Затемнения в легких на рентгене
Анатомическое строение легких, их способность наполняться воздухом, беспрепятственно пропускающим рентгеновское излучение, позволяет получить при проведении рентгеноскопии, снимок, в деталях отражающий все структурные элементы легких.
Однако, затемнение в легких на рентгене, далеко не всегда отображает изменения в тканях самого легкого, поскольку на уровне легких находятся другие органы грудной клетки и, следовательно, пучок излучения, проходя сквозь тело, проецирует на пленке наложенное друг на друга изображение всех органов и тканей, попадающих в его диапазон.
В связи с этим, при обнаружении любого затемненного образования на снимке, перед тем как ответить на вопрос, что это может быть, необходимо провести четкую дифференцировку локализации патологического очага (в тканях грудной клетки, диафрагме, плевральной полости или, непосредственно, в легких).
Основные синдромы на рентгенограмме
На рентгенографическом снимке, выполненном в передней проекции, контуры легких образуют легочные поля, по всей площади, пересекаемые симметричными тенями ребер.
Крупная тень, между легочными полями образуется совокупным наложением проекции сердца и магистральных артерий.
В пределах контура легочных полей, можно увидеть корни легких, расположенные на одном уровне с передними концами 2 и 4 ребер и незначительное затемнение площади, вызываемое богатой сосудистой сетью, располагающейся в ткани легких.
Все патологические изменения, отражаемые на рентгене можно разделить на три группы.
Затемнения
Появляются на снимке, в тех случаях, когда здоровая часть легкого замещается патологическим образованием или веществом, вызывая вытеснение воздушной части более плотными массами. Как правило, наблюдается при следующих заболеваниях:
- закупорка бронха (ателектаз);
- накопление воспалительной жидкости (пневмония);
- доброкачественное или злокачественное перерождение тканей (опухолевый процесс).
Изменение легочного рисунка
Эту группу изменений можно считать наиболее распространенной. Несмотря на огромный перечень патологий легких, все возможные изменения рентгенологической картины можно отнести к одному из 5 синдромов:
- тотальное (полное) или субтотальное (практически полное) затемнение;
- ограниченное затемнение;
- круглая (шаровидная) тень;
- кольцевидная тень;
- очаговое затемнение.
Просветления
Просветления на снимке отражают уменьшение плотности и объема мягких тканей. Как правило, подобное явление имеет место при образовании в легком воздушной полости (пневмоторакс).
В связи со специфическим отражением результатов рентгенографии на фотобумаге, участки, легко пропускающие излучение, отражаются более темным цветом вследствие более интенсивного воздействия рентгена на ионы серебра, содержащиеся в фотобумаге, участки более плотной структуры имеют светлую окраску. Формулировка «затемнение» на снимке фактически отражается в виде светлого участка или очага.
Синдром тотального затемнения
Тотальное затемнение легкого на рентгеновском снимке представляет собой полное или частичное затемнение (не менее 2/3 легочного поля). При этом возможны просветы в верхней или нижней части легкого.
Основными физиологическими причинами проявления такого синдрома являются отсутствие воздуха в полости легкого, увеличение плотности ткани всей поверхности легкого, содержание в плевральной полости жидкости или какого-либо патологического содержимого.
К болезням, способным вызвать подобный синдром можно отнести:
- ателектаз;
- цирроз;
- экссудативный плеврит;
- пневмония.
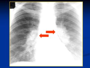
Для осуществления дифференциальной диагностики заболеваний, опираться необходимо на два основных признака. Первый признак заключается в оценке расположения органов средостения.
Оно может быть правильным или со смещением, обычно в сторону противоположную очагу затемнения.
Основным ориентиром при выявлении оси смещения является тень сердца, находящаяся большей частью левее средней линии груди, а меньшей правее, и желудок, наиболее информативной частью которого, является воздушный пузырь, всегда четко просматриваемый на снимках.
https://youtube.com/watch?v=3WIGWb-PPE8
Второй признак, позволяющий идентифицировать патологическое состояние – это оценка однородности затемнения. Так, при однородном затемнении, с высокой долей вероятности можно диагностировать ателектаз, а при неоднородном – цирроз.
Расшифровка результатов, полученных при помощи рентгенографического метода, заключается в комплексной оценке всех визуально обнаруженных патологических элементов в сопоставлении с анатомическими особенностями каждого конкретного пациента.
Синдром ограниченного затемнения
Для выявления причин появления ограниченного затемнения легочного поля, необходимо выполнить снимок в двух направлениях – в прямой проекции и боковой.
По результатам полученных изображений, важно оценить какова локализация очага затемнения.
Если тень на всех снимках находится внутри легочного поля, и сходится размерами с его контурами или имеет меньший объем, логично предположить поражение легкого.
При затемнении, примыкающем широким основанием к диафрагме или органам средостения можно диагностировать внелегочные патологии (жидкостные включения в плевральной полости). Другой критерий оценки ограниченных затемнений – это размер. В этом случае следует рассматривать два возможных варианта:
- Размер затемнения четко повторяет контуры пораженной части легкого, что может свидетельствовать о воспалительном процессе;
- Размер затемнения меньше нормальных размеров, пораженного сегмента легкого, что говорит о циррозе легочной ткани или закупорке бронха.
Особо следует выделить случаи, при которых имеется затемнение нормальных размеров, в структуре которых прослеживаются светлые очаги (полости). В первую очередь, в этом случае, необходимо уточнить, содержится ли в полости жидкость.
Для этого выполняют серию снимков в различных положениях больного (стоя, лежа или при наклоне) и оценивают изменения в уровне, предполагаемой верхней границы жидкостного содержимого.
Если жидкость присутствует, диагностируют абсцесс легкого, а если ее нет, то вероятный диагноз – туберкулез.
Важно! Обнаружение нескольких полостей при ограниченном затемнении легкого характерно для пневмонии, вызванной стафилококком. Такое поражение имеет неблагоприятный прогноз, и часто лечение возможно только с помощью оперативного вмешательства.
На рентгеновском снимке ограниченное затемнение легких в двух проекциях
Синдром круглой тени констатирую тогда, когда пятно на легких имеет круглую или овальную форму на двух выполненных перпендикулярно друг другу снимках, то есть спереди и сбоку. Для расшифровки результатов рентгенографии при обнаружении круглой тени опираются на 4 признака:
- форма затемнения;
- локализация затемнения относительно близлежащих органов;
- четкость и толщина ее контуров;
- структура внутреннего поля тени.
Поскольку тень, отраженная на снимке, в пределах легочного поля, может в действительности находиться за его пределами, оценка формы затемнения может существенно облегчить диагностику.
Так, округлая форма характерна для внутрилегочных образований (опухоль, киста, инфильтрат, наполненный воспалительным содержимым).
Овальная тень в большинстве случаев является результатом сдавливания круглого образования, стенками легкого.
Высокую информативность имеет, и структура внутреннего поля тени.
Если при анализе результатов, очевидна неоднородность тени, например, более светлые очаги, то с высокой степенью вероятности, можно диагностировать распад некрозированной ткани (при распадающемся раке или распаде туберкулезного инфильтрата) или формирование полости. Более темные участки, могут говорить о частичной кальцинации туберкуломы.
Четкий и плотный контур, свидетельствует о наличии фиброзной капсулы, характерной для эхинококковой кисты. К синдрому круглой тени относят только те тени, которые имеют в диаметре более 1 см, тени меньшего диаметра считаются очагами.
Синдром кольцевидной тени
Кольцевидное пятно на легком на рентгене, является наиболее простым для выполнения анализа синдромом. Как правило, кольцевидная тень появляется на рентгене в результате формирования полости, наполненной воздухом.
Обязательным условием, при котором обнаруженное затемнение относят к синдрому кольцевидной тени – это сохранение замкнутого кольца при выполнении снимков во всех проекциях и в различных положениях тела пациента.
Если хотя бы на одном из серии снимков кольцо не будет иметь замкнутое строение, тень можно считать оптической иллюзией.
https://youtube.com/watch?v=Tgqsvu6ozD4
При обнаружении полости в легком следует оценить равномерность и толщину ее стенок. Так, при большой и равномерной толщине контура, можно предполагать воспалительное происхождение полости, например, туберкулезная каверна.
Аналогичная картина наблюдается при абсцессе, когда происходит гнойное расплавление тканей с удаление содержимого через бронхи.
Однако при абсцессе, остатки гноя, чаще всего, продолжают находиться в полости и их полное удаление довольно редкое явление, поэтому обычно такая полость – это туберкулезная каверна.
Неравномерно широкие стенки кольца свидетельствуют о процессе распада рака легкого. Некротические процессы в опухолевой ткани, могут вызвать образование полости, но поскольку некроз развивается неравномерно, опухолевые массы остаются на внутренних стенках полости, создавая эффект «неравномерности» кольца.
Важно! Основной сложностью при оценке кольцевидной тени, является определение локализации образования, так как в большинстве случаев подобный синдром наблюдается при внелегочных процессах (деформация ребер, газы в кишечнике, газы в плевральной полости).
Пятна на легких размером более 1 мм и менее 1 см считаются очагами.
На рентгеновском снимке можно увидеть от 1 до нескольких очагов, расположенных на значительном расстоянии друг от друга или группой.
Если площадь распределения очагов не превышает по площади 2 межреберных пространства, поражение (диссеминация) считается ограниченным, а при распределении очагов на большей площади – диффузным.
Основными критериями оценки очаговых затемнений считаются:
- площадь распространения и расположение очагов;
- контуры затемнений;
- интенсивность затемнений.
При расположении одного или нескольких затемнений в верхних отделах легкого – однозначный признак туберкулеза.
Множество очагов при ограниченном распространении является признаком очаговой пневмонии или результатом распада туберкулезной каверны, расположенной, как правило, несколько выше обнаруженных очагов.
В последнем случае, на снимке может наблюдаться еще и круглая или кольцевидная тень.
В качестве причины появления одиночного затемнения в любой части легкого, в первую очередь, рассматривают вероятность развития рака или метастаза опухоли. Об этом же свидетельствуют четкие контуры тени. Нечеткие контуры свидетельствуют о воспалительном происхождении затемнений.
Для оценки интенсивности затемнений, их сравнивают с изображением сосудов, визуализирующихся на снимке.
Если выраженность очага уступает тени сосуда – это малоинтенсивное затемнение, характерное для очаговой пневмонии или инфильтрированного туберкулеза.
При среднем и сильном затемнении очага, когда выраженность равна или темнее сосудистого рисунка, можно судить о затухании туберкулезного процесса.
Поскольку обширная диссеминация очагов может свидетельствовать о более 100 заболеваниях, для разграничения причин, следует оценивать размеры затемнений. Так, мельчайшие очаги, покрывающие всю площадь легкого, могут означать пневмокониоз, милиарный туберкулез или очаговую пневмонию.
Важно! Независимо от того, какие изменения наблюдаются на рентгеновском снимке легких, при анализе результатов следует учитывать присутствие нормального легочного рисунка, для которого характерно присутствие теней сосудистой системы.
В подавляющем большинстве случаев на основании рентгенографии легких нельзя поставить окончательный диагноз, так как анализ полученного снимка позволяет выявить лишь синдром, характерный для того или иного заболевания.
Если рентген показал затемнение какого-либо участка, то для уточнения диагноза и оценки динамики развития болезни, необходимо провести комплекс лабораторных исследований и дополнительную диагностику с помощью МСКТ, бронхографии, биопсии и т. д.
Синдром округлой и очаговой тени при рентгенографии
В рентгенологии пятно называют тенью. Тень, похожая на пятно и менее 1 сантиметра в диаметре, является очаговой тенью. Очаговой тенью называют очаг размер, которого колеблется от 0,1 см до 1,0 см. Данные патологические очаги характерны для различных нозологических форм.
По происхождению данные очаги могут быть воспалительного и опухолевого генеза, а также обусловлены кровоизлиянием, отеком, ателектазом. Рентгенологический опыт доказывает, что очаги в легких встречаются при воспалительных заболеваниях, которые патологически меняют структуру легочной паренхимы.
В нашей стране также очаги характерны для туберкулеза (очаговый туберкулез). В практике встречается часто, когда в одном легком 2-3 очага, тогда рентгенологи говорят о группе очагов в легком.
Малоопытные и молодые специалисты принимают за очаговые тени сечение сосуда, тень сосков молочной железы, а также отложения кальция в хрящах ребер.
https://youtube.com/watch?v=xAA_A2nlaWo
У очаговой тени есть следующие характеристики:
1) Локализация очаговой тени. 2) Распространенность очаговой тени. 3) Контуры очаговой тени.
4) Интенсивность очаговой тени.
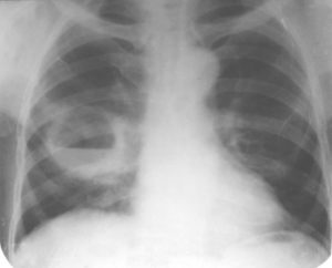
У данного пациента выявляется очаг в средней доле правом легком с полостью распада в центре (указано стрелкой). В соответствии с клиникой больному поставлен диагноз туберкулез.
Белое пятно на рентгеновском снимке легких/белое пятно на снимке легких/ белые пятна легких/два пятна на легких/заболевание легких пятно на легком
Для каждого заболевания есть характерная локализация очага. Для туберкулеза (очаговый туберкулез и туберкулома) характерна локализация в верхушках легких и под ключицей.
При пневмонии локализация может быть любая, но для воспалительных заболеваний легких характерно группа очагов (2-3 очага).
Для периферического рака легкого или метастаза опухоли характерный признак на рентгенограмме одиночный очаг без признаков кальцификации.
Контуры очага бывают резкими и нерезкими. Нерезкие контуры чаще свидетельствуют о воспалительной причине происхождения очага.
Если на рентгенограмме мы встречаемся с единичным очагом с резкими контурами, который расположен не в верхушке и подключичной области, тогда рентгенолог предполагает периферический рак.
Единичный очаг с резкими контурами расположенный в верхушке или под ключицей наводит на мысль о туберкулезе (очаговый туберкулез или туберкулема).
Выделяют следующую структуру очага — однородную или неоднородную. Если рассмотреть на примере туберкулеза легких, то, используя эти свойства, можно сказать фазу заболевания, что учитывается при выборе химиотерапии. Однородная очаговая тень характерная для туберкулеза в фазе уплотнения, а неоднородная для туберкуломы.
У данного пациента выявлены изменения в корнях легкого, что соответствует туберкулезу внутригрудных лимфатических узлов у больного с длительной температурой и кашлем.
Маленькое пятно на легком/небольшое пятно на легком/пятна в легких на рентгене/
Если говорит об интенсивности очаговой тени, то рентгенологи часто сравнивают интенсивность с близлежащими анатомическими структурами, например, с кровеносными сосудами легких.
Выделяют следующую интенсивность очага:
1) малоинтенсивная тень — если очаг визуализируется интенсивностью, как продольный срез сосуда. 2) среднеинтенсивная тень — если очаг визуализируется интенсивностью, как сосуд в осевом сечении.
3) плотный очаг (высокоинтенсивная тень) — если очаг визуализируется интенсивностью выше, чем интенсивность сосуда легкого в осевом сечении.
При малоинтенсивной тени на рентгенограмме в зависимости от клиники возможно заподозрить очаговую пневмонию или туберкулез в фазе инфильтрации (очаговый туберкулез). Среднеинтенсивная тень свидетельствует о затухании процесса туберкулеза, что чаще всего наблюдается при адекватном лечении.
Также рентгенологи отдельно выделяют очаг Гона или заглохший обызвествленный очаг в легком, который вместе с обызвествленным лимфатическим узлом наводит на мысль о первичном туберкулезном комплексе.
Каждый очаг (пятно) если приглядеться уникален, и только опытный рентгенолог в силах сопоставить клиническую картину с картиной на рентгенограмме.
Чтобы избежать ненужных диагностических ошибок рентгенографию делают в двух проекциях, а также выполняют спустя определенное время для оценки очага в динамики.
Допустим, если у 70 летнего курящего всю жизнь пациента обнаружен единичный очаг в легком, то правильней расценивать данное образование, как рак легкого.
У пациента 76 лет выявлена тень правом легком. Первоначально подозревался периферический рак легкого, но диагноз у данного больного — гамартома правого легкого.
Круглое пятно на легком/пневмония легких правой стороны пятна на легких/ пятна на легких причины
Круглое пятно на рентгенограмме соответствует рентгенологическому синдрому круглой тени. О синдроме круглой тени говорят, когда на рентгенограмме визуализируются следующие тени:
1) Одиночные тени круглой формы.
2) Одиночные тени полукруглой формы.
3) Одиночные тени овальной формы.
4) Множественные тени круглой формы.
5) Множественные тени полукруглой формы.
6) Множественные тени овальной формы.
https://youtube.com/watch?v=85UkNzrQp7I
Также важный критерий для того, чтобы сказать, когда на рентгенограмме видна круглая тень — это размер. Размер круглой тени должен составлять более 1 сантиметра так, как тени меньшего размера являются очагами.
Круглая тень, как и очаг, обусловлена разными патологическими причинами в легком, например:
Также круглая тень визуализируют при полостях в легком с жидкостью. Также есть причины, не связанные с патологией легкого, но при которых визуализируется круглая тень — это патология плевры. К ним относится плеврит (воспаление плевры), опухоль плевры, киста.
У пациента киста заполненная жидкостью.
Пятна на правом легком/пятно на левом легком/пятно на легких при флюорографии
Для того, чтобы предположить к какому заболеванию относится круглая тень рентгенолог первоначально отвечает на следующие вопросы:
1) Какой формы тень?
2) Есть ли соотношение с окружающими органами?
3) Какие контуры тени?
4) Какая структура тени?
Форма округлой тени разграничивает процесс на патологический процесс, который внутри и вне легкого. Для внутрилегочной патологии характерно округлый, но, а также тень овальной формы.
Тень овальной формы встречается при кистах легких, которые заполнены жидкостью.
Также тень овальной формы является характерной картиной, когда киста в размерах увеличилась до таких размеров, что соприкасается с диафрагмой, плеврой, средостением, грудной стенкой.
Контуры округлой тени позволяют рентгенологу установить причину патологии, поэтому являются важным признаком при описании.
Нечеткие контуры для воспалительных заболеваний легкий. Поставить конкретный диагноз в данном случае невозможно, но выявленный признак суживает дифференциальный ряд. При четких контурах следует предполагать опухоль легкого, туберкулому или жидкостное кистозное образование, которое не содержит внутри воздух.
У пациентки затемнение в правом легком, что характерно для долевой пневмонии.
Пятно на снимке легкого/рентген легких белое пятно/рентген легких светлое пятно
Округлая тень по своей структуре визуализируется однородной или неоднородной. Тень однородная при туберкуломе, но на фоне тени, обязательным условием, должен быть кальций. Если встречается округлое образование, в котором внутри полость, то первое о чем думают рентгенологи — это опухоль с распадом или инфильтративный туберкулез в фазе распада.
Для рака более характерен округлая тень с полостью, в которой неровные внутренние контуры и неравномерная толщина стенок. Для туберкуломы характерно полости мелкого размера серповидной формы.
Полость с жидкостным содержимым визуализируется, когда киста вскрывается (выход жидкостного содержимого) в бронх, а также при абсцессе легкого, который сопровождается тяжелым состоянием больного.
При расшифровке рентгенограммы с округлой тенью бывает, что несмотря на учет всех вышеперечисленных признаков не привели рентгенолога к выводу. Тогда обязательным условием при постановке диагноза является правильная оценка легочной ткани, которая прилегает к патологическому очагу.
Если окружающая очаг с нерезкими контурами легочная ткань неповрежденная, то это признак свежего воспаления (острая и подострая фаза). Фиброз окружающей очаг ткани свидетельствует о хроническом воспалительном процессе, что чаще характерно для туберкулеза.
Для хронического воспаления туберкулезного генеза характерна дорожка к легочному корню, что визуализируется в виде дренирующего полость бронх с утолщенными стенками.
У данного пациента рак левого легкого.
Затемнение в легких на флюорографии: что это и причины возникновения, виды пятен и расшифровка рентгена
Раз в год всем жителям страны предлагается пройти профилактический медицинский осмотр. В него обязательно входит флюорография легких. Это делается для того, чтобы предупредить появление и развитие туберкулеза в самом начале.
Дело в том, что в нашей стране с каждым годом все увеличивается количество людей, заболевших туберкулезом. Хотя и смертность от этой болезни постепенно уменьшается.
Иногда на снимке заметно бывает некоторое затемнение легких. Многие люди, узнав про это, поддаются панике. А зря. Сначала надо выяснить причину. Ведь не всегда пятна на легких при флюорографии могут означать серьезное заболевание. Затемнения в легких бывает по многим причинам.
Какие бывают виды затемнений
Для начала надо разобраться, какие бывают виды темных пятен и каково их происхождение.
https://youtube.com/watch?v=jkaWBrJtxLs
Выделяют несколько типов потемнений в легких на рентгене:
- очаговые,
- фокусные,
- сегментарные,
- долевые,
- содержащие жидкость,
- неопределенной формы.
Что подразумевается под очаговыми затемнениями? Это маленькие пятнышки в виде узелков. Они могут проявляться при опухолях и воспалениях, сосудистых нарушениях. Но только по одному снимку нельзя сделать вывод о заболевании. Надо пройти дополнительное полное обследование. Сюда входят: рентгеновский снимок, компьютерная томография, анализы крови и мочи, исследование мокроты.
При сочетании очаговых затемнений и кашля с повышенной температурой можно предположить о развитии бронхопневмонии.
Иногда анализы крови бывают в норме, а пациент с подобными затемнениями проявляет жалобы на слабость, отсутствие аппетита, сильный кашель. Это может быть признаком развития очагового туберкулеза. Также очаговые затемнения в легких на флюорографии бывают проявлением инфаркта легкого, онкологических процессов в легком и многих других заболеваний.
Фокусные затемнения – это темные пятна округлой формы, имеющие размер в диаметре больше десяти миллиметров. Их присутствие указывает на многие заболевания, например, на:
- пневмонию,
- бронхиальную астму,
- кисту, наполненную воздухом,
- туберкулому,
- абсцесс.
Также можно предположить наличие опухолей. Иногда такое явление свидетельствует о переломе ребра.
Сегментарные затемнения в легких на флюорографии указывают на то, что это:
- пневмония,
- рак,
- наличие инородного тела в легком,
- туберкулез,
- метастазы в других органах.
Все зависит от того, сколько таких сегментов и какой они формы. Часто сегментарные затемнения в легких на флюорографии бывают в виде треугольника. Иногда дети вдыхают мелкие части игрушек, и это прослеживается на флюорографическом снимке как сегментарное пятно на легких.
При долевых затемнениях хорошо видны очертания. Они встречаются разной формы: выпуклой, вогнутой, прямолинейной и т.д. Такое явление может говорить о:
- возможном хроническом легочном заболевании,
- циррозе,
- бронхоэктазии,
- гнойных воспалениях,
- опухоли.
Если затемнение содержит жидкость, это значит, что развивается отек легких. Он бывает двух видов:
- Гидростатический отек. Он бывает при повышенном давлении в сосудах. Жидкость при этом выходит из сосуда и попадает в альвеолу, затем наполняет легкое. Это бывает при таких заболеваниях, как: стенокардия и другие сердечнососудистые патологии.
- Мембранозный. Бывает, когда токсины вытесняют жидкость из сосудов в легкое.
Темное пятно в легких неопределенной формы указывает на развитие стафилококковой пневмонии. Также это может свидетельствовать об инфаркте легкого, отеке, опухоли, кровоизлиянии, скоплении плевральной жидкости и других заболеваниях, которые надо подтвердить с помощью полного обследования.
Надо сказать, что на снимках бывают не только затемнения, при эмфиземе, например, бывает видно белое пятно в легких на рентгене. Также белые пятна бывают при попадании инородных тел в дыхательные пути.
Как расшифровать результаты флюорографии и что делать дальше?
Часто расположение затемнений может о многом рассказать. Одиночное пятно часто указывает на опухоль. Множественные пятна на легких говорят о наличии туберкулеза, воспалении, скоплении жидкости.
Если затемнение находится в верхней части легкого, это, скорее всего туберкулез. Пятно с нечеткими границами говорит о развитии пневмонии. Определенная форма затемнения указывает на инфаркт легкого или кровоизлияние. Если человек курит в течение долгого времени, на ФЛГ тоже будут изменения. Легкие курильщика обычно покрыты темными пятнами.
Обычно после прохождения флюорографии человек получает на руки снимок с расшифровкой. В ней встречаются фразы, иногда пугающие пациента.
Надо рассмотреть, что они значат.
- Расширение корней на снимке указывает на развитие бронхита или пневмонии.
- Фиброзная ткань говорит о перенесенных ранее воспалительных процессах в легких, а также операциях или травмах.
- Тяжистые корни бывают у курильщиков или больных бронхитом.
- Присутствие кальцинатов говорит о том, что у человека была встреча с больным туберкулезом. Но инфицирования не произошло.
- Диафрагма изменена у больных ожирением, плевритом или заболеваниями органов ЖКТ.
- Фокусными тенями называются различные затемнения.
- Рисунок сосудов усугублен – значит, присутствуют заболевания сердечно-сосудистой системы, а также бронхит или пневмония. Можно предположить даже онкологию.
- Синус – значит, есть воздушные полости. Обычно у здоровых людей они заполняются воздухом, а у больных пневмонией или туберкулезом – жидкостью.
- Средостения смещены (расширены). Значит, есть патология сердечно-сосудистой системы. Это может быть миокардит, сердечная недостаточность, гипертония.
Во-первых, надо отставить панику. Иногда бывает так, что аппаратура ошибается или на пленке есть брак. Вследствие этого легкие на снимке тоже могут затемняться. Поэтому сразу поддаваться отчаянию не следует.
Во-вторых, следует обратиться к специалисту. Хорошо, если в городе есть пульмонолог. Если нет, тогда надо идти к фтизиатру. Они работают в любых населенных пунктах. Лечащий врач направит на полное обследование. Оно может включать и проведение Диаскинтеста.
https://youtube.com/watch?v=KXR6LiyyDHY
Диаскинтест , новейший эффективный способ исследования человеческого организма на присутствие туберкулеза. Делается он так же, как проба Манту, но является улучшенной ее версией. При проведении этого теста ошибки минимальны.
Далее врач, скорее всего, назначит:
- общие анализы крови и мочи,
- биохимические анализы,
- рентген,
- посев мокроты на бактерии туберкулеза.
Может быть назначена компьютерная томография легких, а также бронхоскопия легких или трахеобронхоскопия. При этом верхние дыхательные пути и легкие обследуются при помощи зонда, который вводится через нос. Процедура безвредна и безболезненна.
Это очень эффективное обследование и дает полную картину состояния легких и верхних дыхательных путей. Не стоит от нее отказываться, если врач назначил эту процедуру.
После проведенного полного обследования пациента, сразу становится понятен диагноз, и как его лечить. Поэтому чем раньше будет проведено обследование, раньше начнется соответствующее лечение.
Затемнение в легких: о чем свидетельствует изменение?

Флюорография легких – это обязательное мероприятие в рамках ежегодного профилактического осмотра. Она необходима для того, чтобы своевременно выявить патологические состояния легких и начать их лечение как можно раньше.
Нередко, на снимках бывают заметными некоторые области затемнения в легких. Большинство пациентов, узнав об этом, начинают паниковать.
Тем не менее, паника – не всегда уместна, ведь требуется определить причину подобного изменения. Не всегда затемненные области органа на флюорографии являются показателями серьезного патологического процесса – они могут возникать исходя из множества причин.
Что такое затемнение легких?
Легочные патологии по большей части сопровождаются возникновением областей с уплотненными легочными тканями – данное явление возникает вследствие понижения либо полного отсутствия воздушной проходимости на определенных зонах органа, что отображается на рентгеновском снимке в качестве затемненного участка. Описанное симптоматическое проявление способно указывать на патологические процессы как непосредственно в тканях, так и за пределами органа.
Всегда ли затемнения на флюорографии являются поводом для беспокойства.
Изменения, которые возникли вследствие патологических процессов легочных тканей, могут иметь отличия по собственной интенсивности, количеству, размерным данным и четкости границ.
Изменения способны указывать на следующие патологии:
- воспалительные процессы и последующее уплотнение тканей;
- опухолевые новообразования;
- спадание, которое образовало непроходимый для воздуха участок;
- прогрессирование туберкулезной инфекции;
- жидкость в плевральной полости;
- воспалительные процессы плевральной области, в том числе и гнойные (абсцессы).
Изменения легких, которые возникают под влиянием нарушений в прочих органах, также могут отображаться на снимках.
К подобным нарушениям относятся такие:
- новообразования ребер и позвоночника;
- нарушения в области пищевода, к примеру – его расширение;
- увеличение размеров лимфатических узлов.
Перечисленные причины затемнения в легких на рентген снимке не говорят о каких-либо патологических процессах непосредственно в дыхательных органах.
Какие бывают типы изменений?
Распространенные типы изменений.
В зависимости от типа затемнения на рентгеновском снимке определяется происхождение пятна.
В целом выделяется несколько видов потемнений органа, видимых на флюорографическом снимке:
Основные разновидности признаков, проявляющихся на рентгенограммеТип измененийОписаниеОчаговые
Пятна часто имеют незначительные размеры. Могут свидетельствовать о развитии патологий сосудов.
https://youtube.com/watch?v=fg6qasx_3Ic
Подобные изменения могут указывать на развитие таких патологий как:
- туберкулез;
- инфаркт легкого;
- периферический рак.
Единичные пятна характерны для:
- пневмонии;
- туберкулез;
- киста;
- абсцесс.
Изменения неопределенной формы могут проявляться при следующих патологиях:
- пневмония;
- инфаркт легкого;
- плеврит;
- опухоль.
Могут проявляться в результате:
- раковых образований;
- образований доброкачественного характера;
- распространение метастаз;
- туберкулез.
В зависимости от характера образования и предполагается патология, которая его спровоцировала. На основании данной информации можно сделать вывод о том, что рентгенография является недостаточно информативным методом обследования.
Очаговое затемнение легочных тканей
Какие методы позволят определить точный диагноз.
Очаговые изменения представлены небольшими, до 1 сантиметра, пятнами-узелками. Они возникают при течении воспалительных и опухолевых процессов легких, а также по причине нарушений сосудистого характера.
Указанное затемнение в легких может являться намеком на развивающееся заболевание дыхательного органа. Руководствуясь исключительно рентгеновским снимком нельзя точно указать на причину-источник возникновения очага и его характер.
По этой причине назначаются вспомогательные варианты обследований, в том числе компьютерная томография и еще одна рентгенография. Кроме указанного, пациенту требуется сдать анализы мочи, крови и мокроты.
Когда очаговые затемнения на флюорографическом отображении легкого сопровождаются некоторыми симптоматическими проявлениями, то есть:
- слабостью общего характера;
- болезненностью области грудной клетки;
- продуктивным либо непродуктивным кашлем;
- болями головы;
- повышениями показателей общей температуры тела.
Возможно предположить наличие пневмонии – то есть воспалительного процесса легочных тканей, который спровоцирован каким-то инфекционным поражением. Когда после исследования крови не было обнаружено каких-либо отклонений от нормы, возможно предположить наличие очагового туберкулеза.
При этом пациент замечает за собой следующее:
- отсутствие аппетита;
- слабость общего характера;
- повышенная беспричинная раздражительность;
- болезненность области грудной клетки;
- сухой, то есть непродуктивный, кашель.
Важно! При подозрении на туберкулез назначается ряд вспомогательных диагностических мероприятий. Клиническая картина в комплексе с данными рентгенографии позволяет определить диагноз пациента.
Инфаркт легкого достаточно часто выражается тромбофлебитом нижних конечностей, болезненностью сбоку, кровохарканием и сердечными патологиями. Малый периферический рак определяется на снимке флюорографии сразу.
Перечисленные патологические процессы являются наиболее распространенными причинами возникновения на флюорографическом снимке теней очагового характера.
Круглые, иначе – фокусные
Единичные, то есть – одиночные круглые тени размером большим, чем 1 сантиметр, могут являться признаками разнообразных заболеваний. Они требуют более внимательного и тщательного исследования для установления истинного диагноза.
Подобные фокусные проявления на флюорографическом снимке могут свидетельствовать о таких патологических состояниях, как:
- Воспалительные процессы легочных тканей, то есть – пневмонии;
- Эозинофильный инфильтрат, которым может иметь отношение к паразитарному поражению организма, приему различных медикаментозных лекарственных средств, астмой бронхиальной и прочими причинами.
- Туберкулома.
- Абсцессы.
- Локальный выпот, то есть повышение объемов жидкостей в легочных тканях.
Причинами пятен круглой формы, отображающихся на рентгенограмме, могут выступать кистозные образования врожденного либо приобретенного характера. Они могут быть заполненными воздушными массами либо жидкостью.
Когда проявление изменений не является опасным.Важно! Указанные затемнения могут быть вызваны опухолевыми образованиями, как злокачественного, так и доброкачественного характера.
К доброкачественным новообразованиям относятся такие:
- аденомы;
- фибромы;
- гамартохондромы;
- липомы.
К новообразованиям злокачественного характера относятся саркома.
https://youtube.com/watch?v=EogmUWgVJ4k
Шарообразна костная мозоль, образовавшаяся вследствие перелома ребра либо островных реберных участков, также может становиться причиной фокусной тени на флюорографическом снимке. Указанный фактор должен всегда приниматься в расчет в ходе расшифровки полученного рентгеновского изображения.
Основные причины проявления подобных изменений на снимках подробно рассмотрены в видео в этой статье.
Затемнение сегментарного характера
Какие методы обследования органов могут использоваться.
Затемнение может быть локализированным, то есть быть представленным обособленными сегментами разнообразной формы, в основном – сегменты имеют сходные с треугольником, границы.
Подобных участков может быть отображено на флюорографическом снимке несколько и окончательный диагноз ставится исключительно после выполнения комплексного обследования.
Затемнение обособленных сегментов на 1 либо двух легких может повествовать о таких патологических состояниях, как:
- Эндобронхиальные опухолевые образования, которые могут носить как доброкачественный, так и злокачественный характер.
- Инородном теле, которое находится в легочной полости.
- Механическом повреждении легочных тканей.
Присутствие нескольких сегментарных теней на рентгеновском снимке дыхательного органа может говорить о таких патологических изменениях:
- Воспалительные процессы легочных тканей острого характера – пневмония.
- Туберкулез либо прочие негативные процессы воспалительного характера.
- Воспалительные процессы легочных тканей хронического характера, то есть – хроническая пневмония.
- Центральный рак.
- Стеноз, то есть – сужение центрального бронха.
- Метастазы образований злокачественного характера в прочих органах.
- Скопление малых объемов жидкостного содержимого в плевральной полости.
Не всегда несколько сегментарных теней на рентгеновском снимке дыхательных органов говорит о том, что у пациента имеется заболевание, которое несет прямую угрозу жизни.
Затемнения на снимке, имеющие неопределенную форму
Затемнения на рентгеновских снимках дыхательных органов, которые не имеют определенной формы и четких границ наиболее часто являются отображением пневмонии, которая была спровоцирована стафилококком.
У указанного патологического процесса имеется две формы – первичная и вторичная:
- Первичная форма возникает по причине наличия воспалительных процессов, которые протекаю в бронхах либо легочных тканях.
- Вторичная форма патологического процесса возникает вследствие гематогенного занесения из любого очага гнойного воспаления, который присутствует в организме пациента.
Какие заболевания могут провоцировать проявление неопределенных затемнений на снимке.Факт! Данный очаг может быть представлен аднекситом, остеомиелитом и прочими заболеваниями. В последние несколько лет, воспаление легких стафилококкового происхождения стало достаточно распространенным явлением.
Подобное затемнение также может свидетельствовать о таких состояниях патологического характера, как:
- кровоизлияния;
- опухолевые процессы легких;
- скопление жидкости;
- инфаркт легкого и прочие.
Определить точную причину возникновения подобных теней на рентгеновском снимке без проведения вспомогательных типов исследования невозможно.
К примеру, такие тени могут свидетельствовать о воспалительных процессах легких либо подтверждать наличие выпота в плевральной полости, особенно при условии наличия таких симптоматических проявлений, как:
- боли головы;
- слабость общего характера;
- интенсивные приступы кашля;
- повышенные показатели общей температуры тела.
Руководствоваться одним лишь рентген-снимком (на фото) в ходе постановки окончательного диагноза врач не имеет права, так как вероятность допущения ошибки крайне велика.
Рентгенография не всегда является информативным методом обследования.
Инструкция всегда требует проведения дополнительных мероприятий, это необходимо, потому что цена ошибки может быть достаточно высокой.
Затемнение долевого характера
При затемнение долевого характера, контуры тени достаточно четкие и хорошо определяются на рентгеновских снимках.
https://youtube.com/watch?v=AP9lJru6CgA
Они могут иметь различные формы:
- вогнутую;
- выгнутую;
- выпуклую;
- прямолинейную и прочие формы.
Долевое затемнение легких может являться признаком любого патологического процесса с хроническим характером течения. При томографическом исследовании легко определяются такие заболевания, как бронхоэктомия, цирроз, заболевания гнойного характера и прочие.
Долевые затемнения.
Все перечисленные процессы патологического характера на томографических снимках легко отличаются от образований онкологического характера. По этой причине необходимость точного выявления злокачественного новообразования образуется лишь при обнаружении обструктивных процессов бронхиального дерева – воспалительное либо же рубцовое образование.
Важно! Доброкачественные и злокачественные опухолевые процессы зачастую возникают в промежуточном бронхе, и при этом затемняется либо средняя, либо нижняя доля дыхательного органа.
С присутствием жидкости
Затемнения на рентгеновском снимке подобного типа могут указывать на развивающийся отек дыхательного органа. Данное явление может происходить по причине высоких показателей кровяного давления в капиллярах легких либо же при заниженном содержании белка в крови.
Жидкость является препятствием для нормального функционирования органа дыхания. Отек может быть двух видов и имеет прямую зависимость от провоцирующих факторов.
После выявления затемнений в легких врач должен определить необходимость проведения других диагностических мероприятий.
Гидростатический отек дыхательного органа может быть спровоцирован завышением показателей внутрисосудистого давления, что становится причиной повышения рисков выхода жидкостной составляющей из сосуда.
При этом жидкость поступает в альвеолу, конечную часть аппарата дыхания, тем самым происходит заполнение.
Подобная патология может образоваться при диагностированной ишемической болезни сердечной мышцы либо прочих сердечнососудистых заболеваний.
Мембранозный отек образуется вследствие влияния токсинов, которые способны нарушить стенки альвеол и выйти во внесосудистое пространство дыхательного органа. Следует учитывать, что на рентген-снимках может быть обнаружено не только затемнение, но и белое пятно.


