательства в ретробульбарное пространство вводят кожно-жировой трансплантат и делают отсроченное протезирование.
Хирургическое лечение микрофтальма проводят лишь в том случае, если пациенту исполнилось 7-8 лет.
Прогноз и профилактика
В том случае, если не выявить патологию в самом начале её развития и не провести необходимое лечение, то высока опасность полной потери зрения. Именно по этой причине важно провести необходимую диагностику и подобрать эффективную терапию.
При таком заболевании прогноз для жизни и трудоспособности вполне благоприятный. При развитии микрофтальма на фоне генетического заболевания прогноз определяется особенностями течения основного недуга. Ранняя терапия позволяет избежать развития различных осложнений, предупредить снижение остроты зрения и нарушение симметричности лица.
На сегодняшний день отсутствуют какие-либо специальные меры профилактики такого заболевания, как микрофтальмия.
Неспецифическая профилактика включает своевременную диагностику и лечение различных инфекций, а также предотвращение воздействия тератогенных факторов на организм.
В том случае, если у пациента отягощённый наследственный анамнез, то рекомендуется пройти генетический скрининг. Женщинам в период беременности необходимо отказаться от вредных привычек и принимать лекарственные препараты лишь под контролем специалиста.
Микрофтальм считается серьёзным заболеванием органов зрения, которое практически не поддаётся лечению с полным восстановлением функции. При выявлении патологии основной акцент делается на остановку дальнейшего прогрессирования симптомов патологии и улучшение внешнего вида пациента за счёт протезирования.
Врожденный микрофтальм и анофтальм. Памятка родителям
Уважаемые родители, для вас издана памятка с ответами на многие тревожащие вопросы. Авторы старались донести достоверную информацию максимально кратко и четко. Ниже приведен отрывок.
Ответы на часто возникающие вопросы
Ребенку поставили диагноз «врожденный анофтальм/ микрофтальм». Что это такое?Анофтальм – отсутствие глаза.Микрофтальм – уменьшение, внутриутробное недоразвитие глазного яблока. Такой глаз выглядит значительно меньше здорового, либо его не видно вообще. Чаще односторонний, иногда двусторонний.
Микрофтальм бывает 3 степеней:
- 1 – легкой (нанофтальм), когда уменьшение на 1 — 2,5 мм относительно здорового (интактного) глаза. Здоровый глаз новорожденного имеет длину (ПЗО – передне-задняя ось глаза) 17 — 18 мм, у недоношенных детей– 16 — 17 мм.
- 2 – средней – уменьшение на 2,5 — 4,5 мм.
- 3 – тяжелой степени (рудимент глазного яблока), когда длина ПЗО глазного яблока, по данным УЗИ, менее 12 мм. Глаз может быть уменьшен настолько, что создается впечатление его отсутствия.
Есть ли зрение при микрофтальме? В большинстве случаев зрение отсутствует. В редких случаях имеется остаточное зрение.
Почему важна ранняя диагностика и лечение?При средней и легкой степени микрофтальма и наличии зрительных функций лечение направлено на выявление и лечение возможных заболеваний, приводящих к снижению зрения (врожденная катаракта, глаукома, гиперметропия (дальнозоркость)).
Несвоевременная диагностика и лечение микрофтальма может привести к потере имеющегося зрения.Основная проблема при врожденном анофтальме и микрофтальме тяжелой степени – малые размеры костной орбиты.
При отсутствии зрительных функций необходимо раннее (с 1 — 3 месяцев) ступенчатое протезирование.
Почему необходимо протезировать таких маленьких пациентов? Можно ли отложить эту манипуляцию на более поздний срок? Три первых года глаз интенсивно растёт, к концу третьего года длина ПЗО (передне-задняя ось) глаза достигает 18 — 23 мм (средняя длина глаза взрослого 23 мм).
Окостенение швов черепа завершается к 5 годам, именно поэтому это самый ответственный период. Длина здорового глаза наследственно обусловлена и, как все остальные параметры, может сильно варьироваться. Величина глаза у взрослых составляет 19 — 27 мм.
Врожденный анофтальм и микрофтальм 3 степени могут привести к уменьшению объема костной орбиты и недоразвитию мягких тканей. Вследствие чего возникнет асимметрия лица.
Как выглядит врожденный анофтальм?При врождённом анофтальме и микрофтальме тяжелой степени веки на стороне заболевания короткие, иногда завернуты, у внутреннего угла формируется полулунная складка кожи (эпикантус), в конъюнктивальной полости глазного яблока не видно, полость уменьшена в объеме.
Микрофтальм 3 степени может выглядеть как анофтальм (отсутствие глаза), так как глаз настолько мал, что его не видно при осмотре (глаз выявляют только специальными методами исследования: магнитно-резонансной терапии (МРТ) или мультиспиральной компьютерной томографии (МСКТ)).
Как часто встречается такая врожденная аномалия? Частота встречаемости заболевания в популяции 1:10 000 — 1:20 000 человек.
Это заболевание встречается чаще у мальчиков или у девочек? Врожденный анофтальм и микрофтальм одинаково часто наблюдают у мальчиков и девочек.
Почему рождаются дети с такой патологией?Причин появления такой патологии несколько: 1. Перенесенные матерью заболевания до и во время беременности.Внутриутробно глазное яблоко закладывается на 9 неделе беременности.
Перенесенные на ранних сроках воспалительные процессы (вирусные инфекции, корь, краснуха, токсоплазмоз, цитомегаловирус, ветряная оспа, опоясывающий лишай и другие) могут привести к нарушению внутриутробной закладки и развития глазного яблока и век. 2. Наследственно-генетические заболевания.
«Поломка» в генах одного или обоих родителей может произойти в период жизни под действием разных факторов (радиация, интоксикация и другие) и/или передаться по наследству от предков. Семейный характер анофтальма/микрофтальма считают подтверждением наследственной теории развития данного состояния.
3. Механические причины: амниотические тяжи или сдавление глаза пуповиной.
Внеглазные проявления включают в себя врожденные пороки сердца, когнитивные нарушения, мальформации (отклонения от нормального физического развития) легких, почек, лицевой дисморфизм.
Как проводится генетический анализ? Что и где берут для аналиа генотипа? Для ДНК-диагностики исследуют клетки буккального эпителия (слизистой внутренней поверхности щеки) или кровь. Исследования абсолютно безопасные и безболезненные, проводятся в специализированных генетических лабораториях и институтах (на базе перинатальных центров).
Как и когда лечат врожденный анофтальм и микрофтальм? Цель лечения врожденного анофтальма и микрофтальма тяжелой степени:
- профилактика прогрессирующей асимметрии лица;
- коррекция роста костей орбиты;
- правильное формирование конъюнктивальной полости и век;
- исправление анатомо-косметического дефекта;
- избавление от психологической травмы (в первую очередь родителей);
- адаптация ребенка в коллективе.
Когда необходимо начать лечение?Лечение начинают как можно раньше (с 1 — 3 месяцев).Применяют метод ступенчатого протезирования. В конъюнктивальную полость вставляют глазной протез той формы, которая будет удерживаться в орбите (он может быть шаровидной, в форме оливы, грибовидной и других форм).
Протез через 2 — 4 недели нужно заменить на подобный большего размера. Это необходимо, поскольку в таком возрасте ребенок быстро растет и задержка роста костей орбиты может вызвать выраженную асимметрию лица.Первые полгода протез меняют в среднем 1 раз в месяц, затем несколько реже: раз в 3 месяца. После 1,5 — 2 лет – 1 раз в полгода.
https://youtube.com/watch?v=Vw97G4MTTmI
По достижении ребенком 3 лет интенсивный рост замедляется, и до 14 — 18 лет возможна более редкая замена протеза, но не реже, чем 1 раз в год.
Частота замены протеза зависит от интенсивности роста ребенка.
Если первые протезы не удерживаются в полости и выпадают, то удерживают их в полости орбиты фиксирующими повязками или изменяют форму протеза на ту, которая будет устойчивой.
Что важно для успешного лечения?Очень важно терпение, доброжелательность в семье и позитивный настрой родителей.
Лучше, если в семье не используют слово «протез глаза», а называют его «линзой». Это слово привычнее. Старшим детям мы рассказываем про наши «волшебные» глаза.
Хирургическое лечение
В первые годы жизни хирургическое лечение противопоказано.
ПРОТИВОПОКАЗАНО:
- удаление глазного яблока в раннем детском возрасте (до 3 лет), когда идет интенсивный рост орбиты;
- наружная кантотомия (небольшой разрез век в наружном углу глазной щели);
- выполнение блефароррафии (сшивания краев век) для удержания протеза в полости без формирования культи;
- операции с пересадкой лоскутов кожи и слизистой оболочки губы для увеличения конъюнктивальной полости;
- неоднократные хирургические вмешательства, выполненные с короткими интервалами.
К хирургическому лечению можно переходить, когда исчерпаны возможности протезирования. Целесообразно отложить его до достижения ребёнком 5 — 7-летнего возраста.
В качестве первичной коррекции возможна пластика культи, пластика внутреннего и наружного углов век, устранение заворота век и лагофтальма, формирование складки верхнего века с исправлением положения ресниц.
Дальнейшее ведение пациента
При раннем начале протезирования, регулярной смене протезов и последующих корригирующих (подправляющих) операциях прогноз благоприятный.
Как лечится врожденный микрофтальм 1 и 2 степени?При наличии зрительных функций лечение направлено на их развитие и поддержку.
При отсутствии зрительных функций цель лечения – исправление анатомо-косметического (эстетического) дефекта.
Такое лечение важно начать только тогда, когда ребенок сам начинает обращать внимание на особенности своих глаз (обычно девочки – к 3 — 4 годам, мальчики – к 5 — 6 годам).
Возможно использование косметических глазных протезов, склеральных контактных линз, корригирующих операций на веках.
В каких случаях выбирается тот или иной метод лечения? Выбор метода лечения зависит от исходного состояния глаза с микрофтальмом.
Глазной протез – это инородное тело, и к нему нужно привыкнуть. Как правило, пациенты хорошо переносят протезы и быстро учатся правильному уходу за ними.
- Если роговица прозрачная, то она очень чувствительна, и протезирование болезненно.
- Если роговица мутная и сильно уменьшена в размере, то чувствительность глаза меньше.
- Для каждой роговицы есть индивидуальная тактика подбора протеза.
- Все зависит от терпения и позитивного настроя родителей на успех лечения, от умения и желания взаимодействовать со своим ребенком.
- При микрофтальме насильно надевать протез ребенку нельзя!
Как происходит протезирование? Подбирается форма протеза (склеральной линзы), чтобы ее внутренняя кривизна соответствовала кривизне глаза и не доставляла неприятных ощущений.
Родителей и ребенка обучают самостоятельно снимать и надевать линзу, не вызывая болезненных ощущений. Цель – привыкание глаза и тканей глазницы к инородному телу. Затем по этой форме, комфортной для ношения, изготавливают индивидуальный протез.
Иногда подходит протез из имеющегося набора.
https://youtube.com/watch?v=hbZ_RKTB9ak
При использовании протеза прозрачная роговица может со временем помутнеть.
В каких случаях при микрофтальме используют хирургическое лечение?Если глаз видит и диагностированы такие заболевания, как катаракта, врожденная глаукома, они требуют хирургического лечения.
При микрофтальме и отсутствии зрительных функций цель хирургических вмешательств заключается в улучшении или создании условий для ношения глазного протеза.
В некоторых случаях для обеспечения более комфортного протезирования выполняют операции по увеличению глазного яблока (бандажирования) с использованием биоматериала «Аллоплант».
Микрофтальм у детей
Патология, при которой размер глазного яблока у ребенка не достигает 19 мм, встречается редко. Выявить ее можно без проблем. Микрофтальм сопровождается сильным слезотечением, нарушением симметрии лица, неприятным ощущением.
Дефект способен заявить о себе не только в детском возрасте, но и у взрослых. В этом случае размер глазного яблоко только на 2 мм больше, чем у малышей, что значительно меньше нормального размера.
Характеристика нарушения
При врожденной аномалии обычно затрагивается одно глазное яблока, но бывает, что оба имеют недостаточный размер. Случается, что диаметр составляет всего 10 мм, значительно утолщается и мутнеет роговица.
Микрофтальм часто сопровождается инфекционным поражением, протекает в виде воспаления.
Проверенная временем терапия глазных инфекций – инструкция по применению глазных капель Левофлоксацин.
Катаракта может сопровождать проявление недуга
Патология часто сочетается с другими поражениями в виде:
- колобомы сосудов и зрительного нерва;
- лентиконуса;
- эктазии склеры;
- известковой катаракты.
Орган иногда не изменяет форму, но размер яблока не соответствует норме.
Нарушение оптической системы провоцирует появление гиперметропии, ухудшение зрения. Отсутствие лечения может привести к слепоте.
Кроме уменьшения диаметра глаз, при микрофтальме:
- Изменяется форма ушей.
- Образуется заячья губа.
- Опускаются брови.
- Поражаются пальцы.
Со временем приподнимаются уголки глаз, лицо ребенка уродуется, увеличивается его асимметрия. С такой патологией очень трудно адаптироваться в коллективе.
Множество кист, которые располагаются в орбите, вызывают нестерпимую боль, поскольку надавливают на структуры зрительного органа. При микрофтальме нередко присоединяется инфекция, которая приводит к постоянным конъюнктивитам, к развитию кератита. Проникнувшие в оболочку бактерии служат возбудителями эндофтальмита.
У детей, которые обладают аномальным размером глазного яблока, на зрительном органе могут сформироваться раковые новообразования.
Опасный симптом или признак банальной усталости – причины постоянно лопающихся сосудов в глазах.
Причины появления дефекта
Аномалия возникает самостоятельно или служит признаком генетического нарушения. Микрофтальм развивается, когда плод в утробе матери поражается:
- герпесом;
- токоплазмозом;
- коревой краснухой.
Вредоносные микробы, направляясь в кровь через плаценту, провоцируют развитие пороков и дефектов. Патологический размер глазного яблока формируется, когда плотные тяжи Симонара давят на плод и не дают ему развиваться.
Малыш рождается с микрофтальмом, когда мутируют гены, и нарушение переходит по наследству.
Глюкокортикостероид для местного применения в офтальмологии – глазные капли Максидекс.
Вероятность возникновение дефекта увеличивается, когда женщина, которая вынашивается ребенка:
- Употребляет спиртное.
- Курит.
- Увлекается наркотиками.
- Принимает медикаменты.
Приобретенный вид микрофтальма формируется уже в детстве. Внешнее воздействие затрудняет рост глазного яблока. Дефект образуется после операции по катаракте, при заражении токсоплазмозом, при наличии ретролентальной фиброплазии, когда разрушается сетчатка.
Комплексный препарат для лечения инфекций глаз и ушей – глазные капли Нормакс.
Особенности диагностики
Присутствие аномалии определяют уже при наружном осмотре. Для уточнения патологии, что чаще имеет генетическое происхождение, исследуют кровь или частицы эпителия.
Состояние орбитальной оболочки, показатель помутнения проверяют, используя биомикроскопию глаза. Визиометрия позволяет выяснить, насколько упало зрение.
Применяя рефрактомию, выявляют присутствие нарушений в виде:
- близорукости;
- астигматизма;
- дальнозоркости.
Аномалию структуры глазного яблока, наличие новообразований диагностируют на УЗИ.
Протез поможет решить косметическую проблему после удаления зрительного органа
Компьютерная томография назначается перед операцией. К ней прибегают, чтобы узнать строение твердых стенок. Больного обязательно осматривает генетик.
Пренатальный скрининг, который стал проводиться с недавнего времени, помогает дифференцировать патологию. При криптофтальме у малыша нет глазной щели, не растут ресницы. При нанофтальме наблюдается высокая степень дальнозоркости, утолщается склера, иногда развивается глаукома. При анофтальме вместо яблока виден лишь зачаток.
А о том, безопасно ли применение глазных капель Мидримакс расскажет статья.
Лечение
Статья носит информационный характер. Не стоит обращаться на форумы с целью получения рекомендаций по лечению. Только окулист может поставить диагноз, выбрать способ устранения аномалии.
Консервативная терапия не увеличивает глазное яблоко, не вылечивает микрофтальм, но уменьшает возможность возникновения осложнений. Для этого пользуются каплями и мазью Мирамистин, антисептиком Хлогексидин, носят телескопические очки.
Мидриатик, применяемый для диагностики и лечения, – глазные капли Мидриацил.
Хирургическое лечение зависит от степени уменьшения глазного яблока и от того, как долго длится патология. К вмешательству приступают, когда развивается глаукома, отслаивается сетчатка.
Если изменение не превышает 3 мм, выполняют задний бандаж склеры. Во время операции к этой оболочке крепят трансплантат из ткани.
Протез, который способствует сохранению подвижности глазного яблока, необходим при значительной гипоплазии.
Если развитие микрофтальма привело не только к снижению зрения, но и к слепоте, прибегают к пластической операции, чтобы избавить пациента от видимого дефекта. После ее выполнения пораженный глаз закрывают одностенным протезом.
Имплантационная методика показана, если переднезадняя ось изменилась не больше, чем на 10 мм.
Чтобы предотвратить возникновение врожденного вида микрофтальма, женщине, вынашивающей ребенка, нужно отказаться от употребления спиртного, приема психоактивных веществ, перестать курить, а рационально питаться, регулярно обследоваться у врачей.
Когда существует риск, что патология может передаться по наследству, нужно не игнорировать проведение скрининга.
https://youtube.com/watch?v=PF4kI_s8pKU
Не допустить значительного ухудшения зрения, появления асимметричности лица помогает ранняя диагностика аномалии, своевременное лечение инфекционных болезней.
Неосторожность, которая может стать причиной полной потери зрения, – ожог глаз от сварки.
В чем опасность
При микрофтальме растет внутриглазное давление, что чревато развитием глаукомы. Если аномалия сопровождается колобомой сосудистой оболочки, отслаивается сетчатка.
Множественные кисты, сформировавшиеся на орбите, не только приносят неприятные ощущения, но и могут переродиться в злокачественные опухоли.
Дефект обезображивает лицо, что отражается на психическом состоянии ребенка.
Микрофтальм, что, к счастью, встречается редко, полностью не излечивается. Зрительные функции не восстанавливаются. Патология постепенно прогрессирует, может привести к слепоте. Остановить ее развитие, устранить асимметричность можно, прибегая к хирургическим методикам.




