Дегенеративный или дистрофический процесс в сетчатой оболочке характеризуется патологическими структурными изменениями в клетках её ткани, что приводит к снижению функциональности сетчатки в частности и глаза в целом. В основе изменений в структуре клеток лежит нарушение обменных процессов под влиянием каких-либо факторов. Дегенеративный процесс любой этиологии протекает в сетчатке постепенно, но неуклонно прогрессирует, если не предпринимать соответствующих мер по предотвращению полной утраты зрения.
Международная классификация болезней (МКБ 10) присваивает различным патологиям сетчатки код Н35. Наследственная дистрофия по мкб 10 кодируется номером Н35.5.
Причины развития
Этиология дистрофических процессов в сетчатке многообразна. Диагностируемая у детей дистрофия сетчатки глаза в подавляющем большинстве случаев спровоцирована наследственностью. Провоцирующими для дистрофии могут быть любые факторы, которые приводят к расстройствам метаболических процессов. У людей старшего возраста к этим факторам присоединяются любые сосудистые патологии, из-за которых нарушается нормальное обеспечение глаза кислородом и питательными веществами.
Дегенерация сетчатки начинается почти у половины пациентов с диагностированной близорукостью. Зависимость прямая — чем более выражена миопия, тем больше возможность развития дистрофии. Также в ходе наблюдений было замечено, что патология чаще развивается у представителей белой расы со светлыми кожей и глазами.
К местным причинам дистрофии сетчатки также относятся травмы глаза различной степени тяжести, при которых была повреждена сетчатка, воспалительные заболевания структур глаза различной этиологии, помутнение хрусталика. Болезнь может развиваться после оперативных вмешательств на глаза.
Есть и более общие причины заболевания, которые не являются таковыми сами по себе, но с большой долей вероятности могут спровоцировать дегенеративный процесс. К таким факторам относятся:
- гипертония;
- эндокринные заболевания, особенно сахарный диабет;
- патологии щитовидной железы;
- сильные интоксикации различными веществами;
- серьёзный авитаминоз или недостаток минералов и других питательных веществ;
- длительное периодическое облучение глаз ультрафиолетом.
Врачи отмечают, что дистрофия сетчатки представляет собой серьезное заболевание, которое может привести к потере зрения. Основными причинами этого состояния являются генетические факторы, возрастные изменения, а также воздействие внешних факторов, таких как ультрафиолетовое излучение и курение. Существует несколько разновидностей дистрофии, включая возрастную макулярную дистрофию и дистрофию сетчатки, связанную с наследственными заболеваниями. Лечение зависит от типа и стадии заболевания. Врачи подчеркивают важность ранней диагностики, которая может включать регулярные осмотры и использование современных технологий, таких как оптическая когерентная томография. В некоторых случаях возможно применение лазерной терапии или инъекций препаратов, замедляющих прогрессирование болезни. Однако, несмотря на достижения медицины, полное восстановление зрения не всегда возможно, поэтому профилактика и своевременное обращение к специалистам играют ключевую роль в сохранении здоровья глаз.
https://youtube.com/watch?v=gdpfm3iOUkA
Классификация
Дистрофии разделяются на врождённые и приобретённые. Также их классифицируют по локализации на три вида, каждый из которых включает несколько разновидностей. По этой классификации дегенерации бывают протекающими генерализованно, в периферической области или в области макулы (центральной).
Врождённые
К врождённым дистрофиям относятся следующие виды:
- генерализованные — пигментная дистрофия сетчатки, амавроз Лебера, синдром дисфункции колбочек, никталопия (неспособность видеть при недостатке или отсутствии освещения);
- централизованые — макулодистрофия сетчатки глаза (синдром Штаргардта), возрастная макулодистрофия сетчатки, макулярная пигментная абиотрофия (болезнь Беста);
- протекающие в периферической области — витреоретинальная дистрофия Вагнера, болезнь Гольдмана-Фавре, Х-сцепленный врождённый ретиношизис.
Дистрофия сетчатки — это группа заболеваний, которые приводят к ухудшению зрения и могут вызвать слепоту. Люди, столкнувшиеся с этой проблемой, часто делятся своими переживаниями о том, как болезнь влияет на их повседневную жизнь. Основные причины дистрофии включают генетические факторы, возрастные изменения и травмы. Разновидности заболевания варьируются от пигментного ретинита до макулярной дистрофии, каждая из которых имеет свои особенности и симптомы. Лечение может включать медикаментозную терапию, лазерные процедуры и в некоторых случаях хирургическое вмешательство. Многие пациенты отмечают важность ранней диагностики и регулярного наблюдения у офтальмолога, что позволяет замедлить прогрессирование болезни и сохранить зрение. Обсуждения на форумах и в социальных сетях помогают людям обмениваться опытом и находить поддержку в трудные времена.
https://youtube.com/watch?v=MNrp6–9i98
Периферические
Диагностика дистрофии, протекающей на периферии, серьёзно затруднена из-за строения глаза, поэтому её выявляют на довольно поздних стадиях.
Периферическая дистрофия сетчатки глаза подразделяется на следующие разновидности по распространению поражения:
- периферическая хориоретинальная дистрофия сетчатки глаза (ПХРД);
- периферическая витреохориоретинальная дистрофия (ПВХРД).
В первом случае поражение затрагивает сетчатую и сосудистую оболочки, а во втором — ещё и поражает стекловидное тело.
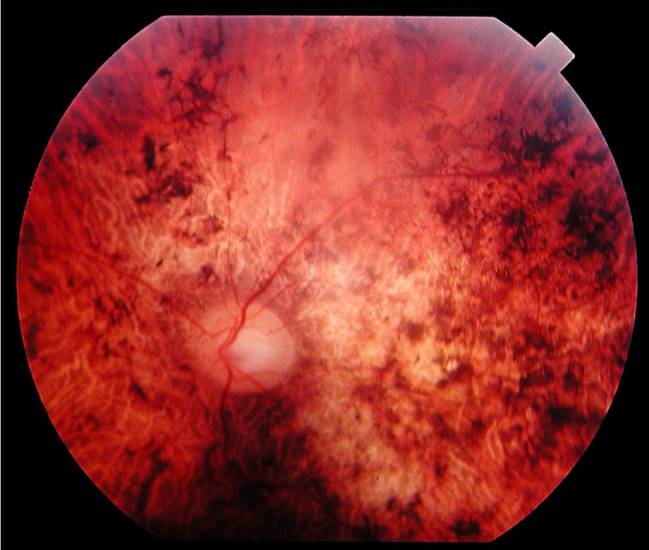
Периферические типы также классифицируются по характеру повреждения. Самая распространённая из всех — это решетчатая дистрофия сетчатки глаза. При этой форме самый неутешительный прогноз и самый большой риск отслоения сетчатой поверхности. Чаще всего решётчатая форма имеет генетическую этиологию, встречается наиболее часто у лиц мужского пола. Прогрессирует она довольно длительно, но неумолимо. При офтальмоскопии можно наблюдать на глазном дне сосуды, извивающиеся и пересекающиеся, образующие подобие решетки. В проёмах решётки можно увидеть истончённые участки сетчатки в виде розовых очагов, на которых велик риск разрывов сетчатой оболочки с последующим её отслоением.
Менее часто встречаются такие разновидности дистрофии, протекающей на периферии сетчатки, как форма следов улитки, инеевидная дистрофия, мелкокистозная форма, ретиношизис и другие.
Центральная
Центральная дистрофия сетчатки протекает в области глаза, которая называется макула. Поэтому она также носит название макулодистрофия сетчатки глаза. Выделяют две формы дистрофического процесса в макулярной области: сухая и влажная.
- Влажная макулодистрофия сетчатки глаза характеризуется неоваскуляризацией, при которой образуются сосуды с высокой степенью проницаемости, и развитием отёка сетчатки.
- Сухая макулярная дистрофия сетчатки встречается в 90% случаев центральной дистрофии. Патологический процесс в такой форме характеризуется нарушением метаболизма, в результате которого продукты обмена не выводятся, а накапливаются между сетчатой и сосудистой оболочками.
Обе формы макулярной дистрофии поражают в большинстве случаев пациентов в пожилом возрасте. Центральная хориоретинальная дистрофия чаще встречается у представителей мужского пола молодого и среднего возраста. Характеризуется выпотными скоплениями под сетчаткой, мешающими работе всех структур глаза.
https://youtube.com/watch?v=B3xoF81CVx4
У беременных
Дистрофия сетчатки глаза при беременности может развиваться, если будущая мать ещё до зачатия страдала миопией или другими офтальмологическими патологиями. В таких случаях необходимо ведение беременности при участии окулиста. Для родоразрешения естественным путём требуется одобрение лечащего офтальмолога.
Симптомы
На ранних стадиях дистрофия сетчатки протекает практически бессимптомно, что затрудняет её диагностику в самом начале процесса. Когда дистрофия уже прогрессирует, у всех разновидностей заболевания можно выделить следующие симптомы:
- снижение качества зрения;
- нарастающая ограниченность поля зрения;
- выпадение участков изображения, появление скотом;
- восприятие изображения с искажёнными контурами и формами объектов;
- существенное падение зрения при недостаточном освещении;
- расстройство цветовосприятия;
- изменения в восприятии расстояний до наблюдаемых объектов и неправильная оценка их размеров;
- появление перед глазами чёрных точек, цветных пятнышек, искорок, мелькание.
Такие симптомы являются поводом для немедленного обращения к офтальмологу, даже если появился только один или несколько из них.
Диагностика
Для постановки диагноза проводятся различные инструментальные исследования структур глаза, оценивают визуально состояние глазного дна, проводят общеклинические анализы.
- Одним из методов определения дистрофии сетчатки является тест Амслера.
- Проводится оценка цветовосприятия при помощи различных тестов, например, Рабкина.
- Для определения качества зрения проводится визиометрия.
- Для исследования ширины поля зрения и выявления в нём выпадающих участков используется метод периметрии.
- Для измерения коэффициента рефракции проводится рефрактометрия.
- Исследование глазного дна (офтальмоскопия) проводится под медикаментозным мидриазом.
- Для выявления патологий глаза проводят биомикроскопию.
- Для оценки биоэлектрической активности слоёв сетчатой оболочки проводится электроретинография.
- Для оценки состояния сосудов сетчатки, регистрации геморрагий проводится флуоресцентная ангиография.
- Могут быть также проведены ультразвуковое исследование глаза и томография сетчатки.
Лечение
Консервативное лечение дистрофии сетчатки направлено на облегчение симптоматики. Также проводится лекарственная терапия для устранения провоцирующих факторов патологического дегенеративного процесса. Для этого применяются средства, улучшающие состояние сосудистых стенок, укрепляющие гладкую мускулатуру сосудов, циркуляцию крови.
Дозировки и схемы применения этих препаратов подбираются индивидуально, в зависимости от степени выраженности сосудистых патологий.
Также могут быть назначены инъекции препаратов для разжижения крови, предотвращающие развитие тромбоза, гиполипидемические средства для снижения уровня холестерина, витаминные комплексы для улучшения питания глаз. Местное лечение проводится при помощи полипептидов и препаратов для улучшения микроциркуляции. Эти препараты вводят прямо в поражённую область, то есть делают уколы в глаза. Также обязательно назначаются глазные капли для улучшения питания глаза, восстановления его структур и стимуляции метаболизма.
Для симптоматического лечения могут применяться капли, в составе которых:
- нестероидные (Вольтарен, Наклоф, Индоколлир);
- кортикостероидные противовоспалительные вещества (Преднизолон, Бетаметазон);
- местные анестетики (Тетракаин, Лидокаин, Дикоин);
- капли для лечения катаракты, имеющие в составе витамины и другие питательные вещества (Тауфон, Квинакс, Офтан-катахром).
Достаточно эффективными в сочетании с использованием лекарственных средств являются физиотерапевтические методы. Чаще всего назначают лекарственный элетрофорез, фототерапию, электротерапию, лазеротерапию, магнитотерапию, венозное облучение крови лазером.
Эффективно применяется также хирургическое лечение для устранения последствий дегенеративного процесса. Пациентам по показаниям может быть рекомендовано проведение лазерной коагуляции сетчатки, витрэктомии (удаления и замены хрусталика), реваскуляризация или вазореконструкция глаза.
При наследственных формах дистрофии сетчатки прогноз, как правило, неутешительный. В остальных случаях прогнозирование ситуации зависит от степени и стадии поражения, скорости прогрессирования дегенеративного процесса, разновидности патологии, наличия и тяжести сопутствующих заболеваний, а также от индивидуальных особенностей пациента: состояния его сосудистой системы, скорости метаболических процессов и других.
Лечение народными средствами возможно только с одобрения лечащего врача, и является всего лишь дополнением к основной терапии. Лечение в домашних условиях проводится с употреблением различных травяных отваров для укрепления сосудов и обеспечения лучшего питания глаза, улучшения свойств крови и состояния сосудистой системы. Возможно также осуществление симптоматического лечения с использованием средств народной медицины.
Профилактика
Для профилактики дистрофии сетчатки в первую очередь необходимо внимание к состоянию органов зрения и забота о них. Нельзя в течение длительного времени перенапрягать глаза и подвергать их вредным излучениям техники. Также необходимо придерживаться принципов здорового образа жизни и питания, чтобы не допустить искусственно вызванного нарушения липидного и других обменных процессов.
Если вы принадлежите к группе риска развития дегенерации, необходимо принимать специальные витамины и заниматься гимнастикой для поддержания здоровья глаз. Для своевременного выявления патологии нужно проходить регулярные ежегодные профилактические осмотры всех органов и систем организма.
Вопрос-ответ
От чего может быть дистрофия сетчатки?
Причины дистрофии сетчатки. Среди них специалисты выделяют следующие: возрастные изменения в организме (возраст пациента старше 45-50 лет), генетическая предрасположенность к патологическим изменениям на сетчатке, гипертония, атеросклероз, заболевания, связанные с изменениями в сосудах.
Какие капли можно капать при дистрофии сетчатки?
При сосудистых заболеваниях это могут быть капли Квинакс, Эмокси-Оптик, Эмоксипин. В составе комплексного лечения дистрофии сетчатки – Тауфон, Айсотин и другие препараты, которые применяются только после обследования зрительной системы и по назначению врача.
Можно ли восстановить зрение при дистрофии сетчатки?
К сожалению, восстановить зрение при дистрофии сетчатки невозможно. Врач способен лишь замедлить дегенеративный процесс. Лечение дистрофии сетчатки зависит от ее степени и характера: лазерная коагуляция применяется с целью укрепления сетчатки.
Какие препараты улучшают сетчатку глаза?
Это курсовое лечение средствами Эмоксипин, Вазонит, Милдронат, Арбифлекс, Солкосерил, Тренатал. Они помогают активировать процессы локальной микроциркуляции. Еще одно свойство данных лекарств — улучшение пластичности эритроцитов. Это позволяет им быстрее перемещаться по мелким сосудам глаз.
Советы
СОВЕТ №1
Регулярно проходите обследования у офтальмолога. Раннее выявление дистрофии сетчатки может значительно повысить шансы на успешное лечение и сохранить зрение.
СОВЕТ №2
Обратите внимание на свое питание. Включение в рацион продуктов, богатых антиоксидантами (таких как шпинат, морковь и ягоды), может помочь поддерживать здоровье глаз и замедлить прогрессирование дистрофии.
СОВЕТ №3
Избегайте чрезмерного воздействия ультрафиолетового света. Носите солнцезащитные очки с защитой от UVA и UVB, чтобы снизить риск повреждения сетчатки.
СОВЕТ №4
Следите за состоянием своих глаз, особенно если у вас есть предрасположенность к заболеваниям сетчатки. Обратите внимание на любые изменения в зрении и не откладывайте визит к врачу при появлении симптомов.




